Skip to main content

15-Lipoxygenase 1 Antibody (OTI3G8)

Novus Biologicals, part of Bio-Techne | Catalog # NBP2-01740

Novus Biologicals, part of Bio-Techne
Catalog #
Availability
Size / Price
Qty
Loading...
NBP2-01740

Key Product Details

Species Reactivity

Validated:

Human, Rat, Canine, Monkey, Primate

Cited:

Human, Mouse

Applications

Validated:

Immunohistochemistry, Immunohistochemistry-Paraffin, Western Blot, Immunocytochemistry/ Immunofluorescence

Cited:

Immunohistochemistry-Paraffin, Western Blot, Immunocytochemistry/ Immunofluorescence

Label

Unconjugated

Antibody Source

Monoclonal Mouse IgG2B Clone # OTI3G8

Concentration

1 mg/ml

Product Specifications

Immunogen

Full length human recombinant protein of human ALOX15(NP_001131) produced in HEK293T cell.

Clonality

Monoclonal

Host

Mouse

Isotype

IgG2B

Theoretical MW

74.6 kDa.
Disclaimer note: The observed molecular weight of the protein may vary from the listed predicted molecular weight due to post translational modifications, post translation cleavages, relative charges, and other experimental factors.

Scientific Data Images for 15-Lipoxygenase 1 Antibody (OTI3G8)

Western Blot: 15-Lipoxygenase 1 Antibody (OTI3G8) [NBP2-01740]

Western Blot: 15-Lipoxygenase 1 Antibody (OTI3G8) [NBP2-01740]

Western Blot: 15-Lipoxygenase 1 Antibody (OTI3G8) [NBP2-01740] - Analysis of extracts (10ug) from a mouse cell line and 3 different mouse tissues by using anti-ALOX15 monoclonal antibody.(1:200)
Immunocytochemistry/ Immunofluorescence: 15-Lipoxygenase 1 Antibody (OTI3G8) [NBP2-01740]

Immunocytochemistry/ Immunofluorescence: 15-Lipoxygenase 1 Antibody (OTI3G8) [NBP2-01740]

Immunocytochemistry/Immunofluorescence: 15-Lipoxygenase 1 Antibody (OTI3G8) [NBP2-01740] - COS7 cells
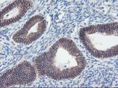
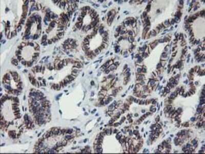
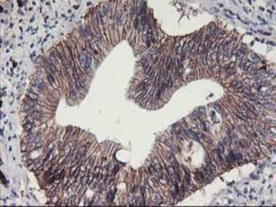
Immunohistochemistry-Paraffin: 15-Lipoxygenase 1 Antibody (OTI3G8) [NBP2-01740]

Immunohistochemistry-Paraffin: 15-Lipoxygenase 1 Antibody (OTI3G8) [NBP2-01740]

Immunohistochemistry-Paraffin: 15-Lipoxygenase 1 Antibody (OTI3G8) [NBP2-01740] - Staining of paraffin-embedded Human endometrium tissue using anti-15 Lipoxygenase 1 mouse monoclonal antibody.

Applications for 15-Lipoxygenase 1 Antibody (OTI3G8)

Application
Recommended Usage

Immunocytochemistry/ Immunofluorescence

1:100

Immunohistochemistry

1:150

Immunohistochemistry-Paraffin

1:150

Western Blot

1:500-2000

Reviewed Applications

Read 1 review rated 5 using NBP2-01740 in the following applications:

Formulation, Preparation, and Storage

Purification

Immunogen affinity purified

Formulation

PBS (pH 7.3), 1.0% BSA and 50% Glycerol

Preservative

0.02% Sodium Azide

Concentration

1 mg/ml

Shipping

The product is shipped with polar packs. Upon receipt, store it immediately at the temperature recommended below.

Stability & Storage

Store at -20C. Avoid freeze-thaw cycles.

Background: 15-Lipoxygenase 1

Converts arachidonic acid to 15S-hydroperoxyeicosatetraenoic acid. Also acts on C-12 of arachidonate as wellas on linoleic acid

Long Name

Polyunsaturated fatty acid lipoxygenase ALOX15

Alternate Names

12-LOX, 12/15-lipoxygenase, 15-LOX, 15-LOX-1, ALOX15, EC 1.13.11.12, LOG15

Entrez Gene IDs

246 (Human)

Gene Symbol

ALOX15

Additional 15-Lipoxygenase 1 Products

Product Documents for 15-Lipoxygenase 1 Antibody (OTI3G8)

Certificate of Analysis

To download a Certificate of Analysis, please enter a lot number in the search box below.

Product Specific Notices for 15-Lipoxygenase 1 Antibody (OTI3G8)

This product is for research use only and is not approved for use in humans or in clinical diagnosis. Primary Antibodies are guaranteed for 1 year from date of receipt.

Loading...
Loading...
Loading...
Loading...