Skip to main content

Prox1 Antibody (CL13472) - BSA Free

Novus Biologicals, part of Bio-Techne | Catalog # NBP3-24560

Novus Biologicals, part of Bio-Techne
Catalog #
Availability
Size / Price
Qty
Loading...
NBP3-24560-25ul
NBP3-24560-100ul

Key Product Details

Species Reactivity

Validated:

Human, Mouse, Rat

Predicted:

Rat (99%). Backed by our 100% Guarantee.

Applications

Immunohistochemistry, Immunohistochemistry-Paraffin, Western Blot

Label

Unconjugated

Antibody Source

Monoclonal Mouse IgG1 Clone # CL13472

Format

BSA Free

Concentration

Concentrations vary lot to lot. See vial label for concentration. If unlisted please contact technical services.

Product Specifications

Immunogen

This antibody was developed using a recombinant protein derived from Q92786, with the exact immunogen sequence remaining proprietary.

Clonality

Monoclonal

Host

Mouse

Isotype

IgG1

Description

Novus Biologicals Mouse Prox1 Antibody (CL13472) - BSA Free (NBP3-24560) is a monoclonal antibody validated for use in IHC and WB. All Novus Biologicals antibodies are covered by our 100% guarantee.

Scientific Data Images for Prox1 Antibody (CL13472) - BSA Free

Immunohistochemistry-Paraffin: Prox1 Antibody (CL13472) [NBP3-24560]

Staining of human prostate shows no positivity in glandular cells as expected.

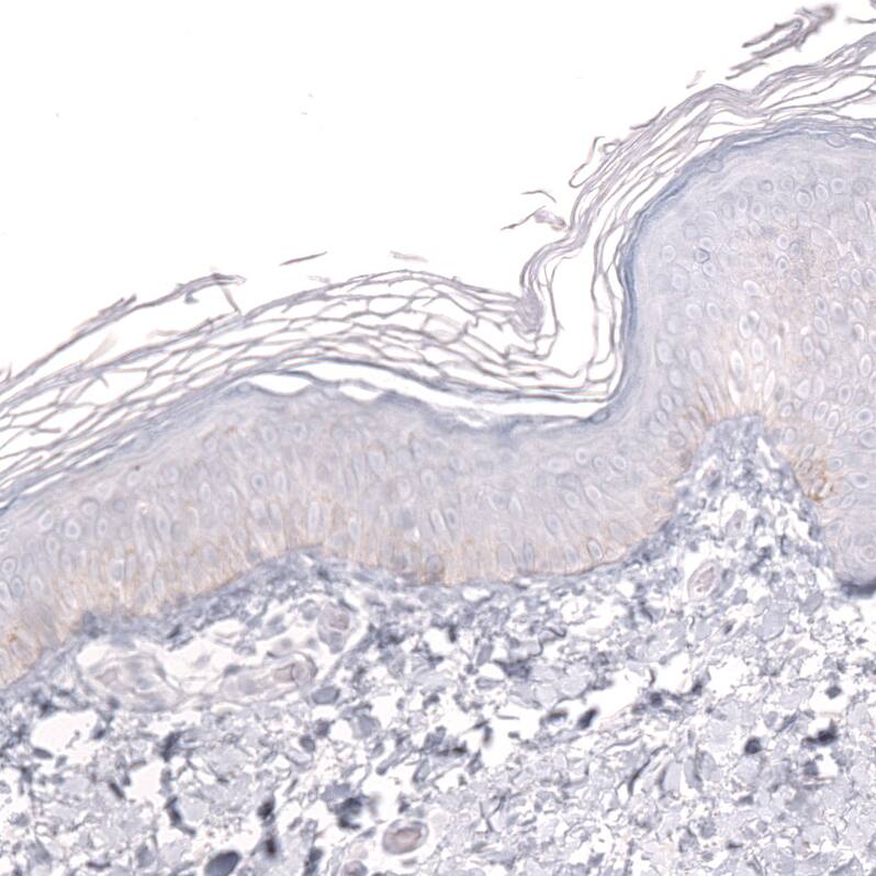
Immunohistochemistry-Paraffin: Prox1 Antibody (CL13472) [NBP3-24560]

Staining of human skin shows no positivity in squamous epithelial cells as expected.

