Skip to main content

p38 delta/SAPK4 Antibody (2D8) - Azide and BSA Free

Novus Biologicals, part of Bio-Techne | Catalog # H00005603-M02

Novus Biologicals, part of Bio-Techne
Catalog #
Availability
Size / Price
Qty
Loading...
H00005603-M02

Key Product Details

Species Reactivity

Human

Applications

Immunohistochemistry, Immunohistochemistry-Paraffin, Western Blot, ELISA, Sandwich ELISA, Immunocytochemistry/ Immunofluorescence

Label

Unconjugated

Antibody Source

Monoclonal Mouse IgG2b Kappa Clone # 2D8

Format

Azide and BSA Free

Concentration

Concentrations vary lot to lot. See vial label for concentration. If unlisted please contact technical services.

Product Specifications

Immunogen

MAPK13 (AAH00433, 251 a.a. ~ 365 a.a) partial recombinant protein with GST tag. MW of the GST tag alone is 26 KDa. NDKAAKSYIQSLPQTPRKDFTQLFPRASPQAADLLEKMLELDVDRRLTAAQALTHPFFEPFRDPEEETEAQQPFDDSLEHEKLTVDEWKQHIYKEIVNFSPIARKDSRRRSGMKL

Specificity

MAPK13 - mitogen-activated protein kinase 13

Clonality

Monoclonal

Host

Mouse

Isotype

IgG2b Kappa

Description

Quality control test: Antibody Reactive Against Recombinant Protein.

Scientific Data Images for p38 delta/SAPK4 Antibody (2D8) - Azide and BSA Free

Western Blot: p38 delta/SAPK4 Antibody (2D8) [H00005603-M02]

Western Blot: p38 delta/SAPK4 Antibody (2D8) [H00005603-M02]

Western Blot: p38 delta/SAPK4 Antibody (2D8) [H00005603-M02] - Analysis of MAPK13 expression in transfected 293T cell line by MAPK13 monoclonal antibody (M02), clone 2D8.Lane 1: MAPK13 transfected lysate(42.1 KDa).Lane 2: Non-transfected lysate.
Immunocytochemistry/ Immunofluorescence: p38 delta/SAPK4 Antibody (2D8) [H00005603-M02]

Immunocytochemistry/ Immunofluorescence: p38 delta/SAPK4 Antibody (2D8) [H00005603-M02]

Immunocytochemistry/Immunofluorescence: p38 delta/SAPK4 Antibody (2D8) [H00005603-M02] - Analysis of monoclonal antibody to MAPK13 on MCF-7 cell . Antibody concentration 10 ug/ml.
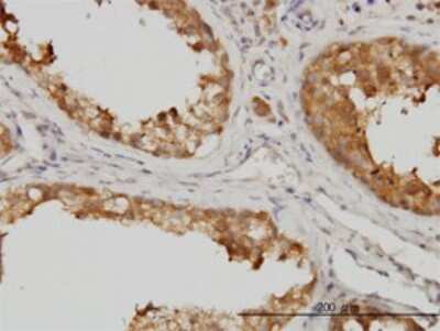
Immunohistochemistry-Paraffin: p38 delta/SAPK4 Antibody (2D8) [H00005603-M02]

Immunohistochemistry-Paraffin: p38 delta/SAPK4 Antibody (2D8) [H00005603-M02]

Immunohistochemistry-Paraffin: p38 delta/SAPK4 Antibody (2D8) [H00005603-M02] - Analysis of monoclonal antibody to MAPK13 on formalin-fixed paraffin-embedded human testis. Antibody concentration 1 ug/ml.

Applications for p38 delta/SAPK4 Antibody (2D8) - Azide and BSA Free

Application
Recommended Usage

Western Blot

1:500
Application Notes
Antibody reactivity against cell lysate and recombinant protein for WB. It has also been used for IF, IHC-P and ELISA.

Formulation, Preparation, and Storage

Purification

IgG purified

Formulation

In 1x PBS, pH 7.4

Format

Azide and BSA Free

Preservative

No Preservative

Concentration

Concentrations vary lot to lot. See vial label for concentration. If unlisted please contact technical services.

Shipping

The product is shipped with polar packs. Upon receipt, store it immediately at the temperature recommended below.

Stability & Storage

Aliquot and store at -20C or -80C. Avoid freeze-thaw cycles.

Background: p38 delta

The protein encoded by this gene is a member of the MAP kinase family. MAP kinases act as an integration point for multiple biochemical signals, and are involved in a wide variety of cellular processes such as proliferation, differentiation, transcription regulation and development. This kinase is closely related to p38 MAP kinase, both of which can be activated by proinflammatory cytokines and cellular stress. MAP kinase kinases 3, and 6 can phosphorylate and activate this kinase. Transcription factor ATF2, and microtubule dynamics regulator stathmin have been shown to be the substrates of this kinase.

Alternate Names

MAPK13

Entrez Gene IDs

5603 (Human)

Gene Symbol

MAPK13

OMIM

602899 (Human)

Additional p38 delta Products

Product Documents for p38 delta/SAPK4 Antibody (2D8) - Azide and BSA Free

Certificate of Analysis

To download a Certificate of Analysis, please enter a lot number in the search box below.

Product Specific Notices for p38 delta/SAPK4 Antibody (2D8) - Azide and BSA Free

This product is produced by and distributed for Abnova, a company based in Taiwan.

This product is for research use only and is not approved for use in humans or in clinical diagnosis. Primary Antibodies are guaranteed for 1 year from date of receipt.

Loading...
Loading...
Loading...
Loading...