Skip to main content

TNF-alpha Antibody (52B83)

Novus Biologicals, part of Bio-Techne | Catalog # NB600-1422

Novus Biologicals, part of Bio-Techne

Key Product Details

Species Reactivity

Validated:

Human, Mouse, Goat, Guinea Pig, Monkey, Rabbit, Sheep

Cited:

Human, Mouse, Rabbit

Applications

Validated:

Immunohistochemistry, Immunohistochemistry-Paraffin, Immunohistochemistry-Frozen, Western Blot, Immunoassay, Flow Cytometry

Cited:

Immunohistochemistry, Immunohistochemistry-Paraffin, ELISA, IF/IHC

Label

Unconjugated

Antibody Source

Monoclonal Mouse IgG1 Clone # 52B83

Concentration

0.1 mg/ml

Product Specifications

Immunogen

The monoclonal antibody 52B83 reacts with tumor necrosis factor alpha (TNF-alpha).

Reactivity Notes

Mouse reactivity reported in scientific literature (PMID: 27390101). Sheep and goat reactivity reported from a verified customer review. Rabbit reactivity reported in scientific literature (PMID: 28114570). Expected cross reactivity based on sequence identity: Guinea pig, Rhesus Monkey.

Localization

Type 2 membrane protein or soluble form derived from the membrane by proteolytic cleavage.

Specificity

This detects both natural and recombinant TNFa. It does not cross-react with TNF beta or lymphotoxin. Non-specific background staining is obesrved in connective tissues.

Clonality

Monoclonal

Host

Mouse

Isotype

IgG1

Scientific Data Images for TNF-alpha Antibody (52B83)

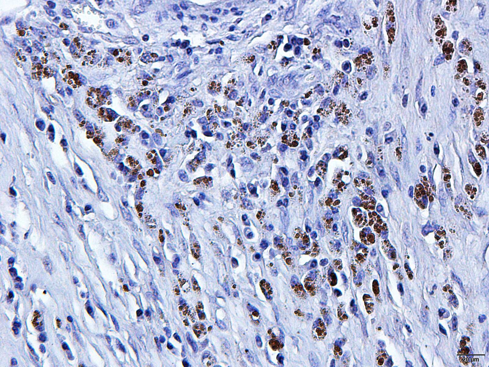
Immunohistochemistry-Paraffin: TNF-alpha Antibody (52B83) [NB600-1422]

Immunohistochemistry-Paraffin: TNF-alpha Antibody (52B83) [NB600-1422]

Immunohistochemistry-Paraffin: TNF-alpha Antibody (52B83) [NB600-1422] - TNF alpha in sheep tonsil FFPE. IHC-P image submitted by a verified customer review.
TNF-alpha Antibody (52B83)

Immunohistochemistry-Paraffin: Mouse Monoclonal TNF-alpha Antibody (52B83) [NB600-1422]

The f histological goat bone fragments were incubated with the primary antibody TGF-beta NBP2-45137 overnight. Subsequently, the secondary antibody goat anti-mouse IgG - NB7539 was applied and incubated for 1 hour. Image from a verified customer review.

Applications for TNF-alpha Antibody (52B83)

Application
Recommended Usage

Flow Cytometry

1:10-1:1000

Immunohistochemistry

1:10-1:500

Immunohistochemistry-Frozen

1:10-1:500

Immunohistochemistry-Paraffin

1:10-1:500

Western Blot

1:10-1:100
Application Notes
TNF-alpha is normally secreted as a homotrimer with a molecular mass of 52 kDa. Monomeric TNF-alpha (17.4 kDa) is not biologically active.

Reviewed Applications

Read 2 reviews rated 4 using NB600-1422 in the following applications:

Formulation, Preparation, and Storage

Purification

Protein G purified

Formulation

PBS, 0.1% BSA

Preservative

0.02% Sodium Azide

Concentration

0.1 mg/ml

Shipping

The product is shipped with polar packs. Upon receipt, store it immediately at the temperature recommended below.

Stability & Storage

Store at 4C.

