Skip to main content

DUX4 Antibody (P4H2) - Azide and BSA Free

Novus Biologicals, part of Bio-Techne | Catalog # NBP2-80703

Novus Biologicals, part of Bio-Techne

Key Product Details

Species Reactivity

Human

Applications

Immunohistochemistry, Immunohistochemistry-Paraffin, Immunohistochemistry-Frozen, Western Blot, ELISA, Immunocytochemistry/ Immunofluorescence, Simple Western

Label

Unconjugated

Antibody Source

Monoclonal Mouse IgG1 Clone # P4H2

Format

Azide and BSA Free

Concentration

1 mg/ml

Product Specifications

Immunogen

Synthetic peptide corresponding to the C-terminus of human DUX4.

Localization

Nucleus. Note: Actively transported through the nuclear pore complex (NPC)

Clonality

Monoclonal

Host

Mouse

Isotype

IgG1

Theoretical MW

52 kDa.
Disclaimer note: The observed molecular weight of the protein may vary from the listed predicted molecular weight due to post translational modifications, post translation cleavages, relative charges, and other experimental factors.

Description

Novus Biologicals Mouse DUX4 Antibody (P4H2) - Azide and BSA Free (NBP1-49552) is a monoclonal antibody validated for use in IHC, WB, ELISA, ICC/IF and Simple Western. All Novus Biologicals antibodies are covered by our 100% guarantee.

Scientific Data Images for DUX4 Antibody (P4H2) - Azide and BSA Free

Western Blot: DUX4 Antibody (P4H2)Azide and BSA Free [NBP2-80703]

Western Blot: DUX4 Antibody (P4H2)Azide and BSA Free [NBP2-80703]

Western Blot: DUX4 Antibody (P4H2) - Azide and BSA Free [NBP2-80703] - Total protein from human testis tissue and human K562, HeLa and HepG2 cell lines was separated on a 12% gel by SDS-PAGE, transferred to PVDF membrane and blocked in 5% non-fat milk in TBST. The membrane was probed with 2.0 ug/ml anti-DUX4 in 1% non-fat milk in TBST and detected with an anti-mouse HRP secondary antibody using chemiluminescence. Image from the standard format of this antibody.
Immunocytochemistry/ Immunofluorescence: DUX4 Antibody (P4H2) - Azide and BSA Free [NBP2-80703]

Immunocytochemistry/ Immunofluorescence: DUX4 Antibody (P4H2) - Azide and BSA Free [NBP2-80703]

Immunocytochemistry/Immunofluorescence: DUX4 Antibody (P4H2) - Azide and BSA Free [NBP2-80703] - Detection of human DUX4 on C2C12 mouse myoblasts transfected with pCS2-DUX4. Cells were counterstained with DAPI for nuclei. Image from the standard format of this antibody.
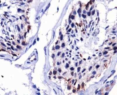
Immunohistochemistry: DUX4 Antibody (P4H2) - Azide and BSA Free [NBP2-80703]

Immunohistochemistry: DUX4 Antibody (P4H2) - Azide and BSA Free [NBP2-80703]

Immunohistochemistry: DUX4 Antibody (P4H2) - Azide and BSA Free [NBP2-80703] - Analysis of DUX4 on human testis Image from the standard format of this antibody.

Applications for DUX4 Antibody (P4H2) - Azide and BSA Free

Application
Recommended Usage

ELISA

reported in scientific literature (PMID 21529284)

Immunocytochemistry/ Immunofluorescence

1:100-1:200

Immunohistochemistry

1:100-1:200

Immunohistochemistry-Frozen

1:100-1:200

Immunohistochemistry-Paraffin

1:100-1:200

Simple Western

1:10

Western Blot

0.5-2.0ug/ml
Application Notes
In Western blot, a band can be seen at approx. 52 kDa. In Simple Western only 10 - 15 uL of the recommended dilution is used per data point.
See Simple Western Antibody Database for Simple Western validation: antibody dilution of 1:10. Separated by Size-Wes, Sally Sue/Peggy Sue.

Formulation, Preparation, and Storage

Purification

Protein G purified

Formulation

PBS

Format

Azide and BSA Free

Preservative

No Preservative

Concentration

1 mg/ml

Shipping

The product is shipped with polar packs. Upon receipt, store it immediately at the temperature recommended below.

Stability & Storage

Store at 4C short term. Aliquot and store at -20C long term. Avoid freeze-thaw cycles.

Background: DUX4

DUX4 (also known as Double homeobox 4) is the leading candidate causative gene for facioscapulohumeral dystrophy (FSHD), a degenerative skeletal muscle disease and one of the most common muscular dystrophies. FSHD is caused by the deletion of a subset of D4Z4 macrosatellite repeats on chromosome 4. Each repeat contains a retrogene encoding the double-homeobox factor DUX4. DUX4 expression is epigenetically suppressed in differentiated tissues and the residual DUX4 transcripts are spliced to remove the carboxyterminal domain that has been associated with cell toxicity. In FSHD individuals, the expression of the full-length DUX4 transcript is not completely suppressed in skeletal muscle, and possibly other differentiated tissues, and results in a small percentage of cells expressing relatively abundant amounts of the full-length DUX4 mRNA and protein. [Snider et al. (2010) PLoS Genetics.6(10): e1001181]

Long Name

Double Homeobox 4

Alternate Names

DUX10, DUX4L1

Gene Symbol

DUX4

Additional DUX4 Products

Product Documents for DUX4 Antibody (P4H2) - Azide and BSA Free

Certificate of Analysis

To download a Certificate of Analysis, please enter a lot number in the search box below.

Product Specific Notices for DUX4 Antibody (P4H2) - Azide and BSA Free

This product is for research use only and is not approved for use in humans or in clinical diagnosis. Primary Antibodies are guaranteed for 1 year from date of receipt.

Loading...
Loading...
Loading...
Loading...