Skip to main content

SIRP alpha/CD172a Antibody (JE36-20)

Novus Biologicals, part of Bio-Techne | Catalog # NBP3-32950

Recombinant Monoclonal Antibody
Novus Biologicals, part of Bio-Techne
Catalog #
Availability
Size / Price
Qty
Loading...
NBP3-32950

Key Product Details

Species Reactivity

Human, Mouse, Rat

Applications

Immunohistochemistry, Immunohistochemistry-Paraffin, Western Blot

Label

Unconjugated

Antibody Source

Recombinant Monoclonal Rabbit IgG Clone # JE36-20 expressed in HEK293

Concentration

1 mg/ml

Product Specifications

Immunogen

Recombinant protein within Human SIRP alpha/CD172a aa 395-504 / 504. (Uniprot: P78324)

Localization

Membrane

Clonality

Monoclonal

Host

Rabbit

Isotype

IgG

Theoretical MW

55 kDa.
Disclaimer note: The observed molecular weight of the protein may vary from the listed predicted molecular weight due to post translational modifications, post translation cleavages, relative charges, and other experimental factors.

Description

Novus Biologicals Rabbit SIRP alpha/CD172a Antibody (JE36-20) (NBP3-32950) is a recombinant monoclonal antibody validated for use in IHC and WB. All Novus Biologicals antibodies are covered by our 100% guarantee.

Scientific Data Images for SIRP alpha/CD172a Antibody (JE36-20)

SIRP alpha/CD172a Antibody (JE36-20)

Western Blot: SIRP alpha/CD172a Antibody (JE36-20) [NBP3-32950]

Western Blot: SIRP alpha/CD172a Antibody (JE36-20) [NBP3-32950] - Western blot analysis of SIRP alpha/CD172a on different lysates with Rabbit anti-SIRP alpha/CD172a antibody (NBP3-32950) at 1/500 dilution.

Lane 1: THP-1 cell lysate (10 ug/Lane)
Lane 2: HL-60 cell lysate (10 ug/Lane)
Lane 3: Mouse brain tissue lysate (20 ug/Lane)

Predicted band size: 55 kDa
Observed band size: 75-100 kDa

Exposure time: 2 minutes;

8% SDS-PAGE gel.

Proteins were transferred to a PVDF membrane and blocked with 5% NFDM/TBST for 1 hour at room temperature. The primary antibody (NBP3-32950) at 1/500 dilution was used in 5% NFDM/TBST at room temperature for 2 hours. Goat Anti-Rabbit IgG - HRP Secondary Antibody at 1:300,000 dilution was used for 1 hour at room temperature.
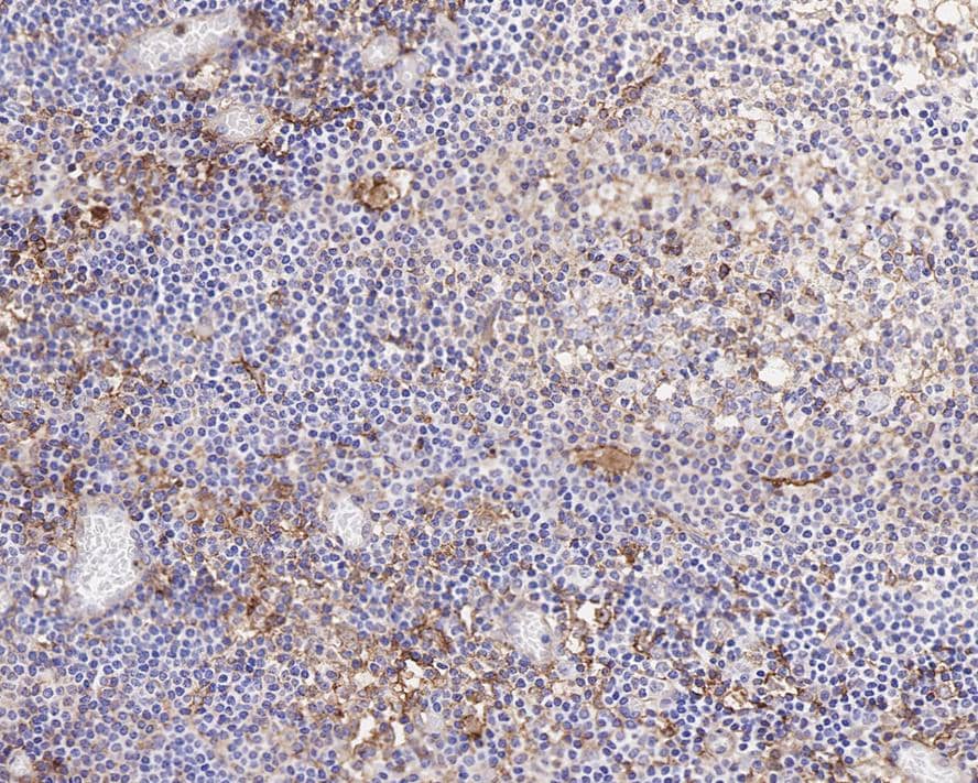
SIRP alpha/CD172a Antibody (JE36-20)

