Skip to main content

PD-L1 Antibody - BSA Free

Novus Biologicals, part of Bio-Techne | Catalog # NBP2-15791

Novus Biologicals, part of Bio-Techne
Catalog #
Availability
Size / Price
Qty
Loading...
NBP2-15791

Key Product Details

Validated by

Knockout/Knockdown, Independent Antibodies, Biological Validation

Species Reactivity

Validated:

Human

Cited:

Human

Applications

Validated:

Immunohistochemistry, Immunohistochemistry-Paraffin, Immunohistochemistry-Frozen, Western Blot, Flow Cytometry, Immunocytochemistry/ Immunofluorescence

Cited:

Immunohistochemistry-Paraffin, Western Blot, Immunocytochemistry/ Immunofluorescence

Label

Unconjugated

Antibody Source

Polyclonal Rabbit IgG

Format

BSA Free

Concentration

Concentrations vary lot to lot. See vial label for concentration. If unlisted please contact technical services.

Product Specifications

Immunogen

Carrier-protein conjugated synthetic peptide encompassing a sequence within the C-terminus region of human PD-L1. The exact sequence is proprietary.

Localization

Isoform 1: Cell membrane; Single-pass type I membrane protein; Isoform 2: Endomembrane system

Clonality

Polyclonal

Host

Rabbit

Isotype

IgG

Theoretical MW

33 kDa.
Disclaimer note: The observed molecular weight of the protein may vary from the listed predicted molecular weight due to post translational modifications, post translation cleavages, relative charges, and other experimental factors.

Description

Novus Biologicals Rabbit PD-L1 Antibody - BSA Free (NBP2-15791) is a polyclonal antibody validated for use in IHC, WB, Flow and ICC/IF. Anti-PD-L1 Antibody: Cited in 3 publications. All Novus Biologicals antibodies are covered by our 100% guarantee.

Scientific Data Images for PD-L1 Antibody - BSA Free

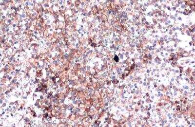
Immunohistochemistry-Paraffin: PD-L1 Antibody [NBP2-15791]

Immunohistochemistry-Paraffin: PD-L1 Antibody [NBP2-15791]

Immunohistochemistry-Paraffin: PD-L1/B7-H1 Antibody [NBP2-15791] - PD-L1 antibody detects PD-L1 protein at cell membrane in human ovarian carcinoma by immunohistochemical analysis. Antibodies: PD-L1 antibody, and competitor's antibody.
Western Blot: PD-L1 Antibody [NBP2-15791]

Western Blot: PD-L1 Antibody [NBP2-15791]

Western Blot: PD-L1/B7-H1 Antibody [NBP2-15791] - Various whole cell extracts were separated by 10% SDS-PAGE, and the membranes were blotted with PD-L1 antibody diluted at 1:600 and with DDDDK tag antibody (NBP2-43574) diluted at 1:3000 to detect DDDDK-tagged PD-L2. The HRP-conjugated anti-rabbit IgG antibody (NBP2-19301) was used to detect the primary antibody.
Western Blot: PD-L1 Antibody [NBP2-15791]

Western Blot: PD-L1 Antibody [NBP2-15791]

Western Blot: PD-L1 Antibody [NBP2-15791] - PD-L1/B7-H1 Antibody [NBP2-15791] - Non-transfected (-) and transfected (+) A431 whole cell extracts (30 ug) were separated by 10% SDS-PAGE, and the membrane was blotted with PD-L1 antibody. HRP-conjugated anti-rabbit IgG antibody (NBP2-19301) was used to detect the primary antibody.

Applications for PD-L1 Antibody - BSA Free

Application
Recommended Usage

Flow Cytometry

Assay-dependent dilution

Immunocytochemistry/ Immunofluorescence

1:100-1:1000

Immunohistochemistry-Frozen

Assay dependent

Immunohistochemistry-Paraffin

1:100-1:1000

Western Blot

1:500-1:3000

Formulation, Preparation, and Storage

Purification

Antigen Affinity-purified

Formulation

PBS, 20% Glycerol

Format

BSA Free

Preservative

0.025% Proclin 300

Concentration

Concentrations vary lot to lot. See vial label for concentration. If unlisted please contact technical services.

Shipping

The product is shipped with polar packs. Upon receipt, store it immediately at the temperature recommended below.

Stability & Storage

Aliquot and store at -20C or -80C. Avoid freeze-thaw cycles.

Background: PD-L1/B7-H1

Programmed-death ligand 1 (PD-L1), also known as CD274 and B7-H1, is a 33 kDa type I glycoprotein containing 290 amino acids (aa) belonging to the protein B7 family and serves as part of an immune checkpoint (1,2). PD-L1 contains an Ig-V and Ig-C-like extracellular domain, a transmembrane domain, and a cytoplasmic tail lacking canonical signaling motifs (2,3). PD-L1 is the ligand that binds the receptor programmed-death 1 (PD-1) which is highly expressed on active T cells (1-3). PD-L1 is typically upregulated by tumor cells and antigen presenting cells (APCs), but also expressed on T cells, B cells, macrophages, dendritic cells (DC), mast cells, and some non-immune cell types (1-3). In addition to the membrane-bound, PD-L1 is released from cells both in soluble form and bound to extracellular vesicles (4).

