Skip to main content

Transthyretin/Prealbumin Antibody (CL0290) - Azide and BSA Free

Novus Biologicals, part of Bio-Techne | Catalog # NBP3-43937

Novus Biologicals, part of Bio-Techne
Catalog #
Availability
Size / Price
Qty
Loading...
NBP3-43937

Key Product Details

Validated by

Orthogonal Validation

Species Reactivity

Human

Applications

Immunohistochemistry-Paraffin, Western Blot

Label

Unconjugated

Antibody Source

Monoclonal Mouse IgG1 Clone # CL0290

Format

Azide and BSA Free

Concentration

LYOPH mg/ml

Product Specifications

Immunogen

This antibody was generated using a recombinant protein sequence of P02766, with the exact immunogen sequence remaining proprietary.

Clonality

Monoclonal

Host

Mouse

Isotype

IgG1

Description

Novus Biologicals Mouse Transthyretin/Prealbumin Antibody (CL0290) - Azide and BSA Free (NBP2-52905) is a monoclonal antibody validated for use in IHC and WB. All Novus Biologicals antibodies are covered by our 100% guarantee.

Scientific Data Images for Transthyretin/Prealbumin Antibody (CL0290) - Azide and BSA Free

Transthyretin/Prealbumin Antibody (CL0290) - Azide and BSA Free Western Blot: Transthyretin/Prealbumin Antibody [NBP3-43937]

Western Blot: Transthyretin/Prealbumin Antibody [NBP3-43937]

Lane 1: Marker [kDa]
Lane 2: Human plasma
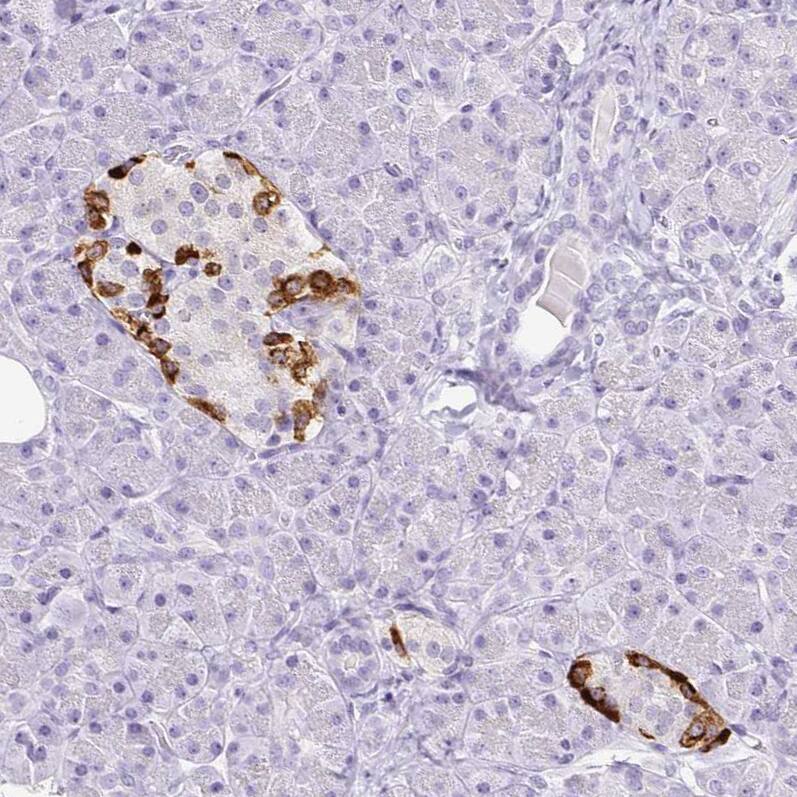
Transthyretin/Prealbumin Antibody (CL0290) - Azide and BSA Free Immunohistochemistry-Paraffin: Transthyretin/Prealbumin Antibody [NBP3-43937]

Immunohistochemistry-Paraffin: Transthyretin/Prealbumin Antibody [NBP3-43937]

Analysis in human pancreas and tonsil tissues using NBP3-43937 antibody. Corresponding Transthyretin/Prealbumin RNA-seq data are presented for the same tissues.
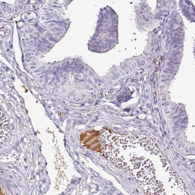
Transthyretin/Prealbumin Antibody (CL0290) - Azide and BSA Free Immunohistochemistry-Paraffin: Transthyretin/Prealbumin Antibody [NBP3-43937]

Immunohistochemistry-Paraffin: Transthyretin/Prealbumin Antibody [NBP3-43937]

Staining of human fallopian tube shows moderate positivity in plasma in blood vessels.

Applications for Transthyretin/Prealbumin Antibody (CL0290) - Azide and BSA Free

Application
Recommended Usage

Immunohistochemistry-Paraffin

1:20000 - 1:50000

Western Blot

1 ug/ml
Application Notes
For IHC-Paraffin, HIER pH 6 retrieval is recommended.

Formulation, Preparation, and Storage

Purification

Protein A purified

Reconstitution

Centrifuge the vial of lyophilized antibody at 12,000 x g for 20 seconds. Reconstitute by adding sterile, distilled water to achieve a final antibody concentration of 1mg/ml.

Formulation

Lyophilized from a 0.2 um filtered solution in PBS with Trehalose

Format

Azide and BSA Free

Preservative

No Preservative

Concentration

LYOPH mg/ml

Shipping

The product is shipped at ambient temperature. Upon receipt, store it immediately at the temperature recommended below.

Stability & Storage

Store at 4C short term. Aliquot and store at -20C long term. Avoid freeze-thaw cycles.

Background: Transthyretin/Prealbumin

Prealbumin is a serum protein usually occurring at 200-400mg/L serum. Prealbumin migrates faster than albumin in acidic starch gels and include alpha 1 antitrypsin, thyroxine binding prealbumin, and orosomucoid, an alpha 1 acid glycoprotein. The functions of prealbumin are to transport thyroxine, a task it shares with thyroxine binding globulin, retinol binding protein and vitamin A. Polymorphism of prealbumin is known in the mouse and pig.

Alternate Names

ATTR, PALB, TBPA, TTR

Gene Symbol

TTR

Additional Transthyretin/Prealbumin Products

Product Documents for Transthyretin/Prealbumin Antibody (CL0290) - Azide and BSA Free

Certificate of Analysis

To download a Certificate of Analysis, please enter a lot number in the search box below.

Product Specific Notices for Transthyretin/Prealbumin Antibody (CL0290) - Azide and BSA Free

This product is for research use only and is not approved for use in humans or in clinical diagnosis. Primary Antibodies are guaranteed for 1 year from date of receipt.

Loading...
Loading...
Loading...
Loading...
Loading...