Skip to main content

Prox1 Antibody (CL13472) - Azide and BSA Free

Novus Biologicals, part of Bio-Techne | Catalog # NBP3-43858

Novus Biologicals, part of Bio-Techne
Catalog #
Availability
Size / Price
Qty
Loading...
NBP3-43858

Key Product Details

Species Reactivity

Human, Mouse, Rat

Applications

Immunohistochemistry-Paraffin, Western Blot

Label

Unconjugated

Antibody Source

Monoclonal Mouse IgG1 Clone # CL13472

Format

Azide and BSA Free

Concentration

LYOPH mg/ml

Product Specifications

Immunogen

This antibody was generated using a recombinant protein sequence of Q92786, with the exact immunogen sequence remaining proprietary.

Clonality

Monoclonal

Host

Mouse

Isotype

IgG1

Description

Novus Biologicals Mouse Prox1 Antibody (CL13472) - Azide and BSA Free (NBP3-24560) is a monoclonal antibody validated for use in IHC and WB. All Novus Biologicals antibodies are covered by our 100% guarantee.

Scientific Data Images for Prox1 Antibody (CL13472) - Azide and BSA Free

Prox1 Antibody (CL13472) - Azide and BSA Free Immunohistochemistry-Paraffin: Prox1 Antibody [NBP3-43858]

Immunohistochemistry-Paraffin: Prox1 Antibody [NBP3-43858]

Staining of human duodenum shows moderate nuclear positivity in a subset of glandular cells.
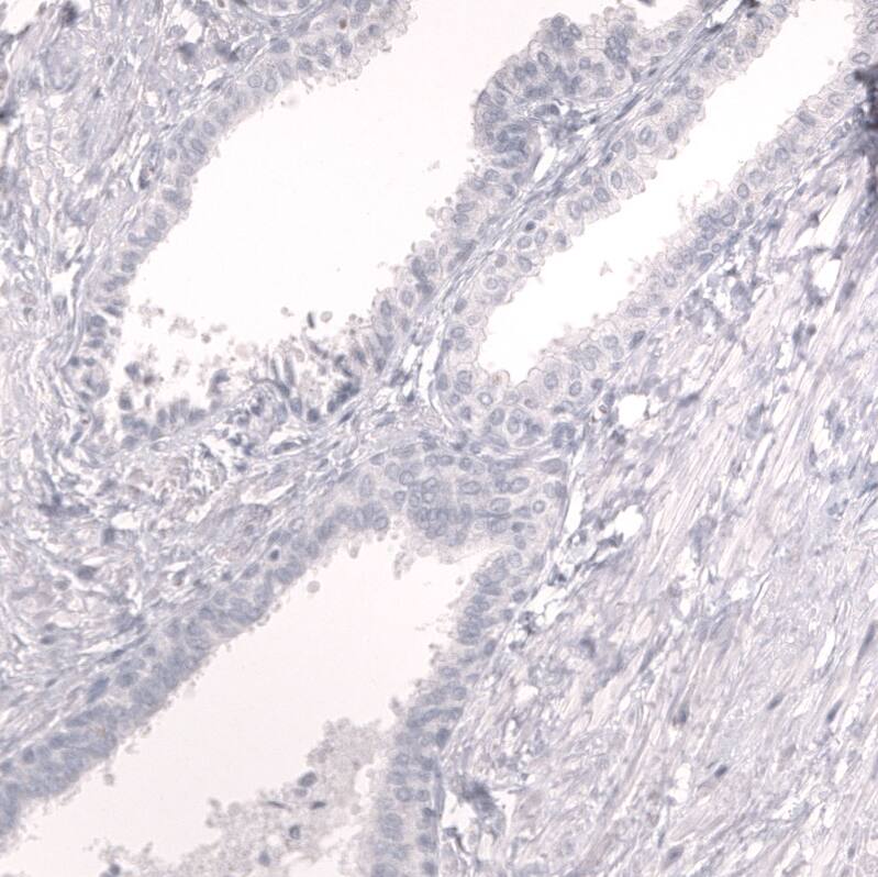
Prox1 Antibody (CL13472) - Azide and BSA Free Immunohistochemistry-Paraffin: Prox1 Antibody [NBP3-43858]

