Skip to main content

Key Product Details

Validated by

Biological Validation

Species Reactivity

Validated:

Mouse

Cited:

Human, Mouse, Rat, Canine, Transgenic Mouse

Applications

Validated:

Immunohistochemistry, Western Blot, ELISA

Cited:

Immunohistochemistry, Immunohistochemistry-Paraffin, Immunohistochemistry-Frozen, Western Blot, Immunocytochemistry, Immunoprecipitation, ELISA Development

Label

Unconjugated

Antibody Source

Polyclonal Goat IgG

Product Specifications

Immunogen

Mouse myeloma cell line NS0-derived recombinant mouse Klotho
Arg31-His550
Accession # BAA25307

Specificity

Detects mouse Klotho in direct ELISAs and Western blots.

Clonality

Polyclonal

Host

Goat

Isotype

IgG

Scientific Data Images for Mouse Klotho Antibody

Detection of Mouse Klotho antibody by Western Blot.

Detection of Mouse Klotho by Western Blot.

Western blot shows lysates of mouse kidney tissue. PVDF membrane was probed with 0.2 µg/mL of Goat Anti-Mouse Klotho Antigen Affinity-purified Polyclonal Antibody (Catalog # AF1819) followed by HRP-conjugated Anti-Goat IgG Secondary Antibody (Catalog # HAF109). A specific band was detected for Klotho at approximately 145 kDa (as indicated). This experiment was conducted under reducing conditions and using Immunoblot Buffer Group 1.
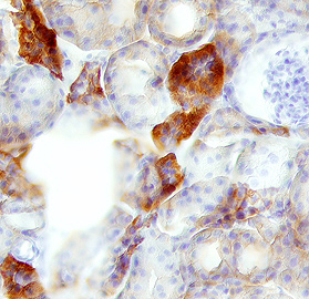
Klotho antibody in Mouse Kidney by Immunohistochemistry (IHC-Fr).

Klotho in Mouse Kidney.

Klotho was detected in perfusion fixed frozen sections of mouse kidney using 1.7 µg/mL Goat Anti-Mouse Klotho Antigen Affinity-purified Polyclonal Antibody (Catalog # AF1819) overnight at 4 °C. Tissue was stained with the Anti-Goat HRP-DAB Cell & Tissue Staining Kit (brown; Catalog # CTS008) and counterstained with hematoxylin (blue). View our protocol for Chromogenic IHC Staining of Frozen Tissue Sections.
Mouse Klotho Antibody in ELISA Standard Curve.

Mouse Klotho ELISA Standard Curve.

Recombinant Mouse Klotho protein was serially diluted 2-fold and captured by Rat Anti-Mouse Klotho Monoclonal Antibody (Catalog # MAB1819) coated on a Clear Polystyrene Microplate (Catalog # DY990). Goat Anti-Mouse Klotho Antigen Affinity-purified Polyclonal Antibody (Catalog # AF1819) was biotinylated and incubated with the protein captured on the plate. Detection of the standard curve was achieved by incubating Streptavidin-HRP (Catalog # DY998) followed by Substrate Solution (Catalog # DY999) and stopping the enzymatic reaction with Stop Solution (Catalog # DY994).

Applications for Mouse Klotho Antibody

Application
Recommended Usage

ELISA

This antibody functions as an ELISA detection antibody when paired with Rat Anti-Mouse Klotho Monoclonal Antibody (Catalog # MAB1819).

This product is intended for assay development on various assay platforms requiring antibody pairs.

Immunohistochemistry

2-15 µg/mL
Sample: Perfusion fixed frozen sections of mouse kidney

Western Blot

0.2 µg/mL
Sample: Mouse Kidney Tissue

Reviewed Applications

Read 3 reviews rated 4 using AF1819 in the following applications:

Formulation, Preparation, and Storage

Purification

Antigen Affinity-purified

Reconstitution

Reconstitute at 0.2 mg/mL in sterile PBS. For liquid material, refer to CoA for concentration.

Reconstitution Buffer Available:
Size / Price
Qty
Loading...

Formulation

Lyophilized from a 0.2 μm filtered solution in PBS with Trehalose. *Small pack size (SP) is supplied either lyophilized or as a 0.2 µm filtered solution in PBS.

Shipping

Lyophilized product is shipped at ambient temperature. Liquid small pack size (-SP) is shipped with polar packs. Upon receipt, store immediately at the temperature recommended below.

Stability & Storage

Use a manual defrost freezer and avoid repeated freeze-thaw cycles.
  • 12 months from date of receipt, -20 to -70 °C as supplied.
  • 1 month, 2 to 8 °C under sterile conditions after reconstitution.
  • 6 months, -20 to -70 °C under sterile conditions after reconstitution.

Background: Klotho

Klotho, also called Klotho-alpha, is the founding member of the Klotho family within the glycosidase-1 superfamily. Klotho is expressed in areas concerned with calcium regulation, predominantly in the kidney distal convoluted tubules, but also in the brain choroid plexus (which produces cerebrospinal fluid) and the parathyroid. The 1014 amino acid (aa) type I transmembrane protein contains a 34 aa signal sequence, a 948 aa extracellular domain (ECD) containing two extracellular glycosidase-like domains, a 21 aa transmembrane domain and an 11 aa intracellular domain. Within the ECD, mouse Klotho shares 95%, 87%, and 87% aa identity with rat, human, and equine Klotho, respectively. Although a truncated 554 aa isoform predicts a soluble 70 kDa form, the soluble form found in plasma and cerebrospinal fluid is a 130 kDa form produced by proteolytic cleavage of the glycosylated 135 kDa full-length Klotho. A prominent intracellular 120 kDa form of Klotho is localized to endoplasmic reticulum and Golgi membranes. Klotho is named for the Greek goddess who spins the thread of life. The phenotype of Klotho-deficient mice resembles premature aging, including arteriosclerosis, osteoporosis, skin atrophy, infertility, emphysema, and premature death. Conversely, excess Klotho extends lifespan. Klotho acts as a cofactor for interaction of FGF-23 with FGF R1. This interaction negatively regulates 1 alpha-hydroxylase, the rate-limiting enzyme in the synthesis of 1,25(OH)2D3 (vitamin D). Klotho-deficient mice show severe hyperphosphatemia and ectopic calcification of soft tissues due to excess vitamin D. Both Klotho and beta‑Klotho are co-factors for FGF-19 binding. Klotho also shows glucuronidase activity which activates the renal ion channel TRPV5 to reabsorb urinary calcium. Klotho has been reported to downregulate insulin or IGF-I signaling in adipocytes, to bind and antagonize Wnt molecules, and to facilitate release of parathyroid hormone.

Alternate Names

KL

Entrez Gene IDs

9365 (Human); 16591 (Mouse)

Gene Symbol

KL

UniProt

Additional Klotho Products

Product Documents for Mouse Klotho Antibody

Certificate of Analysis

To download a Certificate of Analysis, please enter a lot number in the search box below.

Note: Certificate of Analysis not available for kit components.

Product Specific Notices for Mouse Klotho Antibody

For research use only

Loading...
Loading...
Loading...
Loading...
Loading...