Skip to main content

Key Product Details

Species Reactivity

Validated:

Human

Cited:

Human

Applications

Validated:

Immunohistochemistry, Western Blot, Flow Cytometry, CyTOF-ready

Cited:

Immunohistochemistry-Paraffin, Western Blot

Label

Unconjugated

Antibody Source

Polyclonal Goat IgG

Product Specifications

Immunogen

E. coli-derived recombinant human 4‑1BB Ligand/TNFSF9
Arg71-Glu254
Accession # P41273

Specificity

Detects human 4‑1BB Ligand/TNFSF9 in direct ELISAs and Western blots.

Clonality

Polyclonal

Host

Goat

Isotype

IgG

Scientific Data Images for Human 4-1BB Ligand/TNFSF9 Antibody

Detection of Human 4-1BB Ligand/TNFSF9 antibody by Western Blot.

Detection of Human 4‑1BB Ligand/TNFSF9 by Western Blot.

Western blot shows lysates of human placenta tissue. PVDF membrane was probed with 1 µg/mL of Goat Anti-Human 4-1BB Ligand/TNFSF9 Antigen Affinity-purified Polyclonal Antibody (Catalog # AF2295) followed by HRP-conjugated Anti-Goat IgG Secondary Antibody (HAF017). A specific band was detected for 4-1BB Ligand/TNFSF9 at approximately 26 kDa (as indicated). This experiment was conducted under reducing conditions and using Immunoblot Buffer Group 1.
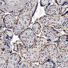
4-1BB Ligand/TNFSF9 antibody in Human Placenta by Immunohistochemistry (IHC-P).

4‑1BB Ligand/TNFSF9 in Human Placenta.

4-1BB Ligand/TNFSF9 was detected in immersion fixed paraffin-embedded sections of human placenta using Goat Anti-Human 4-1BB Ligand/TNFSF9 Antigen Affinity-purified Polyclonal Antibody (Catalog # AF2295) at 1 µg/mL for 1 hour at room temperature followed by incubation with the Anti-Goat IgG VisUCyte™ HRP Polymer Antibody (VC004). Tissue was stained using DAB (brown) and counterstained with hematoxylin (blue). Specific staining was localized to syncytiotrophoblasts. View our protocol for IHC Staining with VisUCyte HRP Polymer Detection Reagents.

Applications for Human 4-1BB Ligand/TNFSF9 Antibody

Application
Recommended Usage

CyTOF-ready

Ready to be labeled using established conjugation methods. No BSA or other carrier proteins that could interfere with conjugation.

Flow Cytometry

2.5 µg/106 cells
Sample: Daudi human Burkitt's lymphoma cell line

Immunohistochemistry

1-15 µg/mL
Sample: Immersion fixed paraffin-embedded sections of human placenta

Western Blot

1 µg/mL
Sample: Human placenta tissue

Reviewed Applications

Read 2 reviews rated 4.5 using AF2295 in the following applications:

Formulation, Preparation, and Storage

Purification

Antigen Affinity-purified

Reconstitution

Reconstitute at 0.2 mg/mL in sterile PBS. For liquid material, refer to CoA for concentration.

Reconstitution Buffer Available:
Size / Price
Qty
Loading...

Formulation

Lyophilized from a 0.2 μm filtered solution in PBS with Trehalose. *Small pack size (SP) is supplied either lyophilized or as a 0.2 µm filtered solution in PBS.

Shipping

Lyophilized product is shipped at ambient temperature. Liquid small pack size (-SP) is shipped with polar packs. Upon receipt, store immediately at the temperature recommended below.

Stability & Storage

Use a manual defrost freezer and avoid repeated freeze-thaw cycles.
  • 12 months from date of receipt, -20 to -70 °C as supplied.
  • 1 month, 2 to 8 °C under sterile conditions after reconstitution.
  • 6 months, -20 to -70 °C under sterile conditions after reconstitution.

Background: 4-1BB Ligand/TNFSF9

4-1BB ligand (4-1BBL; also CD137L) is a 32 kDa type II transmembrane protein that belongs to the TNF superfamily (TNFSF) molecules (1‑4). The human 4-1BBL cDNA encodes a 254 amino acid (aa) protein that contains a 25 aa N-terminal cytoplasmic domain, a 23 aa transmembrane segment, and a 206 aa C-terminal extracellular region (5). The extracellular domain (ECD) of 4-1BBL has a jelly-roll, beta-sandwich tertiary structure that is similar to other TNFSF members. There is only one cysteine in the human ECD, and no potential N-linked glycosylation sites. The potential exists, however, for O-linked glycosylation. The human 4-1BBL ECD shares 32% and 35% aa identity with mouse and rat ECD, respectively. In the cytoplasmic domain, human 4-1BBL is 55 aa shorter than the equivalent region in rodents. 4-1BBL is expressed by activated B cells, macrophages, dendritic cells, activated T cells, neurons and astrocytes (2, 3, 6). A 26 kDa soluble form of 4-1BBL is known to occur in humans. Although it is presumably generated by MMP activity, its amino acid size is currently unreported (4). The soluble form is bioactive. Human 4-1BBL signals through both CD137/4-1BB and itself. Its cytoplasmic tail participates in reverse signaling that induces apoptosis in T cells and cytokine secretion (IL-6; TNF-alpha) by monocytes (7, 8). 4-1BBL binding to CD137/4-1BB produces a number of effects. It seems to play a key role in the T cell recall response. It maintains T cell numbers at the end of a primary response, and induces CD4+ and CD8+ T cells to proliferate and secrete cytokines such as IL-2 and IFN-gamma in CD4+ cells, and IFN-gamma in CD8+ cells (9, 10).

References

  1. Kwon, B. et al. (2003) Exp. Mol. Med. 35:8.
  2. Salih, H.R. et al. (2002) Int. J. Clin. Pharmacol. Ther. 40:348.
  3. Vinay, D.S. and B.S. Kwon (1998) Semin. Immunol. 1:481.
  4. Salih, H.R. et al. (2001) J. Immunol. 167:4059.
  5. Alderson, M.R. et al. (1994) Eur. J. Immunol. 24:2219.
  6. Reali, C. et al. (2003) J. Neurosci. Res. 74:67.
  7. Michel, J. et al. (1999) Immunology 98:42.
  8. Langstein, J. et al. (1998) J. Immunol. 160:2488.
  9. Wen, T. et al. (2002) J. Immunol. 168:4897.
  10. Dawicki, W. and T.H. Watts (2004) Eur. J. Immunol. 34:743.

Alternate Names

41BB Ligand, CD137L, TNFSF9

Entrez Gene IDs

8744 (Human); 21950 (Mouse); 353218 (Rat); 102129676 (Cynomolgus Monkey)

Gene Symbol

TNFSF9

UniProt

Additional 4-1BB Ligand/TNFSF9 Products

Product Documents for Human 4-1BB Ligand/TNFSF9 Antibody

Certificate of Analysis

To download a Certificate of Analysis, please enter a lot number in the search box below.

Note: Certificate of Analysis not available for kit components.

Product Specific Notices for Human 4-1BB Ligand/TNFSF9 Antibody

For research use only

Loading...
Loading...
Loading...
Loading...
Loading...
Loading...