Background: TNF-alpha

Tumor necrosis factor (TNF)-alpha is a pro-inflammatory cytokine belonging to the TNF superfamily that is secreted by monocytes/macrophages, T cell, and natural killer (NK), among others (1). TNF-alpha is synthesized as a 233 amino acid (aa) transmembrane protein (mTNF-alpha) with a theoretical molecular weight (MW) of 26 kDa (1,2) that forms a homotrimer. mTNF-alpha is cleaved by TNF-alpha converting enzyme (TACE) and released in its 157 aa, 17 kDa soluble form (sTNF-alpha) (1-5). Both mTNF-alpha and sTNF-alpha are capable of binding type 1 TNF receptors (TNFR1), whereas mTNF-alpha predominately binds to TNFR2 (1,2). TNF-alpha binding to its receptors causes receptor recruitment of adaptor proteins, formation of signaling complexes, and downstream signaling cascades (e.g. MAPK, NF-kappaB, and Caspase-8), leading to distinct cellular responses such as survival, proliferation, inflammation, necroptosis, and apoptosis (1-5).

TNF-alpha is critical for normal immune response; however, dysregulation of TNF-alpha production can result in various pathologies (2,4,5). Excessive production of pro-inflammatory cytokines including interleukin 1 (IL-1), IL-6, and TNF-alpha has been implicated in an array of autoimmune diseases like rheumatoid arthritis (RA), inflammatory bowel disease (IBD), and psoriasis (2,4,5). Anti-TNF monoclonal antibodies, including Infliximab, and soluble TNFR have been approved for the treatment of autoimmune and TNF-mediated diseases (5). Additionally, data suggests that TNF inhibitors can be beneficial for treating patients experiencing immune-related adverse events associated with immune checkpoint inhibitor cancer treatment (6).

References

1. Holbrook J, Lara-Reyna S, Jarosz-Griffiths H, McDermott M. Tumour necrosis factor signalling in health and disease. F1000Res. 2019;8:F1000 Faculty Rev-111. https://doi.org/10.12688/f1000research.17023.1

2. Jang DI, Lee AH, Shin HY, et al. The Role of Tumor Necrosis Factor Alpha (TNF-alpha) in Autoimmune Disease and Current TNF-alpha Inhibitors in Therapeutics. Int J Mol Sci. 2021;22(5):2719. https://doi.org/10.3390/ijms22052719

3. Horiuchi T, Mitoma H, Harashima S, Tsukamoto H, Shimoda T. Transmembrane TNF-alpha: structure, function and interaction with anti-TNF agents. Rheumatology (Oxford). 2010;49(7):1215-1228. https://doi.org/10.1093/rheumatology/keq031

4. Webster JD, Vucic D. The Balance of TNF Mediated Pathways Regulates Inflammatory Cell Death Signaling in Healthy and Diseased Tissues. Front Cell Dev Biol. 2020;8:365. https://doi.org/10.3389/fcell.2020.00365

5. Kalliolias GD, Ivashkiv LB. TNF biology, pathogenic mechanisms and emerging therapeutic strategies. Nat Rev Rheumatol. 2016; 12(1):49-62. https://doi.org/10.1038/nrrheum.2015.169

6. Chen AY, Wolchok JD, Bass AR. TNF in the era of immune checkpoint inhibitors: friend or foe?. Nat Rev Rheumatol. 2021;17(4):213-223. doi:10.1038/s41584-021-00584-4

Long Name

Tumor Necrosis Factor alpha

Alternate Names

Cachetin, DIF, TNF, TNF-A, TNFA, TNFalpha, TNFG1F, TNFSF1A, TNFSF2

Entrez Gene IDs

7124 (Human)

Gene Symbol

TNF

Additional TNF-alpha Products

Product Documents for TNF-alpha Antibody (52B83)

Certificate of Analysis

To download a Certificate of Analysis, please enter a lot number in the search box below.

Product Specific Notices for TNF-alpha Antibody (52B83)

This product is for research use only and is not approved for use in humans or in clinical diagnosis. Primary Antibodies are guaranteed for 1 year from date of receipt.

Loading...
Loading...
Loading...
Loading...
Loading...
Loading...