Skip to main content

Key Product Details

Species Reactivity

Mouse

Applications

Immunohistochemistry, Western Blot

Label

Unconjugated

Antibody Source

Monoclonal Rat IgG2A Clone # 747307

Product Specifications

Immunogen

E. coli-derived recombinant mouse Galectin-2
Ser2-Glu130
Accession # Q9CQW5

Specificity

Detects mouse Galectin-2 in direct ELISAs and Western blots. In Western blots, approximately 5% cross-reactivity with recombinant human (rh) Galectin-2 is observed and no cross-reactivity with rhGalectin-4, -8, -10, recombinant mouse Galectin-1, -3, -7, or -9 is observed.

Clonality

Monoclonal

Host

Rat

Isotype

IgG2A

Scientific Data Images for Mouse Galectin-2 Antibody

Detection of Mouse Galectin-2 antibody by Western Blot.

Detection of Mouse Galectin‑2 by Western Blot.

Western blot shows lysates of mouse stomach tissue. PVDF membrane was probed with 0.2 µg/mL of Rat Anti-Mouse Galectin-2 Monoclonal Antibody (Catalog # MAB6667) followed by HRP-conjugated Anti-Rat IgG Secondary Antibody (Catalog # HAF005). A specific band was detected for Galectin-2 at approximately 15 kDa (as indicated). This experiment was conducted under reducing conditions and using Immunoblot Buffer Group 1.
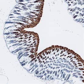
Galectin-2 antibody in Mouse Stomach by Immunohistochemistry (IHC-Fr).

Galectin‑2 in Mouse Stomach.

Galectin-2 was detected in perfusion fixed frozen sections of mouse stomach using Rat Anti-Mouse Galectin-2 Monoclonal Antibody (Catalog # MAB6667) at 25 µg/mL overnight at 4 °C. Tissue was stained using the Anti-Rat HRP-DAB Cell & Tissue Staining Kit (brown; Catalog # CTS017) and counter-stained with hematoxylin (blue). Specific staining was localized to gastric pits. View our protocol for Chromogenic IHC Staining of Frozen Tissue Sections.

Applications for Mouse Galectin-2 Antibody

Application
Recommended Usage

Immunohistochemistry

8-25 µg/mL
Sample: Perfusion fixed frozen sections of mouse stomach

Western Blot

0.2 µg/mL
Sample: Mouse stomach tissue

Formulation, Preparation, and Storage

Purification

Protein A or G purified from hybridoma culture supernatant

Reconstitution

Sterile PBS to a final concentration of 0.5 mg/mL. For liquid material, refer to CoA for concentration.

Reconstitution Buffer Available:
Size / Price
Qty
Loading...

Formulation

Lyophilized from a 0.2 μm filtered solution in PBS with Trehalose. *Small pack size (SP) is supplied either lyophilized or as a 0.2 µm filtered solution in PBS.

Shipping

Lyophilized product is shipped at ambient temperature. Liquid small pack size (-SP) is shipped with polar packs. Upon receipt, store immediately at the temperature recommended below.

Stability & Storage

Use a manual defrost freezer and avoid repeated freeze-thaw cycles.
  • 12 months from date of receipt, -20 to -70 °C as supplied.
  • 1 month, 2 to 8 °C under sterile conditions after reconstitution.
  • 6 months, -20 to -70 °C under sterile conditions after reconstitution.

Background: Galectin-2

Galectin-2 (Gal-2; also LEG2, HL14 and L-14-II) is a 14-15 kDa member of the S-type (1-CRD type) lectin family of proteins. It is a potentially secreted, noncovalent homodimer that is expressed by stomach mucosal columnar epithelium, small intestine Goblet cells and keratinocytes. Galectin-2 is reported to bind to CD29, and initiate CD8+ T cell apoptosis. Structurally, it serves to bind nonsialylated poly-NAcetyllactosamine motifs. Mouse Galectin-2 is 130 amino acids (aa) in length. There is one galectin domain (aa 4-130) that contains one dimerization interface (aa 123-128). Full-length mouse Galectin-2 shares 86% and 66% aa identity with rat and human Galectin-2, respectively.

Alternate Names

GAL2, Galectin2, LGALS2

Entrez Gene IDs

3957 (Human); 107753 (Mouse); 171134 (Rat)

Gene Symbol

LGALS2

UniProt

Additional Galectin-2 Products

Product Documents for Mouse Galectin-2 Antibody

Certificate of Analysis

To download a Certificate of Analysis, please enter a lot number in the search box below.

Note: Certificate of Analysis not available for kit components.

Product Specific Notices for Mouse Galectin-2 Antibody

For research use only

Loading...
Loading...
Loading...
Loading...