Skip to main content

Key Product Details

Species Reactivity

Validated:

Mouse, Rat

Cited:

Mouse, Rat, Lizard - Gecko

Applications

Validated:

Immunohistochemistry, Western Blot, ELISA Capture (Matched Antibody Pair), Neutralization, Simple Western

Cited:

Immunohistochemistry-Paraffin, Immunohistochemistry-Frozen, Neutralization, Immunofluorescence, Immunocytochemistry, Bioassay

Label

Unconjugated

Antibody Source

Polyclonal Goat IgG

Product Specifications

Immunogen

E. coli-derived recombinant mouse Prolactin
Leu32-Cys228
Accession # NP_035294

Specificity

Detects mouse and rat Prolactin in Western blots. In sandwich immunoassays, less than 1% cross-reactivity with recombinant human Prolactin is observed.

Clonality

Polyclonal

Host

Goat

Isotype

IgG

Endotoxin Level

<0.10 EU per 1 μg of the antibody by the LAL method.

Scientific Data Images for Mouse/Rat Prolactin Antibody

Detection of Mouse and Rat Prolactin antibody by Western Blot.

Detection of Mouse and Rat Prolactin by Western Blot.

Western blot shows lysates of mouse pituitary tissue and rat pituitary tissue. PVDF membrane was probed with 0.25 µg/mL of Goat Anti-Mouse/Rat Prolactin Antigen Affinity-purified Polyclonal Antibody (Catalog # AF1445) followed by HRP-conjugated Anti-Goat IgG Secondary Antibody (HAF017). A specific band was detected for Prolactin at approximately 23 kDa (as indicated). This experiment was conducted under reducing conditions and using Immunoblot Buffer Group 1.
Cell Proliferation Induced by Prolactin and Neutralization by Mouse Prolactin Antibody.

Cell Proliferation Induced by Prolactin and Neutralization by Mouse Prolactin Antibody.

Recombinant Mouse Prolactin (1445-PL) stimulates proliferation in the Nb2-11 rat lymphoma cell line in a dose-dependent manner (orange line). Proliferation elicited by Recombinant Mouse Prolactin (10 ng/mL) is neutralized (green line) by increasing concentrations of Goat Anti-Mouse/Rat Prolactin Antigen Affinity-purified Polyclonal Antibody (Catalog # AF1445). The ND50 is typically 0.25-1.0 µg/mL.

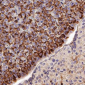
Detection of Prolactin in Mouse Pituitary.

Prolactin was detected in immersion fixed paraffin-embedded sections of Mouse Pituitary using Goat Anti-Mouse/Rat Prolactin Antigen Affinity-purified Polyclonal Antibody (Catalog # AF1445) at 1 µg/mL overnight at 4 °C. Tissue was stained using the Anti-Goat IgG VisUCyte™ HRP Polymer Antibody (brown; Catalog # VC004) and counterstained with hematoxylin (blue). Specific staining was localized to cytoplasm in lactotroph cells. View our protocol for IHC Staining with VisUCyte HRP Polymer Detection Reagents.

Applications for Mouse/Rat Prolactin Antibody

Application
Recommended Usage

Immunohistochemistry

1-15 µg/mL
Sample: Immersion fixed paraffin-embedded sections of Mouse Pituitary

Simple Western

2.5 µg/mL
Sample: Mouse pituitary tissue and rat pituitary tissue

Western Blot

0.25 µg/mL
Sample:   Mouse pituitary tissue and rat pituitary tissue

Neutralization

Measured by its ability to neutralize Prolactin-induced proliferation in the Nb2-11 rat lymphoma cell line. Gout, P. W. et al. (1980) Cancer Research 40:2433. The Neutralization Dose (ND50) is typically 0.25-1.0 µg/mL in the presence of 10 ng/mL Recombinant Mouse Prolactin.

Mouse Prolactin Sandwich Immunoassay

ELISA Capture (Matched Antibody Pair)
Recommended Concentration: 0.2-0.8 µg/mL
Use in combination with these reagents:
  • Detection Reagent: Mouse Prolactin Biotinylated Antibody (Catalog # BAF1445)
  • Standard: Recombinant Mouse Prolactin Protein (Catalog # 1445-PL)
Please Note: Optimal dilutions of this antibody should be experimentally determined.