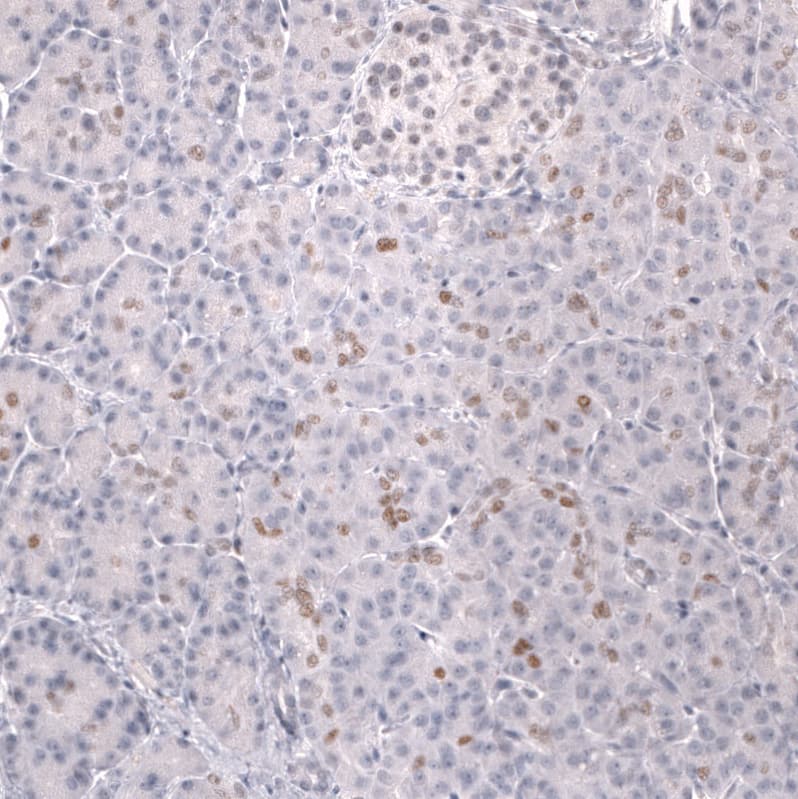
Immunohistochemistry-Paraffin: Prox1 Antibody (CL13472) [NBP3-24560]

Staining of human pancreas shows weak to moderate nuclear positivity in exocrine glandular cells.

Applications for Prox1 Antibody (CL13472) - BSA Free

Application
Recommended Usage

Immunohistochemistry

1:500 - 1:1000

Immunohistochemistry-Paraffin

1:500 - 1:1000

Western Blot

1ug/ml
Application Notes
For IHC-Paraffin, we recommend using Heat-Induced Epitope Retrieval (HIER) with a pH level of 6. This optimized retrieval method ensures the best results for your experiments.

Formulation, Preparation, and Storage

Purification

Protein A purified

Formulation

PBS (pH 7.2) and 40% Glycerol

Format

BSA Free

Preservative

0.02% Sodium Azide

Concentration

Concentrations vary lot to lot. See vial label for concentration. If unlisted please contact technical services.

Shipping

The product is shipped with polar packs. Upon receipt, store it immediately at the temperature recommended below.

Stability & Storage

Store at 4C short term. Aliquot and store at -20C long term. Avoid freeze-thaw cycles.

Background: Prox1

PROX1 may play a fundamental role in early development of CNS. May regulate gene expression and development of postmitotic undifferentiated young neurons. PROX1 antibodies are also used as a highly specific marker of lymphatic endothelial cells.

Long Name

Prospero-related Homeobox 1

Alternate Names

Homeobox prospero-like protein PROX1, prospero homeobox 1, prospero homeobox protein 1, prospero-related homeobox 1, PROX-1

Gene Symbol

PROX1

Additional Prox1 Products

Product Documents for Prox1 Antibody (CL13472) - BSA Free

Certificate of Analysis

To download a Certificate of Analysis, please enter a lot number in the search box below.

Product Specific Notices for Prox1 Antibody (CL13472) - BSA Free

This product is for research use only and is not approved for use in humans or in clinical diagnosis. Primary Antibodies are guaranteed for 1 year from date of receipt.

Loading...
Loading...
Loading...
Loading...