Skip to main content

PD-1 Antibody (7A11B1) - BSA Free

Novus Biologicals, part of Bio-Techne | Catalog # NBP1-75518

Novus Biologicals, part of Bio-Techne

Key Product Details

Species Reactivity

Human, Mouse, Rat

Applications

Immunohistochemistry, Immunohistochemistry-Paraffin, Western Blot, ELISA, Immunocytochemistry/ Immunofluorescence

Label

Unconjugated

Antibody Source

Monoclonal Mouse IgG1 Clone # 7A11B1

Format

BSA Free

Concentration

1 mg/ml

Product Specifications

Immunogen

A ~150 amino acid recombinant protein from near the amino terminus of mouse PD-1. aa 22 - 170

Reactivity Notes

Please note that this antibody is reactive to Mouse and derived from the same host, Mouse. Mouse-On-Mouse blocking reagent may be needed for IHC and ICC experiments to reduce high background signal. You can find these reagents under catalog numbers PK-2200-NB and MP-2400-NB. Please contact Technical Support if you have any questions.

Clonality

Monoclonal

Host

Mouse

Isotype

IgG1

Description

Novus Biologicals Mouse PD-1 Antibody (7A11B1) - BSA Free (NBP1-75518) is a monoclonal antibody validated for use in IHC, WB, ELISA and ICC/IF. All Novus Biologicals antibodies are covered by our 100% guarantee.

Scientific Data Images for PD-1 Antibody (7A11B1) - BSA Free

Western Blot: PD-1 Antibody (7A11B1)BSA Free [NBP1-75518]

Western Blot: PD-1 Antibody (7A11B1)BSA Free [NBP1-75518]

Western Blot: PD-1 Antibody (7A11B1) [NBP1-75518] - A-20 cell lysate with PD-1 antibody at 1 ug/mL in the (A) absence and (B) presence of blocking recombinant protein.
PD-1 Antibody (7A11B1) - BSA Free

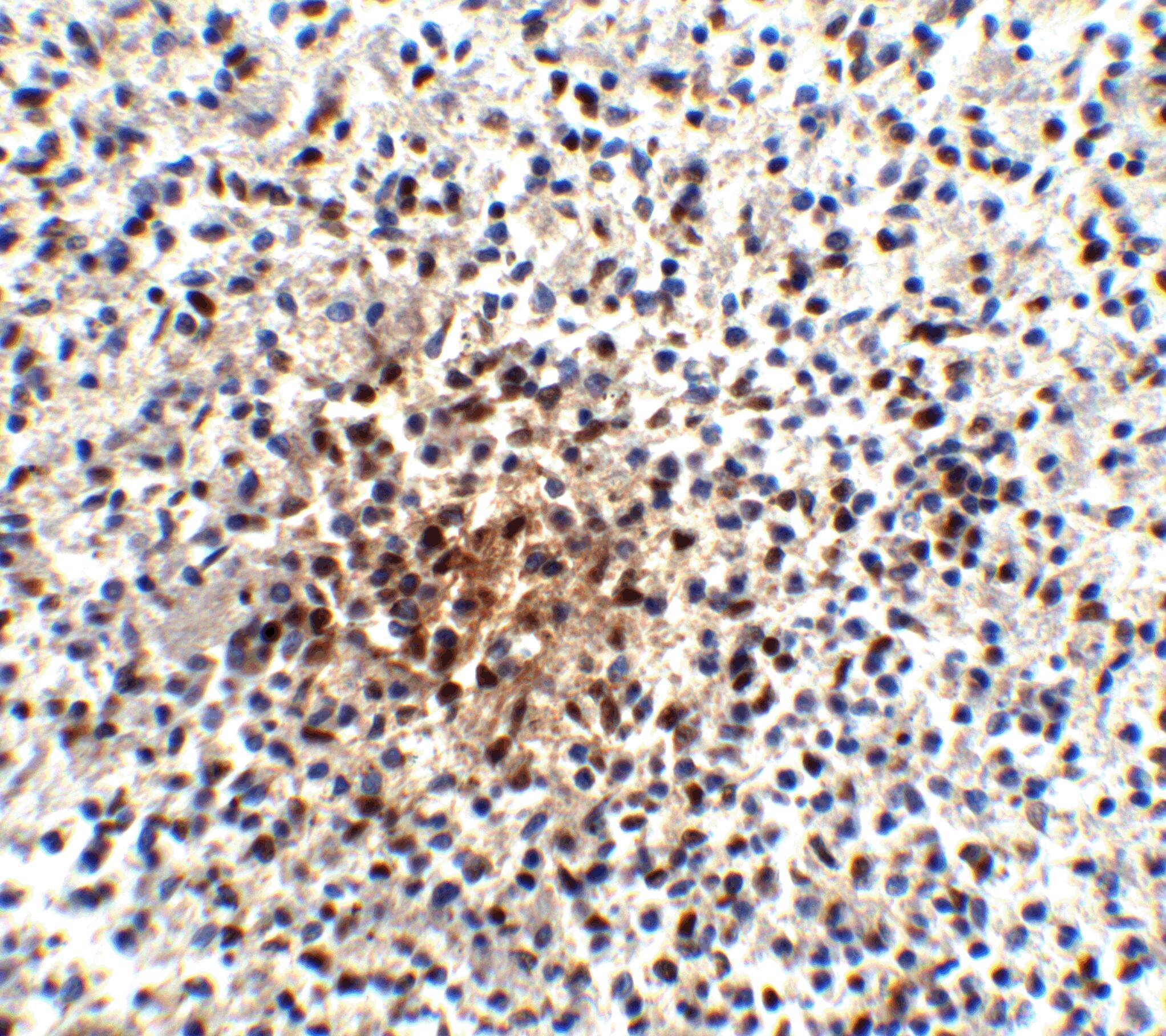
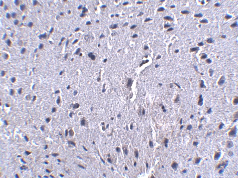
Immunohistochemistry: PD-1 Antibody (7A11B1) - BSA Free [NBP1-75518] -