Formulation, Preparation, and Storage

Purification

Antigen Affinity-purified

Reconstitution

Reconstitute at 0.2 mg/mL in sterile PBS. For liquid material, refer to CoA for concentration.

Reconstitution Buffer Available:
Size / Price
Qty
Loading...

Formulation

Lyophilized from a 0.2 μm filtered solution in PBS with Trehalose. See Certificate of Analysis for details.
*Small pack size (-SP) is supplied either lyophilized or as a 0.2 µm filtered solution in PBS.

Shipping

Lyophilized product is shipped at ambient temperature. Liquid small pack size (-SP) is shipped with polar packs. Upon receipt, store immediately at the temperature recommended below.

Stability & Storage

Use a manual defrost freezer and avoid repeated freeze-thaw cycles.
  • 12 months from date of receipt, -20 to -70 °C as supplied.
  • 1 month, 2 to 8 °C under sterile conditions after reconstitution.
  • 6 months, -20 to -70 °C under sterile conditions after reconstitution.

Background: Prolactin

Prolactin (PRL) is a neuroendocrine pituitary hormone. Prolactin is synthesized by the anterior pituitary, placenta, brain, uterus, dermal fibroblasts, decidua, B cells, T cells, NK cells and breast cancer cells. Originally characterized as a lactogenic hormone, further studies have demonstrated broader roles in breast cancer development, regulation of reproductive function, and immunoregulation. In the immune system, Prolactin has been shown to be secreted by human PBMC and to act as a proliferative growth factor. Additionally, Prolactin treatment of human PBMC has been shown to enhance IFN-gamma production. In the breast, Prolactin-induced morphogenesis of the mammary cells is mediated through IGF-2, which in turn upregulates cyclin D1. Prolactin has several molecular forms. The predominant form is a monomer; the non-glycosylated form is 23 kDa and the glycosylated form is 25 kDa. Glycosylated Prolactin is removed from the circulation faster and has been reported to have lower biological potency. Mouse Prolactin cDNA encodes a 228 amino acid (aa) residue protein with a putative 31 aa residue signal peptide. The Prolactin receptor is a transmembrane type I glycoprotein that belongs to the cytokine hematopoietic receptor family. B cells, T cells, macrophages, NK cells, monocytes, CD34+ progenitor cells, neutrophils, mammary gland, liver, kidney, adrenals, ovaries, testis, prostrate, seminal vesicles, and hypothalamus have all been shown to express the Prolactin receptor. Three forms of the receptor, generated by differential splicing, have been identified. These isoforms differ in the length of their cytoplasmic domains. It is believed that the short cytoplasmic form is non-functional. Prolactin signal transduction involves the JAK/STAT families and Src kinase family (1‑9).

References

  1. Freeman, M. et al. (2000) Physiological Reviews 80:1523.
  2. Ben-Johnson, N. et al. (1996) Endoc. Rev. 17:639.
  3. Cesario, T. et al. (1994) Proc. Soc. Exp. Biol. Med. 205:89.
  4. Price, A.E. et al. (1995) Endoc. 136:4827.
  5. Hoffmann, T. et al. (1993) J. Endoc. Invest. 16:807.
  6. Cole, E. et al. (1991) Endoc. 129:2639.
  7. Lewis, U. et al. (1985) Endoc. 116:359.
  8. Matalk, K. (2003) Cytokine 21:187.
  9. Brisken, C. et al. (2002) Dev. Cell 3:877.

Alternate Names

PRL

Entrez Gene IDs

5617 (Human); 19109 (Mouse)

Gene Symbol

PRL

UniProt

Additional Prolactin Products

Product Documents for Mouse/Rat Prolactin Antibody

Certificate of Analysis

To download a Certificate of Analysis, please enter a lot number in the search box below.

Note: Certificate of Analysis not available for kit components.

Product Specific Notices for Mouse/Rat Prolactin Antibody

For research use only

Loading...
Loading...
Loading...
Loading...