Skip to main content

Recombinant Human IL-3R alpha/CD123 Fc Chimera Protein, CF

R&D Systems, part of Bio-Techne | Catalog # 11140-R3

R&D Systems, part of Bio-Techne
Catalog #
Availability
Size / Price
Qty
Loading...
11140-R3-050

Key Product Details

  • R&D Systems CHO-derived Recombinant Human IL-3R alpha/CD123 Fc Chimera Protein (11140-R3)
  • Quality control testing to verify active proteins with lot specific assays by in-house scientists
  • All R&D Systems proteins are covered with a 100% guarantee

Source

CHO

Accession #

Structure / Form

Disulfide-linked homodimer

Conjugate

Unconjugated

Applications

Bioactivity

Product Specifications

Source

Chinese Hamster Ovary cell line, CHO-derived human IL-3R alpha protein
Human IL-3R alpha
(Thr19-Arg305)
Accession # P26951.1
IEGRMD Human IgG1
(Pro100-Lys330)
N-terminus C-terminus

Purity

>95%, by SDS-PAGE visualized with Silver Staining and quantitative densitometry by Coomassie® Blue Staining.

Endotoxin Level

<0.10 EU per 1 μg of the protein by the LAL method.

N-terminal Sequence Analysis

Thr19 and Lys20

Predicted Molecular Mass

60 kDa

SDS-PAGE

83-91 kDa, under reducing conditions.

Activity

Measured by its binding ability in a functional ELISA.
When Recombinant Human IL‑3 (Catalog # 203-IL) is present at 1.00 μg/mL, the concentration of Recombinant Human IL-3R alpha/CD123 Fc Chimera (Catalog # 11140-R3) that produces 50% of the binding response is 10.0-80.0 ng/mL.

Scientific Data Images for Recombinant Human IL-3R alpha/CD123 Fc Chimera Protein, CF

Recombinant Human IL-3R alpha/CD123 Fc Chimera Protein Binding Activity.

Measured by its binding ability in a functional ELISA. When Recombinant Human IL-3 (203-IL) is present at 1.00 ug/mL, the concentration of Recombinant Human IL-3R alpha/CD123 Fc Chimera (Catalog # 11140-R3) that produces 50% of the binding response is 10.0-80.0 ng/mL.

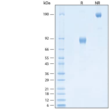
Recombinant Human IL-3R alpha/CD123 Fc Chimera Protein SDS-PAGE.

2 μg/lane of Recombinant Human IL-3R alpha/CD123 Fc Chimera Protein (Catalog # 11140-R3) was resolved with SDS-PAGE under reducing (R) and non-reducing (NR) conditions and visualized by Coomassie® Blue staining, showing bands at 83-91 kDa and 170-180 kDa, respectively.

Recombinant Human IL-3R alpha/CD123 Fc Chimera Surface Plasmon Resonance

Recombinant Human IL-3R alpha/CD123 Fc Chimera (Catalog # 11140-R3) was captured on Biacore Sensor Chip CM5 via Recombinant Protein A/G/L (Catalog # NBP2-34985), and binding to Recombinant Human IL 3 (Catalog # 203-IL) was measured at a concentration range between 0.277 nM and 2 µM. The double-referenced sensorgram was fit to a 1:1 binding model to determine the binding kinetics and affinity, with an affinity constant of KD=90.9 nM. (Biacore T200).

Formulation, Preparation and Storage

11140-R3
Formulation Lyophilized from a 0.2 μm filtered solution in PBS with Trehalose.
Reconstitution Reconstitute at 250 μg/mL in PBS.
Shipping The product is shipped at ambient temperature. Upon receipt, store it immediately at the temperature recommended below.
Stability & Storage Use a manual defrost freezer and avoid repeated freeze-thaw cycles.
  • 12 months from date of receipt, -20 to -70 °C as supplied.
  • 1 month, 2 to 8 °C under sterile conditions after reconstitution.
  • 3 months, -20 to -70 °C under sterile conditions after reconstitution.

Background: IL-3R alpha

IL-3 receptor chain alpha (IL‑3R alpha) also known as CD123, is a member of the type 1 cytokine receptor family of proteins expressed mainly by activated T cells or mast cells (1-3). IL-3R alpha is a 60-70 kDa receptor component that binds IL-3 with low affinity and forms one-half of the IL-3 receptor complex. IL-3R alpha associates with the 130-140 kDa non-ligand binding IL-3R beta for high-affinity binding to IL-3 to form the heterodimeric receptor complex (4). IL-3R alpha consists of an extracellular domain (ECD) with an N-terminal Ig-like C2-type domain and a cytokine-binding domain containing two fibronectin type-III domains with a WSXWS motif, a helical transmembrane segment and a cytoplasmic domain (3). Within the mature ECD, human IL-3R alpha shares 30% and 31% amino acid sequence identity with mouse and rat IL-3R alpha, respectively.  An isoform lacking the N-terminal domain of ECD has been identified in mouse and human (5, 6). IL‑3 stimulates the proliferation and differentiation of hemopoietic cells including the pluripotent hematopoietic stem cells as well as various lineage‑committed cells (7). IL-3R alpha is expressed on multiple cell types, including endothelial cells, monocytes, eosinophils, basophils plus mast cells, and plasmacytoid CD4+ T cells (8). IL-3R alpha is over-expressed in acute myeloid leukemia and this is associated with a poor prognosis in AML (9). 

References

  1. Broughton, S.E. et al. (2012) Immunol. Rev. 250:277.
  2. Langer, J.A. et al. (2004) Cytokine Growth Factor Rev. 15:33.
  3. Broughton, S.E. et al. (2014) Acta Crystallogr F Struc Biol Commun. 70:358.
  4. Broughton, S.E. et al. (2014) Cell Reports. 8:410.
  5. Chen, J. et al. (2009) J. Biol. Chem. 284:5763.
  6. Hamming, O.J. et al. (2012) J Biol Chem. 287:9454.
  7. Ogorochi, T. and A. Miyajima (1994) in Guidebook to Cytokines and Their Receptors, N.A. Nicola, ed. Oxford University, New York p. 40.
  8. Michalska, A. et al. (2020) Postepy Dermatol Alergol. 37:299.
  9. Testa, U. et al. (2002) Blood 100:2980.

Long Name

Interleukin 3 Receptor alpha

Alternate Names

CD123, IL-3 R alpha, IL-3Ra, IL3R alpha, IL3RA

Entrez Gene IDs

3563 (Human); 16188 (Mouse); 102138639 (Cynomolgus Monkey)

Gene Symbol

IL3RA

UniProt

Additional IL-3R alpha Products

Product Documents for Recombinant Human IL-3R alpha/CD123 Fc Chimera Protein, CF

Certificate of Analysis

To download a Certificate of Analysis, please enter a lot number in the search box below.

Note: Certificate of Analysis not available for kit components.

Product Specific Notices for Recombinant Human IL-3R alpha/CD123 Fc Chimera Protein, CF

For research use only

Loading...
Loading...
Loading...