Skip to main content

CellXVivo Human Monocyte-derived DC Differentiation Kit Best Seller

R&D Systems, part of Bio-Techne | Catalog # CDK004

For the differentiation of CD14+ monocytes into dendritic cells.
R&D Systems, part of Bio-Techne

Key Product Details

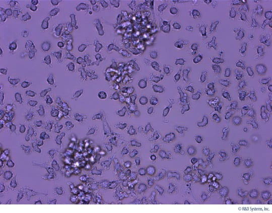
Morphology of Immature Human Dendritic Cells Cultured in Differentiation Media for 7 days.
(4)

Assay Procedure

Refer to the product datasheet for complete product details.

Briefly, mature human monocyte-derived dendritic cells can be generated using the following procedure:

  • Isolate human CD14+ monocytes from a PBMC preparation
  • Culture CD14+ monocytes in growth factor-supplemented Serum-Free Dendritic Cell Base Media
  • Verify differentiation into immature dendritic cells by flow cytometry
  • Induce dendritic cell maturation with TNF-alpha
  • Verify dendritic cell maturation via flow cytometry
    View Graphic Procedure
 

Reagents Provided

Reagents Supplied in the Human Monocyte-derived Dendritic Cell Differentiation Kit (Catalog # CDK004):

  • Serum-Free Dendritic Cell Base Media
  • Recombinant Human IL-4
  • Recombinant Human GM-CSF
  • Recombinant Human TNF-alpha
  • Reconstitution Buffer 2

 

Other Supplies Required

Reagents

  • MagCellect™ Human CD14+ Cell Isolation Kit (R&D Systems, Catalog # MAGH105, or equivalent).
  • Ficoll-Hypaque™
  • Penicillin (optional)
  • Streptomycin (optional)

Equipment

  • Tissue culture flasks and/or plates
  • Inverted microscope
  • Hemocytometer
  • 37 °C and 5% CO2 humidified cell culture incubator
  • Benchtop centrifuge
  • Pipettes and pipette tips

 

Procedure Overview

  1. Isolate PBMCs from human blood.
  2. Enrich human CD14+ cells from PBMCs (e.g., using magnetic cell selection).
  3. Perform a cell count.
  4. Suspend 1 x 106 CD14+ cells/mL in Differentiation Media.
  5. Culture the cells for 7 days.
  6. Add fresh Diferentiation Media every 2-3 days.
  7. Verify immature dendritic cell differentiation by flow cytometry. The Th2 cells are now ready for further downstream applications.
  8. Induce dendritic cell maturation with TNF-alpha for 3 days.
  9. Verify dendritic cell maturation by flow cytometry.
  10. Mature dendritic cells are ready for downstream applications.
Loading...
Loading...

FAQs for CellXVivo Human Monocyte-derived DC Differentiation Kit

Loading...

Product Documents for CellXVivo Human Monocyte-derived DC Differentiation Kit

Certificate of Analysis

To download a Certificate of Analysis, please enter a lot number in the search box below.

Note: Certificate of Analysis not available for kit components.