Skip to main content

Key Product Details

Validated by

Biological Validation

Species Reactivity

Mouse

Applications

CyTOF-ready, Flow Cytometry, Immunohistochemistry

Label

Unconjugated

Antibody Source

Polyclonal Sheep IgG

Product Specifications

Immunogen

Mouse myeloma cell line NS0-derived recombinant mouse TIGIT
Gly26-Thr143
Accession # NP_001139797

Specificity

Detects mouse TIGIT in direct ELISAs. In direct ELISAs, less than 5% cross-reactivity with recombinant human TIGIT is observed.

Clonality

Polyclonal

Host

Sheep

Isotype

IgG

Scientific Data Images for Mouse TIGIT Antibody

Detection of TIGIT antibody in Mouse Splenocytes antibody by Flow Cytometry.

Detection of TIGIT in Mouse Splenocytes by Flow Cytometry.

Mouse splenocytes treated with 50 ng/mL PMA and 500 ng/mL Calcium ionomycin for 24 hours were stained with Sheep Anti-Mouse TIGIT Antigen Affinity-purified Polyclonal Antibody (Catalog # AF7267) followed by Allophycocyanin-conjugated Anti-Sheep IgG Secondary Antibody (Catalog # F0127) and Rat Anti-Mouse CD4 PE-conjugated Monoclonal Antibody (Catalog # FAB554P). Quadrant markers were set based on control antibody staining (Catalog # 5-001-A).

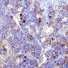
TIGIT in Mouse Spleen.

TIGIT was detected in immersion fixed paraffin-embedded sections of mouse spleen using Sheep Anti-Mouse TIGIT Antigen Affinity-purified Polyclonal Antibody (Catalog # AF7267) at 3 µg/mL for 1 hour at room temperature followed by incubation with the Anti-Sheep IgG VisUCyte™ HRP Polymer Antibody (VC006). Before incubation with the primary antibody, tissue was subjected to heat-induced epitope retrieval using Antigen Retrieval Reagent-Basic (CTS013). Tissue was stained using DAB (brown) and counterstained with hematoxylin (blue). Specific staining was localized to lymphocytes. Staining was performed using our protocol for IHC Staining with VisUCyte HRP Polymer Detection Reagents.

Applications for Mouse TIGIT Antibody

Application
Recommended Usage

CyTOF-ready

Ready to be labeled using established conjugation methods. No BSA or other carrier proteins that could interfere with conjugation.

Flow Cytometry

2.5 µg/106 cells
Sample: Mouse splenocytes treated with PMA and Calcium ionomycin

Immunohistochemistry

3-15 µg/mL
Sample: Immersion fixed paraffin-embedded sections of mouse spleen

Formulation, Preparation, and Storage

Purification

Antigen Affinity-purified

Reconstitution

Sterile PBS to a final concentration of 0.2 mg/mL. For liquid material, refer to CoA for concentration.

Reconstitution Buffer Available:
Size / Price
Qty
Loading...

Formulation

Lyophilized from a 0.2 μm filtered solution in PBS with Trehalose. *Small pack size (SP) is supplied either lyophilized or as a 0.2 µm filtered solution in PBS.

Shipping

Lyophilized product is shipped at ambient temperature. Liquid small pack size (-SP) is shipped with polar packs. Upon receipt, store immediately at the temperature recommended below.

Stability & Storage

Use a manual defrost freezer and avoid repeated freeze-thaw cycles.
  • 12 months from date of receipt, -20 to -70 °C as supplied.
  • 1 month, 2 to 8 °C under sterile conditions after reconstitution.
  • 6 months, -20 to -70 °C under sterile conditions after reconstitution.

Background: TIGIT

TIGIT (T cell Immunoreceptor with Ig and ITIM domains; also Vstm3 and Vsig9) is a 30-34 kDa (in human) member of the CD28 family, Ig superfamily of molecules. It is expressed by NK cells and multiple subsets of mature T cells, and binds to PVR/CD155 and PVR2/CD112 that appear on dendritic cells (DC) and endothelium. Along with CD226, the TIGIT:CD226/DNAM1 and PVR:PVR2 pairings appear to form a network that parallels the well-characterized B7-1:B7-2 and CD28:CTLA4 system. Binding of TIGIT by DC induces DC IL-10 release and inhibits IL-12 production. Ligation of TIGIT on T cells dampens TCR-mediated activation, while NK cell TIGIT ligation blocks NK cell cytotoxicity. Mature mouse TIGIT is a type I transmembrane protein 215 amino acids (aa) in length. It contains a 116 aa extracellular region (aa 26-141) with a V-type Ig-like domain (aa 27-125), and a 79 aa cytoplasmic domain with one ITIM motif. There is one isoform variant that is quite unusual and shows an addition of nine amino acids spread over three insertion sites (SwissProt #:P86176). Mouse and human TIGIT are highly divergent, and over aa 26-143, mouse TIGIT shares only 68% aa sequence identity with human TIGIT.

Long Name

T Cell Immunoreceptor with Ig and ITIM Domains

Alternate Names

VSIG9, VSTM3, WUCAM

Entrez Gene IDs

201633 (Human); 100043314 (Mouse); 363784 (Rat); 102121588 (Cynomolgus Monkey)

Gene Symbol

TIGIT

UniProt

Additional TIGIT Products

Product Documents for Mouse TIGIT Antibody

Certificate of Analysis

To download a Certificate of Analysis, please enter a lot number in the search box below.

Note: Certificate of Analysis not available for kit components.

Product Specific Notices for Mouse TIGIT Antibody

For research use only

Loading...
Loading...
Loading...
Loading...
Loading...