Immunohistochemistry-Paraffin: Prox1 Antibody [NBP3-43858]

Staining of human pancreas shows weak to moderate nuclear positivity in exocrine glandular cells.
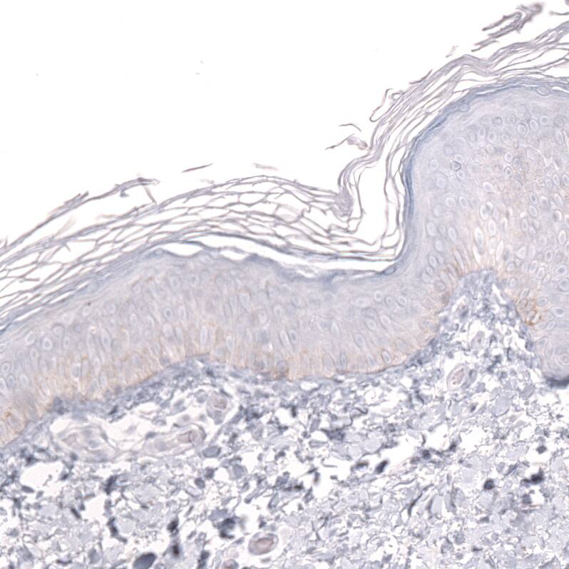
Prox1 Antibody (CL13472) - Azide and BSA Free Immunohistochemistry-Paraffin: Prox1 Antibody [NBP3-43858]

Immunohistochemistry-Paraffin: Prox1 Antibody [NBP3-43858]

Staining of human skin shows no positivity in squamous epithelial cells as expected.

Applications for Prox1 Antibody (CL13472) - Azide and BSA Free

Application
Recommended Usage

Immunohistochemistry-Paraffin

1:50 - 1:200

Western Blot

1 ug/ml
Application Notes
For IHC-Paraffin, we recommend using Heat-Induced Epitope Retrieval (HIER) with a pH level of 6. This optimized retrieval method ensures the best results for your experiments.

Formulation, Preparation, and Storage

Purification

Protein A purified

Reconstitution

Centrifuge the vial of lyophilized antibody at 12,000 x g for 20 seconds. Reconstitute by adding sterile, distilled water to achieve a final antibody concentration of 1mg/ml.

Formulation

Lyophilized from a 0.2 um filtered solution in PBS with Trehalose

Format

Azide and BSA Free

Preservative

No Preservative

Concentration

LYOPH mg/ml

Shipping

The product is shipped at ambient temperature. Upon receipt, store it immediately at the temperature recommended below.

Stability & Storage

Store at 4C short term. Aliquot and store at -20C long term. Avoid freeze-thaw cycles.

Background: Prox1

PROX1 may play a fundamental role in early development of CNS. May regulate gene expression and development of postmitotic undifferentiated young neurons. PROX1 antibodies are also used as a highly specific marker of lymphatic endothelial cells.

Long Name

Prospero-related Homeobox 1

Alternate Names

Homeobox prospero-like protein PROX1, prospero homeobox 1, prospero homeobox protein 1, prospero-related homeobox 1, PROX-1

Gene Symbol

PROX1

Additional Prox1 Products

Product Documents for Prox1 Antibody (CL13472) - Azide and BSA Free

Certificate of Analysis

To download a Certificate of Analysis, please enter a lot number in the search box below.

Product Specific Notices for Prox1 Antibody (CL13472) - Azide and BSA Free

This product is for research use only and is not approved for use in humans or in clinical diagnosis. Primary Antibodies are guaranteed for 1 year from date of receipt.

Loading...
Loading...
Loading...
Loading...
Loading...