Skip to main content

Mouse CD9 Antibody

R&D Systems, part of Bio-Techne | Catalog # MAB5218

R&D Systems, part of Bio-Techne

Key Product Details

Species Reactivity

Validated:

Mouse

Cited:

Human, Mouse

Applications

Validated:

Immunohistochemistry, Flow Cytometry, CyTOF-ready

Cited:

Western Blot, Immunocytochemistry

Label

Unconjugated

Antibody Source

Monoclonal Rat IgG2A Clone # 479608

Product Specifications

Immunogen

NS0 mouse myeloma cell line transfected with mouse CD9
Pro2-Val226
Accession # P40240

Specificity

Stains mouse CD9-transfected cells but not irrelevant transfecants.

Clonality

Monoclonal

Host

Rat

Isotype

IgG2A

Scientific Data Images for Mouse CD9 Antibody

Detection of CD9 antibody in D3 Mouse Cell Line antibody by Flow Cytometry.

Detection of CD9 in D3 Mouse Cell Line by Flow Cytometry.

D3 mouse embryonic stem cell line was stained with Rat Anti-Mouse CD9 Monoclonal Antibody (Catalog # MAB5218, filled histogram) or isotype control antibody (Catalog # MAB006, open histogram) followed by anti-Rat IgG APC-conjugated antibody (Catalog # F0113). View our protocol for Staining Membrane-associated Proteins.
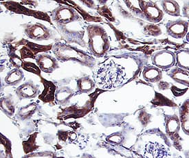
CD9 antibody in Mouse Kidney by Immunohistochemistry (IHC-P) by Immunohistochemistry (IHC-Fr).

CD9 in Mouse Kidney.

CD9 was detected in perfusion fixed frozen sections of mouse kidney using Rat Anti-Mouse CD9 Monoclonal Antibody (Catalog # MAB5218) at 25 µg/mL overnight at 4 °C. Tissue was stained using the Anti-Mouse HRP-DAB Cell & Tissue Staining Kit (brown; Catalog # CTS002) and counterstained with hematoxylin (blue). Specific staining was localized to cytoplasm in convoluted tubules. View our protocol for Chromogenic IHC Staining of Paraffin-embedded Tissue Sections.
Detection of CD9 by Western Blot

Detection of CD9 by Western Blot

Quantification of A beta-bound and GM1-containing EVs using the idICA. A Western blot analysis of A beta, ganglioside GM1, and betaIII tubulin in APP-N2a cell lysates (1 × 105 cells/lane) and EVs (1 × 107 cells/lane). B Representative fluorescent images of various concentrations of APP-N2a-derived EVs in the idICA, which is constructed from CTB capture and anti-A beta detection. Each image displays a block of well array corresponding to 10,000 microwells. Scale bar, 200 μm. C, D The ratio of fluorescent beads to trapped beads in a block of well array is plotted as the concentration of A beta captured on CTB-coated beads (CTB-BAN50) in APP-N2a-derived EVs. Plots on the semi-logarithmic (C) and linear (D) scales are shown. Data represent mean ± SD (n = 3 each). E Representative images of APP-N2a-derived EVs (2500 ng protein) in the double color idICA using anti-CD9 antibody and BAN50. Each image displays a block of well array corresponding to 10,000 microwells. Scale bar, 200 μm. F The ratio of BAN50 or CD9 fluorescent beads to trapped beads. G The overlap rate between BAN50 and CD9 fluorescent beads. Data represent mean ± SD (n = 5 each) Image collected and cropped by CiteAb from the following open publication (https://pubmed.ncbi.nlm.nih.gov/36184615), licensed under a CC-BY license. Not internally tested by R&D Systems.

Applications for Mouse CD9 Antibody

Application
Recommended Usage

CyTOF-ready

Ready to be labeled using established conjugation methods. No BSA or other carrier proteins that could interfere with conjugation.

Flow Cytometry

0.25 µg/106 cells
Sample: Mouse D3 cell line

Immunohistochemistry

8-25 µg/mL
Sample: Perfusion fixed frozen sections of mouse kidney

Formulation, Preparation, and Storage

Purification

Protein A or G purified from hybridoma culture supernatant

Reconstitution

Reconstitute at 0.5 mg/mL in sterile PBS. For liquid material, refer to CoA for concentration.

Reconstitution Buffer Available:
Size / Price
Qty
Loading...

Formulation

Lyophilized from a 0.2 μm filtered solution in PBS with Trehalose. *Small pack size (SP) is supplied either lyophilized or as a 0.2 µm filtered solution in PBS.

Shipping

Lyophilized product is shipped at ambient temperature. Liquid small pack size (-SP) is shipped with polar packs. Upon receipt, store immediately at the temperature recommended below.

Stability & Storage

Use a manual defrost freezer and avoid repeated freeze-thaw cycles.
  • 12 months from date of receipt, -20 to -70 °C as supplied.
  • 1 month, 2 to 8 °C under sterile conditions after reconstitution.
  • 6 months, -20 to -70 °C under sterile conditions after reconstitution.

Background: CD9

CD9, also known as motility-related protein-1 (MRP-1), is a 24 kDa glycoprotein of the tetraspanin family that is expressed by a variety of hematopoietic and epithelial cells. It forms homotypic and heterotypic associations with other tetraspanin proteins, some integrins and MHC class II proteins. CD9 has been shown to modulate cellular adhesion, migration and proliferation. The extracellular portions of mouse CD9 share 81% and 88% amino acid identity with corresponding regions of human and rat CD9, respectively.

Alternate Names

CD9, DRAP-27, MIC3, p24, TSPAN29

Entrez Gene IDs

928 (Human); 12527 (Mouse)

Gene Symbol

CD9

UniProt

Additional CD9 Products

Product Documents for Mouse CD9 Antibody

Certificate of Analysis

To download a Certificate of Analysis, please enter a lot number in the search box below.

Note: Certificate of Analysis not available for kit components.

Product Specific Notices for Mouse CD9 Antibody

For research use only

Loading...
Loading...
Loading...
Loading...
Loading...