Immunohistochemistry: PD-1 Antibody (7A11B1) - BSA Free [NBP1-75518] - Immunohistochemistry of PD-1 in mouse brain tissue with PD-1 antibody at 2.5 u/mL.
PD-1 Antibody (7A11B1) - BSA Free

Immunocytochemistry/ Immunofluorescence: PD-1 Antibody (7A11B1) - BSA Free [NBP1-75518] -

Immunocytochemistry/ Immunofluorescence: PD-1 Antibody (7A11B1) - BSA Free [NBP1-75518] - Immunofluorescence of PD-1 in human spleen tissue with PD-1 antibody at 20 u/ml.

Green: PD-1 Antibody [7A11B1]
Blue: DAPI staining

Applications for PD-1 Antibody (7A11B1) - BSA Free

Application
Recommended Usage

ELISA

1:100-1:2000

Immunocytochemistry/ Immunofluorescence

20 ug/mL

Immunohistochemistry

2.5 ug/ml

Immunohistochemistry-Paraffin

2.5 ug/ml

Western Blot

1 ug/ml

Formulation, Preparation, and Storage

Purification

Protein A purified

Formulation

PBS

Format

BSA Free

Preservative

0.02% Sodium Azide

Concentration

1 mg/ml

Shipping

The product is shipped with polar packs. Upon receipt, store it immediately at the temperature recommended below.

Stability & Storage

Store at 4C.

Background: PD-1

Cell-mediated immune responses are initiated by T lymphocytes that are themselves stimulated by cognate peptides bound to MHC molecules on antig en-presenting cells (APC). T-cell activation is generally self-limited as activated T cells express receptors such as PD-1 (also known as PDCD-1) that mediate inhibitory signals from the APC. PD-1 can bind two different but related ligands, PDL-1 and PDL-2. Upon binding to either of these ligands, signals generated by PD-1 inhibit the activation of the immune response in the absence of "danger signals" such as LPS or other molecules associated with bacteria or other pathogens. Evidence for this is seen in PD1-null mice who exhibit hyperactivated immune systems and autoimmune diseases. Despite its predicted molecular weight, PD-1 often migrates at higher molecular weight in SDS-PAGE.

Long Name

Programmed Death-1

Alternate Names

CD279, PD1, PDCD1, SLEB2

Gene Symbol

PDCD1

Additional PD-1 Products

Product Documents for PD-1 Antibody (7A11B1) - BSA Free

Certificate of Analysis

To download a Certificate of Analysis, please enter a lot number in the search box below.

Product Specific Notices for PD-1 Antibody (7A11B1) - BSA Free

This product is for research use only and is not approved for use in humans or in clinical diagnosis. Primary Antibodies are guaranteed for 1 year from date of receipt.

Loading...
Loading...
Loading...
Loading...