PD-L1 binding with receptor PD-1 results in phosphorylation of in the inhibitory tyrosine-based switch motif (ITSM) domain of PD-1, which leads to recruitment of Src homology 2 domain-containing protein tyrosine-phosphatase 2 (SHP-2) and eventual downstream phosphorylation of spleen tyrosine kinase (Syk) and phospholipid inositol-3-kinase (PI3K) (1,3). Under normal conditions, the PD-L1/PD-1 signaling axis helps maintain immune tolerance and prevent destructive immune responses by inhibiting T cell activity such as proliferation, survival, cytokine production, and cytotoxic T lymphocyte (CTL) cytotoxicity (1-3). In the tumor microenvironment (TME), however, the PD-L1/PD-1 signaling axis is hijacked to promote tumor cell survival and limit anti-tumor immune response (1,3). More precisely, tumor cells can escape killing and immune surveillance due to T cell exhaustion and apoptosis (1-3).

Given the role the PD-L1/PD-1 signaling axis plays in tumor cells' ability to evade immune surveillance, it has become a target of several immunotherapeutic agents in recent years (3,5). Antibody immunotherapies that target these inhibitory checkpoint molecules has shown great promise for cancer treatment (3,5). PD-L1 and PD-1 blocking agents have been approved for treatment in a number of cancers including melanoma, non-small cell lung cancer (NSCLC), urothelial carcinoma, and Merkel-cell carcinoma (3,5). In many cancers the expression of PD-L1 in the TME has predictive value for response to blocking agents (3). Pembrolizumab, for example, is a PD-1 inhibitor that has been approved by the FDA as a second-line therapy for treatment of metastatic NSCLC in patients whose tumors express PD-L1 with a Tumor Proportion Score (TPS) greater than 1%, but also for first-line treatment in cases where patients' tumors expression PD-L1 with a TPS greater than 50%) (5). The most promising cancer immunotherapy treatments seem to point to combination therapy with both anti-cancer drugs (e.g. Gefitibin, Metformin, Etoposide) with PD-L1/PD-1 antibody blockade inhibitors (e.g. Atezolizumab, Nivolumab) (6).

References

1. Han, Y., Liu, D., & Li, L. (2020). PD-1/PD-L1 pathway: current researches in cancer. American journal of cancer research, 10(3), 727-742.

2. Jiang, Y., Chen, M., Nie, H., & Yuan, Y. (2019). PD-1 and PD-L1 in cancer immunotherapy: clinical implications and future considerations. Human vaccines & immunotherapeutics, 15(5), 1111-1122. https://doi.org/10.1080/21645515.2019.1571892

3. Sun, C., Mezzadra, R., & Schumacher, T. N. (2018). Regulation and Function of the PD-L1 Checkpoint. Immunity, 48(3), 434-452. https://doi.org/10.1016/j.immuni.2018.03.014

4. Cha, J. H., Chan, L. C., Li, C. W., Hsu, J. L., & Hung, M. C. (2019). Mechanisms Controlling PD-L1 Expression in Cancer. Molecular cell, 76(3), 359-370. https://doi.org/10.1016/j.molcel.2019.09.030

5. Tsoukalas, N., Kiakou, M., Tsapakidis, K., Tolia, M., Aravantinou-Fatorou, E., Baxevanos, P., Kyrgias, G., & Theocharis, S. (2019). PD-1 and PD-L1 as immunotherapy targets and biomarkers in non-small cell lung cancer. Journal of B.U.ON. : official journal of the Balkan Union of Oncology, 24(3), 883-888.

6. Gou, Q., Dong, C., Xu, H., Khan, B., Jin, J., Liu, Q., Shi, J., & Hou, Y. (2020). PD-L1 degradation pathway and immunotherapy for cancer. Cell death & disease, 11(11), 955. https://doi.org/10.1038/s41419-020-03140-2

Long Name

Programmed Death Ligand 1

Alternate Names

B7-H1, B7H1, CD274, PDCD1L1, PDCD1LG1, PDL1

Gene Symbol

CD274

UniProt

Additional PD-L1/B7-H1 Products

Product Documents for PD-L1 Antibody - BSA Free

Certificate of Analysis

To download a Certificate of Analysis, please enter a lot number in the search box below.

Product Specific Notices for PD-L1 Antibody - BSA Free

This product is for research use only and is not approved for use in humans or in clinical diagnosis. Primary Antibodies are guaranteed for 1 year from date of receipt.

Loading...
Loading...
Loading...
Loading...
Loading...