Skip to main content

Transthyretin/Prealbumin Antibody (CL0290) - BSA Free

Novus Biologicals, part of Bio-Techne | Catalog # NBP2-52905

Novus Biologicals, part of Bio-Techne
Catalog #
Availability
Size / Price
Qty
Loading...
NBP2-52905-25ul
NBP2-52905

Key Product Details

Validated by

Orthogonal Validation

Species Reactivity

Human

Applications

Immunohistochemistry, Immunohistochemistry-Paraffin, Western Blot, Immunocytochemistry/ Immunofluorescence

Label

Unconjugated

Antibody Source

Monoclonal Mouse IgG1 Clone # CL0290

Format

BSA Free

Concentration

Concentrations vary lot to lot. See vial label for concentration. If unlisted please contact technical services.

Product Specifications

Immunogen

This antibody was developed using a recombinant protein derived from P02766, with the exact immunogen sequence remaining proprietary.

Reactivity Notes

Immunogen displays the following percentage of sequence identity for non-tested species: Mouse (81%), Rat (83%).

Clonality

Monoclonal

Host

Mouse

Isotype

IgG1

Description

Novus Biologicals Mouse Transthyretin/Prealbumin Antibody (CL0290) - BSA Free (NBP2-52905) is a monoclonal antibody validated for use in IHC, WB and ICC/IF. All Novus Biologicals antibodies are covered by our 100% guarantee.

Scientific Data Images for Transthyretin/Prealbumin Antibody (CL0290) - BSA Free

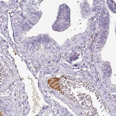
Immunohistochemistry-Paraffin: Transthyretin/Prealbumin Antibody (CL0290) [NBP2-52905]

Immunohistochemistry-Paraffin: Transthyretin/Prealbumin Antibody (CL0290) [NBP2-52905]

Immunohistochemistry-Paraffin: Transthyretin/Prealbumin Antibody (CL0290) [NBP2-52905] - Staining in human pancreas and tonsil tissues. Corresponding TTR RNA-seq data are presented for the same tissues.
Western Blot: Transthyretin/Prealbumin Antibody (CL0290) [NBP2-52905]

Western Blot: Transthyretin/Prealbumin Antibody (CL0290) [NBP2-52905]

Western Blot: Transthyretin/Prealbumin Antibody (CL0290) [NBP2-52905] - Lane 1: Marker [kDa], Lane 2: Human plasma
Immunocytochemistry/ Immunofluorescence: Transthyretin/Prealbumin Antibody (CL0290) [NBP2-52905]

Immunocytochemistry/ Immunofluorescence: Transthyretin/Prealbumin Antibody (CL0290) [NBP2-52905]

Immunocytochemistry/Immunofluorescence: Transthyretin/Prealbumin Antibody (CL0290) [NBP2-52905] - Human endothilial cells stained with Transthyretin/Prealbumin Antibody (CL0290). ICC/IF image submitted by a verified customer review.

Applications for Transthyretin/Prealbumin Antibody (CL0290) - BSA Free

Application
Recommended Usage

Immunocytochemistry/ Immunofluorescence

Validated for ICC/IF from a verified customer review.

Immunohistochemistry

1:20000 -1:50000

Immunohistochemistry-Paraffin

1:20000 - 1:50000

Western Blot

1 ug/ml
Application Notes
For IHC-Paraffin, HIER pH 6 retrieval is recommended.

Reviewed Applications

Read 1 review rated 5 using NBP2-52905 in the following applications:

Formulation, Preparation, and Storage

Purification

Protein A purified

Formulation

PBS (pH 7.2) and 40% Glycerol

Format

BSA Free

Preservative

0.02% Sodium Azide

Concentration

Concentrations vary lot to lot. See vial label for concentration. If unlisted please contact technical services.

Shipping

The product is shipped with polar packs. Upon receipt, store it immediately at the temperature recommended below.

Stability & Storage

Store at 4C short term. Aliquot and store at -20C long term. Avoid freeze-thaw cycles.

Background: Transthyretin/Prealbumin

Prealbumin is a serum protein usually occurring at 200-400mg/L serum. Prealbumin migrates faster than albumin in acidic starch gels and include alpha 1 antitrypsin, thyroxine binding prealbumin, and orosomucoid, an alpha 1 acid glycoprotein. The functions of prealbumin are to transport thyroxine, a task it shares with thyroxine binding globulin, retinol binding protein and vitamin A. Polymorphism of prealbumin is known in the mouse and pig.

Alternate Names

ATTR, PALB, TBPA, TTR

Gene Symbol

TTR

Additional Transthyretin/Prealbumin Products

Product Documents for Transthyretin/Prealbumin Antibody (CL0290) - BSA Free

Certificate of Analysis

To download a Certificate of Analysis, please enter a lot number in the search box below.

Product Specific Notices for Transthyretin/Prealbumin Antibody (CL0290) - BSA Free

This product is for research use only and is not approved for use in humans or in clinical diagnosis. Primary Antibodies are guaranteed for 1 year from date of receipt.

Loading...
Loading...
Loading...
Loading...