Skip to main content

Key Product Details

Validated by

Biological Validation

Species Reactivity

Validated:

Mouse

Cited:

Mouse, Rat, Transgenic Mouse

Applications

Validated:

Immunohistochemistry, Western Blot, ELISA Capture (Matched Antibody Pair), Neutralization, Immunocytochemistry

Cited:

Immunohistochemistry, Immunohistochemistry-Paraffin, Western Blot, Neutralization, Flow Cytometry, Immunocytochemistry, ELISA Development, ELISpot Development, In vivo assay, Luminex Development

Label

Unconjugated

Antibody Source

Polyclonal Goat IgG

Product Specifications

Immunogen

E. coli-derived recombinant mouse CCL3/MIP-1 alpha
Ala24-Ala92
Accession # Q5QNW0

Specificity

Detects mouse CCL3/MIP-1 alpha in ELISAs and Western blots. In sandwich ELISAs, less than 0.03% cross-reactivity with recombinant human (rh) CCL3, recombinant mouse (rm) CCL9/10, and rmCCL4 and less than 0.4% cross-reactivity with rhCCL7.

Clonality

Polyclonal

Host

Goat

Isotype

IgG

Endotoxin Level

<0.10 EU per 1 μg of the antibody by the LAL method.

Scientific Data Images for Mouse CCL3/MIP-1 alpha Antibody

Detection of Mouse CCL3/MIP-1a antibody by Western Blot.

Detection of Mouse CCL3/MIP‑1 alpha by Western Blot.

Western blot shows lysates of RAW 264.7 mouse monocyte/macrophage cell line untreated (-) or treated (+) with 10 µg/mL LPS for 4 hours. PVDF membrane was probed with 1 µg/mL of Goat Anti-Mouse CCL3/MIP-1a Antigen Affinity-purified Polyclonal Antibody (Catalog # AF-450-NA) followed by HRP-conjugated Anti-Goat IgG Secondary Antibody (Catalog # HAF017). A specific band was detected for CCL3/MIP-1a at approximately 12 kDa (as indicated). This experiment was conducted under reducing conditions and using Immunoblot Buffer Group 1.
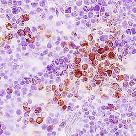
CCL3/MIP-1a antibody in Mouse Thymus by Immunohistochemistry (IHC-Fr).

CCL3/MIP‑1 alpha in Mouse Thymus.

CCL3/MIP-1a was detected in perfusion fixed frozen sections of mouse thymus using Goat Anti-Mouse CCL3/MIP-1a Antigen Affinity-purified Polyclonal Antibody (Catalog # AF-450-NA) at 15 µg/mL overnight at 4 °C. Tissue was stained using the Anti-Goat HRP-DAB Cell & Tissue Staining Kit (brown; Catalog # CTS008) and counterstained with hematoxylin (blue). Specific staining was localized to cytoplasm. View our protocol for Chromogenic IHC Staining of Frozen Tissue Sections.
CCL3/MIP-1a antibody in RAW 264 by Immunocytochemistry (ICC).7 Mouse Cell Line by Immunocytochemistry (ICC).

CCL3/MIP‑1 alpha in RAW 264.7 Mouse Cell Line.

CCL3/MIP-1a was detected in immersion fixed RAW 264.7 mouse monocyte/macrophage cell line using Goat Anti-Mouse CCL3/MIP-1a Antigen Affinity-purified Polyclonal Antibody (Catalog # AF-450-NA) at 5 µg/mL for 3 hours at room temperature. Cells were stained using the NorthernLights™ 557-conjugated Anti-Goat IgG Secondary Antibody (red; Catalog # NL001) and counterstained with DAPI (blue). Specific staining was localized to cytoplasm. View our protocol for Fluorescent ICC Staining of Cells on Coverslips.

Applications for Mouse CCL3/MIP-1 alpha Antibody

Application
Recommended Usage

Immunocytochemistry

5-15 µg/mL
Sample: Immersion fixed RAW264.7 mouse monocyte/macrophage cell line

Immunohistochemistry

5-15 µg/mL
Sample: Perfusion fixed frozen sections of mouse small intestine (Peyer's patch) and mouse thymus

Western Blot

1 µg/mL
Sample: RAW 264.7 mouse monocyte/macrophage cell line treated with LPS

Neutralization

Measured by its ability to neutralize CCL3/MIP‑1 alpha-induced chemotaxis in the BaF3 mouse pro‑B cell line transfected with human CCR5. The Neutralization Dose (ND50) is typically 0.05-0.2 µg/mL in the presence of 10 ng/mL Recombinant Mouse CCL3/MIP‑1 alpha Isoform LD78a.

