Skip to main content

B7-1/CD80 Antibody (62N3G8) - BSA Free

Novus Biologicals, part of Bio-Techne | Catalog # NBP2-25255

Novus Biologicals, part of Bio-Techne
Catalog #
Availability
Size / Price
Qty
Loading...
NBP2-25255SS
NBP2-25255

Key Product Details

Species Reactivity

Validated:

Human, Mouse

Cited:

Human, Mouse

Applications

Validated:

Multiplex Immunofluorescence, Immunohistochemistry, Immunohistochemistry-Paraffin, Western Blot, Flow Cytometry

Cited:

Immunohistochemistry-Paraffin, Western Blot

Label

Unconjugated

Antibody Source

Monoclonal Mouse IgG2b Kappa Clone # 62N3G8

Format

BSA Free

Concentration

1.0 mg/ml

Product Specifications

Immunogen

Amino acids 102-223 of human CD80 were used as the immunogen for the antibody.

Reactivity Notes

Mouse reactivity reported in scientific literature (PMID: 27440778).

Clonality

Monoclonal

Host

Mouse

Isotype

IgG2b Kappa

Description

Novus Biologicals Mouse B7-1/CD80 Antibody (62N3G8) - BSA Free (NBP2-25255) is a monoclonal antibody validated for use in IHC, WB and Flow. Anti-B7-1/CD80 Antibody: Cited in 4 publications. All Novus Biologicals antibodies are covered by our 100% guarantee.

Scientific Data Images for B7-1/CD80 Antibody (62N3G8) - BSA Free

B7-1/CD80 Antibody (62N3G8) - BSA Free

Detection of CD80/B7-1 in Human Hodgkin’s Lymphoma via seqIF™ staining on COMET™

CD80/B7-1 was detected in immersion fixed paraffin-embedded sections of human Hodgkin's Lymphoma using Mouse Anti-Human CD80/B7-1, Monoclonal Antibody (Catalog #NBP2-25255) at 20ug/mL at 37°Celsius for 4 minutes. Before incubation with the primary antibody, tissue underwent an all-in-one dewaxing and antigen retrieval preprocessing using PreTreatment Module (PT Module) and Dewax and HIER Buffer H (pH 9; Epredia Catalog # TA-999-DHBH). Tissue was stained using the Alexa Fluor™ 647 Goat anti-Mouse IgG Secondary Antibody at 1:200 at 37 ° Celsius for 2 minutes. (Yellow; Lunaphore Catalog # DR647MS) and counterstained with DAPI (blue; Lunaphore Catalog # DR100). Specific staining was localized to the membrane. Protocol available in COMET™ Panel Builder.
Western Blot: B7-1/CD80 Antibody (62N3G8)BSA Free [NBP2-25255]

Western Blot: B7-1/CD80 Antibody (62N3G8)BSA Free [NBP2-25255]

Western Blot: B7-1/CD80 Antibody (62N3G8) [NBP2-25255] - Analysis in human Raji lymphoma cells.
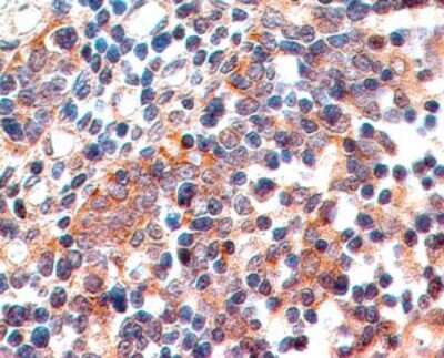
Immunohistochemistry-Paraffin: B7-1/CD80 Antibody (62N3G8) - BSA Free [NBP2-25255]

Immunohistochemistry-Paraffin: B7-1/CD80 Antibody (62N3G8) - BSA Free [NBP2-25255]

Immunohistochemistry-Paraffin: B7-1/CD80 Antibody (62N3G8) [NBP2-25255] - Human thymus stained with CD80 antibody at 5 ug/ml using peroxidase-conjugate and DAB chromogen. Note membrane and cytoplasmic staining.

Applications for B7-1/CD80 Antibody (62N3G8) - BSA Free

Application
Recommended Usage

Flow Cytometry

1:10-1:1000. Use reported by customer review

Immunohistochemistry

1:10-1:500

Immunohistochemistry-Paraffin

1:10-1:500

Multiplex Immunofluorescence

20ug/mL

Western Blot

reported by customer review
Application Notes
Staining of formalin-fixed tissues is enhanced by boiling tissue sections in 10 mM sodium citrate buffer, pH 6.0 for 10-20 min followed by cooling at RT for 20 min.

Reviewed Applications

Read 2 reviews rated 5 using NBP2-25255 in the following applications:

Formulation, Preparation, and Storage

Purification

Protein G purified

Formulation

PBS

Format

BSA Free

Preservative

0.05% Sodium Azide

Concentration

1.0 mg/ml

Shipping

The product is shipped with polar packs. Upon receipt, store it immediately at the temperature recommended below.

Stability & Storage

Store at 4C short term. Aliquot and store at -20C long term. Avoid freeze-thaw cycles.

Background: B7-1/CD80

The CD80 antigen (B7-1, BB1) recognizes a 60-kD transmembrane glycoprotein that is a member of the immunoglobulin family. This molecule shares with CD86 the capability to be the ligand for two structurally similar molecules expressed on T lymphocytes, CD28 and CD152 (CTLA-4). CD80 antigen is expressed on in vitro activated B lymphocytes after 24h stimulation and at maximal level 48-72h post activation. It is not expressed on the majority of resting B cells from peripheral blood but identifies a subpopulation of B cells that has been previously activated. The antigen is also expressed by HTLV-1 transformed T cells activated monocytes, and constitutively on dendritic cells. CD80 binding provides costimulatory signals for T cell activation.

Alternate Names

B71, CD80

Gene Symbol

CD80

UniProt

Additional B7-1/CD80 Products

Product Documents for B7-1/CD80 Antibody (62N3G8) - BSA Free

Certificate of Analysis

To download a Certificate of Analysis, please enter a lot number in the search box below.

Product Specific Notices for B7-1/CD80 Antibody (62N3G8) - BSA Free

This product is for research use only and is not approved for use in humans or in clinical diagnosis. Primary Antibodies are guaranteed for 1 year from date of receipt.

Loading...
Loading...
Loading...
Loading...
Loading...