Skip to main content

Mouse CD200R1L Antibody

R&D Systems, part of Bio-Techne | Catalog # MAB10198

Recombinant Monoclonal Antibody.
R&D Systems, part of Bio-Techne
Catalog #
Availability
Size / Price
Qty
Loading...
MAB10198-100
MAB10198-SP

Key Product Details

Species Reactivity

Mouse

Applications

Immunohistochemistry, Flow Cytometry

Label

Unconjugated

Antibody Source

Recombinant Monoclonal Rabbit IgG Clone # 2692A

Product Specifications

Immunogen

Mouse myeloma cell line NS0-derived mouse CD200R1L
Ile25-Thr220
Accession # Q6XJV6.1

Specificity

Detects mouse CD200R1L in direct ELISAs.

Clonality

Monoclonal

Host

Rabbit

Isotype

IgG

Scientific Data Images for Mouse CD200R1L Antibody

Detection of CD200R1L in HEK293 Human Cell Line Transfected with Mouse CD200R1L and eGFP by Flow Cytometry

HEK293 human embryonic kidney cell line transfected with (A) mouse CD200R1L or (B) irrelevant protein, and eGFP was stained with Rabbit Anti-Mouse CD200R1L Monoclonal Antibody (Catalog # MAB10198) followed by Allophycocyanin-conjugated Anti-Rabbit IgG Secondary Antibody (F0111). Quadrant markers were set based on control antibody staining (MAB1050). Staining was performed using our Staining Membrane-associated Proteins protocol.

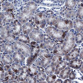
CD200R1L in Mouse Kidney.

CD200R1L was detected in immersion fixed paraffin-embedded sections of mouse kidney using Rabbit Anti-Mouse CD200R1L Monoclonal Antibody (Catalog # MAB10198) at 3 µg/mL for 1 hour at room temperature followed by incubation with the Anti-Rabbit IgG VisUCyte™ HRP Polymer Antibody (VC003). Before incubation with the primary antibody, tissue was subjected to heat-induced epitope retrieval using Antigen Retrieval Reagent-Basic (CTS013). Tissue was stained using DAB (brown) and counterstained with hematoxylin (blue). Specific staining was localized to cytoplasm in convoluted tubules. View our protocol for IHC Staining with VisUCyte HRP Polymer Detection Reagents.

Applications for Mouse CD200R1L Antibody

Application
Recommended Usage

Flow Cytometry

0.25 µg/106 cells
Sample: HEK293 human embryonic kidney cell line transfected with mouse CD200R1L and eGFP

Immunohistochemistry

3-25 µg/mL
Sample: Immersion fixed paraffin-embedded sections of mouse kidney

Formulation, Preparation, and Storage

Purification

Protein A or G purified from cell culture supernatant

Reconstitution

Reconstitute at 0.5 mg/mL in sterile PBS. For liquid material, refer to CoA for concentration.

Reconstitution Buffer Available:
Size / Price
Qty
Loading...

Formulation

Lyophilized from a 0.2 μm filtered solution in PBS with Trehalose. *Small pack size (SP) is supplied either lyophilized or as a 0.2 µm filtered solution in PBS.

Shipping

Lyophilized product is shipped at ambient temperature. Liquid small pack size (-SP) is shipped with polar packs. Upon receipt, store immediately at the temperature recommended below.

Stability & Storage

Use a manual defrost freezer and avoid repeated freeze-thaw cycles.
  • 12 months from date of receipt, -20 to -70 °C as supplied.
  • 1 month, 2 to 8 °C under sterile conditions after reconstitution.
  • 6 months, -20 to -70 °C under sterile conditions after reconstitution.

Background: CD200R1L

CD200 Receptor 2 (CD200R2), or CD200R1L, is a type I transmembrane receptor for the CD200 cell surface glycoprotein. Mature CD200R2 consists of an extracellular domain (ECD) containing an Ig-like V-type domain and an Ig-like C2-type domain, a transmembrane segment and a short cytoplasmic domain. The ECD of mouse CD200R2 shares a 76% and 63% amino acid (aa) identity with the rat and human ECD, respectively. CD200R2 is strongly expressed on resting mast cells but deceased upon activation via Fc epsilonR1. It is also observed on monocytes, bone marrow-derived dendritic cells and TH2 cells (1, 2, 4). It has been demonstrated CD200R2 can interact with CD200 (3) and signal through adaptor protein, DAP12, via its lysine residue in the transmembrane region (2). In addition, it has been reported CD200 and CD200R2 interaction alters dendritic cell differentiation and enhances induction of CD4+CD25+Foxp3+ regulatory T cells in mouse transplant model (5).

References

  1. Wright, G. et al. (2003) J. Immunol. 171:3034.
  2. Voehringer, D. (2004) J. Biol. Chem. 279(52):54117.
  3. Gorczynski, R. et al. (2004) J. Immunol. 172:7744.
  4. Minas, K. (2006) Crit Rev Immunol 26(3):213.
  5. Gorczynski, R. et al. (2008) J. Immunol. 180(9):5946.

Long Name

CD200 Receptor 1 Like

Alternate Names

CD200R2, CD200RLa

Entrez Gene IDs

344807 (Human); 271375 (Mouse); 501779 (Rat)

Gene Symbol

CD200R1L

UniProt

Additional CD200R1L Products

Product Documents for Mouse CD200R1L Antibody

Certificate of Analysis

To download a Certificate of Analysis, please enter a lot number in the search box below.

Note: Certificate of Analysis not available for kit components.

Product Specific Notices for Mouse CD200R1L Antibody

For research use only

Loading...
Loading...
Loading...
Loading...
Loading...