Mouse CCL3/MIP-1 alpha Sandwich Immunoassay

ELISA Capture (Matched Antibody Pair)
Recommended Concentration: 0.2-0.8 µg/mL
Use in combination with these reagents:
  • Detection Reagent: Mouse CCL3/MIP-1 alpha Biotinylated Antibody (Catalog # BAF450)
  • Standard: Recombinant Mouse CCL3/MIP-1 alpha Protein (Catalog # 450-MA)
Please Note: Optimal dilutions of this antibody should be experimentally determined.

Reviewed Applications

Read 3 reviews rated 4.3 using AF-450-NA in the following applications:

Formulation, Preparation, and Storage

Purification

Antigen Affinity-purified

Reconstitution

Reconstitute at 0.2 mg/mL in sterile PBS. For liquid material, refer to CoA for concentration.

Reconstitution Buffer Available:
Size / Price
Qty
Loading...

Formulation

Lyophilized from a 0.2 μm filtered solution in PBS with Trehalose. *Small pack size (SP) is supplied either lyophilized or as a 0.2 µm filtered solution in PBS.

Shipping

Lyophilized product is shipped at ambient temperature. Liquid small pack size (-SP) is shipped with polar packs. Upon receipt, store immediately at the temperature recommended below.

Stability & Storage

Use a manual defrost freezer and avoid repeated freeze-thaw cycles.
  • 12 months from date of receipt, -20 to -70 °C as supplied.
  • 1 month, 2 to 8 °C under sterile conditions after reconstitution.
  • 6 months, -20 to -70 °C under sterile conditions after reconstitution.

Background: CCL3/MIP-1 alpha

The macrophage inflammatory proteins 1 alpha and 1 beta, two closely related but distinct proteins, were originally co-purified from medium conditioned by a LPS-stimulated murine macrophage cell line. Mature mouse MIP-1 alpha shares approximately 77% and 70% amino acid identity with human MIP-1 alpha and mouse MIP-1 beta, respectively. MIP‑1 proteins are expressed primarily in T cells, B cells, and monocytes after antigen or mitogen stimulation. The MIP-1 proteins are members of the beta (C-C) subfamily of chemokines.

Both MIP-1 alpha and MIP-1 beta are monocyte chemoattractants in vitro. Additionally, the MIP-1 proteins have been reported to have chemoattractant and adhesive effects on lymphocytes, with MIP-1 alpha and MIP-1 beta preferentially attracting CD8+ and CD4+ T cells, respectively. MIP-1 alpha has also been shown to attract B cells as well as eosinophils. MIP-1 proteins have been reported to have multiple effects on hematopoietic precursor cells and MIP-1 alpha has been identified as a stem cell inhibitory factor that can inhibit the proliferation of hematopoietic stem cells in vitro as well as in vivo. In the same assays, MIP-1 beta was reported to be much less active. The functional receptor for MIP-1 alpha has been identified as CCR1 and CCR5.

References

  1. Menten, P. et al. (2002) Cytokine Growth Factor Rev. 13:455.

Alternate Names

G0S19-1, LD78a, MIP-1 alpha, MIP1 alpha, MIP1A, PAT 464.1, SCYA3, SIS-beta

Entrez Gene IDs

6348 (Human); 20302 (Mouse); 25542 (Rat); 448787 (Canine); 102136134 (Cynomolgus Monkey)

Gene Symbol

CCL3

UniProt

Additional CCL3/MIP-1 alpha Products

Product Documents for Mouse CCL3/MIP-1 alpha Antibody

Certificate of Analysis

To download a Certificate of Analysis, please enter a lot number in the search box below.

Note: Certificate of Analysis not available for kit components.

Product Specific Notices for Mouse CCL3/MIP-1 alpha Antibody

For research use only

Loading...
Loading...
Loading...
Loading...