Mouse CD68/SR-D1 Antibody
R&D Systems, part of Bio-Techne | Catalog # MAB101141
Recombinant Monoclonal Antibody.

Conjugate
Catalog #
Key Product Details
Species Reactivity
Validated:
Mouse
Cited:
Human, Mouse, Transgenic Mouse
Applications
Validated:
Multiplex Immunofluorescence, Immunohistochemistry, Intracellular Staining by Flow Cytometry, CyTOF-ready
Cited:
Immunohistochemistry, In Situ Hybridization, CyTOF-reported
Label
Unconjugated
Antibody Source
Recombinant Monoclonal Rabbit IgG Clone # 2449D
Product Specifications
Immunogen
Chinese Hamster Ovary cell line, CHO-derived mouse CD68
Asp21-Pro282
Accession # P31996
Asp21-Pro282
Accession # P31996
Specificity
Detects mouse CD68 in direct ELISAs.
Clonality
Monoclonal
Host
Rabbit
Isotype
IgG
Scientific Data Images for Mouse CD68/SR-D1 Antibody
Detection of CD68 in Mouse Liver via seqIF™ staining on COMET™
CD68 was detected in immersion fixed paraffin-embedded sections of mouse Liver using Rabbit Anti-Mouse CD68, Monoclonal Antibody (Catalog #MAB101141) at 5ug/mL at 37 ° Celsius for 4 minutes. Before incubation with the primary antibody, tissue underwent an all-in-one dewaxing and antigen retrieval preprocessing using PreTreatment Module (PT Module) and Dewax and HIER Buffer H (pH 9; Epredia Catalog # TA-999-DHBH). Tissue was stained using the Alexa Fluor™ Plus 555 Goat anti-Rabbit IgG Secondary Antibody at 1:100 at 37 ° Celsius for 2 minutes. (Yellow; Lunaphore Catalog # DR555RB) and counterstained with DAPI (blue; Lunaphore Catalog # DR100). Specific staining was localized to the cytoplasm of Kupffer cells. Protocol available in COMET™ Panel Builder.CD68/SR‑D1 in Mouse Liver.
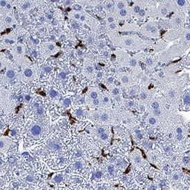
CD68/SR-D1 was detected in immersion fixed paraffin-embedded sections of mouse liver using Rabbit Anti-Mouse CD68/SR-D1 Monoclonal Antibody (Catalog # MAB101141) at 3 µg/mL for 1 hour at room temperature followed by incubation with the Anti-Rabbit IgG VisUCyte™ HRP Polymer Antibody (Catalog # VC003). Before incubation with the primary antibody, tissue was subjected to heat-induced epitope retrieval using Antigen Retrieval Reagent-Basic (Catalog # CTS013). Tissue was stained using DAB (brown) and counterstained with hematoxylin (blue). Specific staining was localized to Kupffer cells. View our protocol for IHC Staining with VisUCyte HRP Polymer Detection Reagents.Detection of CD68 in Raw264.7 Mouse Cell line by Flow Cytometry.
Raw264.7 mouse cell line was stained with Rabbit Anti-Mouse CD68 Monoclonal Antibody (Catalog # MAB101141, filled histogram) or Normal Rabbit IgG Control (Catalog # MAB1050, open histogram) followed by Phycoerythrin-conjugated Anti-Rabbit IgG Secondary Antibody (Catalog # F0110). To facilitate intracellular staining, cells were fixed with Flow Cytometry Fixation Buffer (1x) (Catalog # FC004) and permeabilized with ice-cold methanol.Applications for Mouse CD68/SR-D1 Antibody
Application
Recommended Usage
CyTOF-ready
Ready to be labeled using established conjugation methods. No BSA or other carrier proteins that could interfere with conjugation.
Immunohistochemistry
3-25 µg/mL
Sample: Immersion fixed paraffin-embedded sections of mouse liver
Sample: Immersion fixed paraffin-embedded sections of mouse liver
Intracellular Staining by Flow Cytometry
0.25 µg/106 cells
Sample: RAW264.7 mouse monocyte/macrophage cell line fixed with Flow Cytometry Fixation Buffer (Catalog # FC004) and permeabilized with ice-cold methanol
Sample: RAW264.7 mouse monocyte/macrophage cell line fixed with Flow Cytometry Fixation Buffer (Catalog # FC004) and permeabilized with ice-cold methanol
Multiplex Immunofluorescence
5 µg/mL
Sample: Immersion fixed paraffin-embedded sections of mouse liver
Sample: Immersion fixed paraffin-embedded sections of mouse liver
Reviewed Applications
Read 3 reviews rated 5 using MAB101141 in the following applications:
Formulation, Preparation, and Storage
Purification
Protein A or G purified from cell culture supernatant
Reconstitution
Reconstitute at 0.5 mg/mL in sterile PBS. For liquid material, refer to CoA for concentration.
Formulation
Lyophilized from a 0.2 μm filtered solution in PBS with Trehalose. See Certificate of Analysis for details.
*Small pack size (-SP) is supplied either lyophilized or as a 0.2 µm filtered solution in PBS.
*Small pack size (-SP) is supplied either lyophilized or as a 0.2 µm filtered solution in PBS.
Shipping
Lyophilized product is shipped at ambient temperature. Liquid small pack size (-SP) is shipped with polar packs. Upon receipt, store immediately at the temperature recommended below.
Stability & Storage
Use a manual defrost freezer and avoid repeated freeze-thaw cycles.
- 12 months from date of receipt, -20 to -70 °C as supplied.
- 1 month, 2 to 8 °C under sterile conditions after reconstitution.
- 6 months, -20 to -70 °C under sterile conditions after reconstitution.
Background: CD68/SR-D1
Alternate Names
CD68, gp110, Macrosialin, SCARD1, SR-D1, SRD1
Gene Symbol
CD68
UniProt
Additional CD68/SR-D1 Products
Product Documents for Mouse CD68/SR-D1 Antibody
Product Specific Notices for Mouse CD68/SR-D1 Antibody
For research use only
Loading...
Loading...
Loading...
Loading...
Loading...