Skip to main content

Key Product Details

Species Reactivity

Validated:

SARS-CoV-2

Cited:

Human

Applications

Validated:

Immunohistochemistry, Western Blot, Immunocytochemistry

Cited:

ELISA Capture

Label

Unconjugated

Antibody Source

Monoclonal Mouse IgG2A Clone # 1041422

Product Specifications

Immunogen

E. coli-derived human SARS-CoV-2 ORF8
Met16-His121
Accession # YP_009724369

Specificity

Detects human SARS-CoV-2 ORF8 in direct ELISAs.

Clonality

Monoclonal

Host

Mouse

Isotype

IgG2A

Scientific Data Images for SARS-CoV-2 ORF8 Antibody

Detection of SARS-CoV-2 ORF8 by Western Blot.

Western blot shows recombinant SARS-CoV-2 ORF8 protein. PVDF membrane was probed with 2 µg/mL of Mouse Anti-SARS-CoV-2 ORF8 Monoclonal Antibody (Catalog # MAB10820) followed by HRP-conjugated Anti-Mouse IgG Secondary Antibody (HAF018). A specific band was detected for ORF8 at approximately 14 kDa (as indicated). This experiment was conducted under reducing conditions and using Western Blot Buffer Group 1.

ORF8 in HEK293 Human Cell Line Transfected with SARS-CoV-2.

ORF8 was detected in immersion fixed HEK293 human embryonic kidney cell line transfected with SARS-CoV-2 (positive staining) and HEK293 human embryonic kidney cell line (non-transfected, negative staining) using Mouse Anti-SARS-CoV-2 ORF8 Monoclonal Antibody (Catalog # MAB10820) at 8 µg/mL for 3 hours at room temperature. Cells were stained using the NorthernLights™ 557-conjugated Anti-Mouse IgG Secondary Antibody (red; NL007) and counterstained with DAPI (blue). Specific staining was localized to cytoplasm. Staining was performed using our protocol for Fluorescent ICC Staining of Non-adherent Cells.

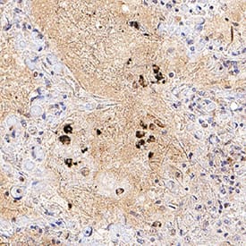
ORF8 in SARS-CoV-2 infected human lung.

ORF8 was detected in immersion fixed paraffin-embedded sections of SARS-CoV-2 infected human lung using Mouse Anti-SARS-CoV-2 ORF8 Monoclonal Antibody (Catalog # MAB10820) at 5 µg/mL for 1 hour at room temperature followed by incubation with the Anti-Mouse IgG VisUCyte™ HRP Polymer Antibody (VC001). Before incubation with the primary antibody, tissue was subjected to heat-induced epitope retrieval using Antigen Retrieval Reagent-Basic (CTS013). Tissue was stained using DAB (brown) and counterstained with hematoxylin (blue). Specific staining was localized to immunoreactive profiles scattered throughout the tissue. Staining was performed using our protocol for IHC Staining with VisUCyte HRP Polymer Detection Reagents.

Applications for SARS-CoV-2 ORF8 Antibody

Application
Recommended Usage

Immunocytochemistry

8-25 µg/mL
Sample: Immersion fixed HEK293 human embryonic kidney cell line transfected with SARS-CoV-2

Immunohistochemistry

5-25 µg/mL
Sample:  Immersion fixed paraffin-embedded sections of SARS-CoV-2 infected human lung

Western Blot

2 µg/mL
Sample: Recombinamt SARS-CoV-2 ORF8 protein

Formulation, Preparation, and Storage

Purification

Protein A or G purified from hybridoma culture supernatant

Reconstitution

Reconstitute at 0.5 mg/mL in sterile PBS. For liquid material, refer to CoA for concentration.

Reconstitution Buffer Available:
Size / Price
Qty
Loading...

Formulation

Lyophilized from a 0.2 μm filtered solution in PBS with Trehalose. *Small pack size (SP) is supplied either lyophilized or as a 0.2 µm filtered solution in PBS.

Shipping

Lyophilized product is shipped at ambient temperature. Liquid small pack size (-SP) is shipped with polar packs. Upon receipt, store immediately at the temperature recommended below.

Stability & Storage

Use a manual defrost freezer and avoid repeated freeze-thaw cycles.
  • 12 months from date of receipt, -20 to -70 °C as supplied.
  • 1 month, 2 to 8 °C under sterile conditions after reconstitution.
  • 6 months, -20 to -70 °C under sterile conditions after reconstitution.

Background: ORF8

SARS-CoV-2, which causes the global pandemic coronavirus disease 2019 (Covid-19), belongs to a family of viruses known as coronaviruses that are commonly comprised of four structural proteins: Spike protein(S), Envelope protein (E), Membrane protein (M), and Nucleocapsid protein (N) (1). M protein is the most abundant structural protein in the coronavirus membrane, and it is predicted to span the membrane three times, with a short N-terminal domain outside the viral envelope and a long C-terminal domain inside the virion (2). SARS-CoV-2 M protein is a 222 amino acid (aa) glycoprotein that is composed of an 18 aa N-terminal domain on the viral surface, 3 transmembrane domains, and a 122 aa C-terminal domain inside the viral envelope. SARS-CoV-2 M protein shares 89.14%, 98.6%, 98.2%, and 38.36% aa similarity with SARS-CoV-1, bat SARS-CoV, pangolin SARS-CoV, and MERS-CoV M proteins, respectively (3). The M protein of coronavirus plays an important role in assembly of viral particles by interacting with other structural proteins, especially with the E protein (4, 5). In SARS-CoV-2, M protein, combined with E protein, regulates intracellular trafficking of the S Protein and its unique furin-mediated processing (6).

References

  1. Wu, F. et al. (2020) Nature 579:265.
  2. Mousavizadeh, L. and S. Ghasemi (2020) J. Microbiol. Immunol. Infect. doi:10.1016/j.jmii.2020.03.022.
  3. Thomas, S. (2020) Pathog. Immun. 5:342.
  4. Masters, P.S. (2006) Adv. Virus. Res. 66:193.
  5. Corse, E. and C.E. Machamer (2003) Virology 312:25.
  6. Boson, B. et al. (2020) bioRxiv doi:10.1101/2020.08.24.260901.

Long Name

ORF8

Entrez Gene IDs

3200424 (HCoV-HKU1); 43740577 (SARS-CoV-2)

Gene Symbol

N2

UniProt

Additional ORF8 Products

Product Documents for SARS-CoV-2 ORF8 Antibody

Certificate of Analysis

To download a Certificate of Analysis, please enter a lot number in the search box below.

Note: Certificate of Analysis not available for kit components.

Product Specific Notices for SARS-CoV-2 ORF8 Antibody

For research use only

Loading...
Loading...
Loading...
Loading...