Immunohistochemistry: SIRP alpha/CD172a Antibody (JE36-20) [NBP3-32950]

Immunohistochemistry: SIRP alpha/CD172a Antibody (JE36-20) [NBP3-32950] - Immunohistochemical analysis of paraffin-embedded human lymph node tissue with Rabbit anti-SIRP alpha/CD172a antibody (NBP3-32950) at 1/1,000 dilution.

The section was pre-treated using heat mediated antigen retrieval with Tris-EDTA buffer (pH 9.0) for 20 minutes. The tissues were blocked in 1% BSA for 20 minutes at room temperature, washed with ddH2O and PBS, and then probed with the primary antibody (NBP3-32950) at 1/1,000 dilution for 1 hour at room temperature. The detection was performed using an HRP conjugated compact polymer system. DAB was used as the chromogen. Tissues were counterstained with hematoxylin and mounted with DPX.
SIRP alpha/CD172a Antibody (JE36-20)

Flow Cytometry: SIRP alpha/CD172a Antibody (JE36-20) [NBP3-32950]

Flow Cytometry: SIRP alpha/CD172a Antibody (JE36-20) [NBP3-32950] - Flow cytometric analysis of THP-1 cells labeling SIRP alpha/CD172a.

Cells were fixed and permeabilized. Then stained with the primary antibody (NBP3-32950, 1ug/ml) (red) compared with Rabbit IgG Isotype Control (green). After incubation of the primary antibody at +4℃ for an hour, the cells were stained with a Alexa Fluor® 488 conjugate-Goat anti-Rabbit IgG Secondary antibody at 1/1,000 dilution for 30 minutes at +4℃. Unlabelled sample was used as a control (cells without incubation with primary antibody; black).

Applications for SIRP alpha/CD172a Antibody (JE36-20)

Application
Recommended Usage

Immunohistochemistry-Paraffin

1:1000

Western Blot

1:500-1:1000

Formulation, Preparation, and Storage

Purification

Protein A purified

Formulation

1*TBS (pH7.4), 0.05% BSA and 40% Glycerol

Preservative

0.05% Sodium Azide

Concentration

1 mg/ml

Shipping

The product is shipped with polar packs. Upon receipt, store it immediately at the temperature recommended below.

Stability & Storage

Store at 4C short term. Aliquot and store at -20C long term. Avoid freeze-thaw cycles.

Background: SIRP alpha/CD172a

Protein tyrosine phosphatases (PTPases) SHP-1 and SHP-2 are critical regulators in the intracellular signaling pathways that result in cell responses such as mitosis, differentiation, migration, survival, transformation or death. SHP-2 is a signal transducer for several receptor tyrosine kinases and cytokine receptors. A novel SHP-2 associated glycoprotein was recently cloned from human, rat, mouse and cattle by several labs and was designated SIRPa (1), SHPS-1 (2,3), MyD-1 (4), BIT (5,6) and p84 (7). SIRPa is a new gene family containing at least fifteen members. SIRPa is a substrate of many activated tyrosine kinases such as insulin receptor, EGFR, PDGFR and src, and a specific docking protein for SHP-2 (1,2,5,8). SIRPa has regulatory effects on cellular responses induced by serum, growth factors, insulin, oncogenes, growth hormones and cell adhesion and plays a general role in different physiological and pathological processes (1,2,5,8).

Long Name

Signal-regulatory Protein alpha

Alternate Names

BIT, CD172a, MFR, MYD-1, SHPS1, SIRPA

Gene Symbol

SIRPA

Additional SIRP alpha/CD172a Products

Product Documents for SIRP alpha/CD172a Antibody (JE36-20)

Certificate of Analysis

To download a Certificate of Analysis, please enter a lot number in the search box below.

Product Specific Notices for SIRP alpha/CD172a Antibody (JE36-20)

This product is for research use only and is not approved for use in humans or in clinical diagnosis. Primary Antibodies are guaranteed for 1 year from date of receipt.

Loading...
Loading...
Loading...
Loading...