Skip to main content

Key Product Details

Species Reactivity

Mouse

Applications

Immunohistochemistry, Western Blot

Label

Unconjugated

Antibody Source

Polyclonal Sheep IgG

Product Specifications

Immunogen

Chinese hamster ovary cell line CHO-derived recombinant mouse BMP-6
Ser372-His510
Accession # P20722

Specificity

Detects recombinant human and mouse BMP-6 in direct ELISAs and detects mouse BMP-6 in Western blots. In direct ELISAs, approximately 5% cross-reactivity with recombinant mouse (rm) BMP-5 and rmBMP-7 is observed.

Clonality

Polyclonal

Host

Sheep

Isotype

IgG

Scientific Data Images for Mouse BMP-6 Antibody

Detection of Mouse BMP-6 antibody by Western Blot.

Detection of Mouse BMP‑6 by Western Blot.

Western blot shows lysates of NS0 mouse myeloma cell line either mock transfected or transfected with mouse BMP-6. PVDF membrane was probed with 1 µg/mL of Sheep Anti-Mouse BMP-6 Antigen Affinity-purified Polyclonal Antibody (Catalog # AF6325) followed by HRP-conjugated Anti-Sheep IgG Secondary Antibody (Catalog # HAF016). For additional reference, Recombinant Mouse BMP-6 (Catalog # 6325-BM) (10ng/lane) was included. A specific band was detected for BMP-6 at approximately 20kDa (as indicated). This experiment was conducted under reducing conditions and using Immunoblot Buffer Group 1.
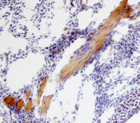
BMP-6 antibody in Mouse Embryo by Immunohistochemistry (IHC-Fr).

BMP‑6 in Mouse Embryo.

BMP-6 was detected in immersion fixed frozen sections of mouse embryo (15 d.p.c.) using Sheep Anti-Mouse BMP-6 Antigen Affinity-purified Polyclonal Antibody (Catalog # AF6325) at 15 µg/mL overnight at 4 °C. Tissue was stained using the Anti-Sheep HRP-DAB Cell & Tissue Staining Kit (brown; Catalog # CTS019) and counterstained with hematoxylin (blue). Specific staining was localized to skeletal muscle cells. View our protocol for Chromogenic IHC Staining of Frozen Tissue Sections.

Applications for Mouse BMP-6 Antibody

Application
Recommended Usage

Immunohistochemistry

5-15 µg/mL
Sample: Immersion fixed frozen sections of mouse embryo (15 d.p.c.)

Western Blot

1 µg/mL
Sample: NS0 mouse myeloma cell line transfected with mouse BMP‑6 and Recombinant Mouse BMP‑6 (Catalog # 6325-BM)

Formulation, Preparation, and Storage

Purification

Antigen Affinity-purified

Reconstitution

Sterile PBS to a final concentration of 0.2 mg/mL. For liquid material, refer to CoA for concentration.

Reconstitution Buffer Available:
Size / Price
Qty
Loading...

Formulation

Lyophilized from a 0.2 μm filtered solution in PBS with Trehalose. *Small pack size (SP) is supplied either lyophilized or as a 0.2 µm filtered solution in PBS.

Shipping

Lyophilized product is shipped at ambient temperature. Liquid small pack size (-SP) is shipped with polar packs. Upon receipt, store immediately at the temperature recommended below.

Stability & Storage

Use a manual defrost freezer and avoid repeated freeze-thaw cycles.
  • 12 months from date of receipt, -20 to -70 °C as supplied.
  • 1 month, 2 to 8 °C under sterile conditions after reconstitution.
  • 6 months, -20 to -70 °C under sterile conditions after reconstitution.

Background: BMP-6

Bone Morphogenetic Protein 6 (BMP‑6), also known as Vgr-1, is one of at least 15 structurally and functionally related BMPs which are members of the transforming growth factor  beta (TGF-beta) superfamily. Mouse BMP‑6 is synthesized as a 510 amino acid (aa) precursor protein that is cleaved at the dibasic cleavage site (RxxR) to release the 18 kDa C‑terminal mature protein. Biologically active BMP‑6 consists of a disulfide-linked homodimer of the mature proteins (1, 2). Mature mouse BMP‑6 shares 96% and 98% aa sequence identity with human and rat BMP‑6, respectively. Cellular responses to BMP‑6 are mediated by hetero-oligomeric complexes of type I (Activin RIA/ALK-2 and BMPR-IA/ALK-3) and type II (Activin RIIA and BMPR-II) serine/threonine kinase receptors (3‑5). Glycosylation of BMP‑6 is required for its interaction with Activin RIA (6). BMP‑6 induces the expression of Noggin and is subsequently antagonized by Noggin (7, 8). BMP‑6 induces a wide range of cellular responses. It promotes osteoblast differentiation from mesenchymal stem cells (5), chondrocyte maturation (9), Ang II-induced aldosterone production in the adrenal cortex (3), hormone production and responsiveness in ovarian granulosa cells (10), iNOS and TNF-alpha production in macrophages (4), the cell death of B cells (8), and neurite outgrowth (11). BMP‑6 expression is induced in astrocytes surrounding sites of brain injury where it functions as a neuroprotectant (11, 12). BMP‑6 is upregulated during prostate cancer progression and promotes tumor cell metastasis to bone (13). Through interactions with the BMP coreceptor RGM‑C/Hemojuvelin, BMP‑6 plays an important role in iron homeostasis by promoting Hepcidin expression and preventing serum iron overload (14, 15).

References

  1. Chen, D. et al. (2004) Growth Factors 22:233.
  2. Lyons, K. et al. (1989) Proc. Natl. Acad. Sci. 86:4554.
  3. Inagaki, K. et al. (2006) Endocrinology 147:2681.
  4. Hong, J.H. et al. (2008) Immunology 128:e442.
  5. Lavery, K. et al. (2008) J. Biol. Chem. 283:20948.
  6. Saremba, S. et al. (2008) FEBS J. 275:172.
  7. Haudenschild, D.R. et al. (2004) Cancer Res. 64:8276.
  8. Kersten, C. et al. (2005) BMC Immunol. 6:9.
  9. Grimsrud, C.D. et al. (1999) J. Bone Miner. Res. 14:475.
  10. Shi, J. et al. (2009) Fertil. Steril. 92:1794.
  11. Yabe, T. et al. (2002) J. Neurosci. Res. 68:161.
  12. Zhang, Z. et al. (2006) Neuroscience 138:47.
  13. Dai, J. et al. (2005) Cancer Res. 65:8274.
  14. Meynard, D. et al. (2009) Nat. Genet. 41:478.
  15. Andriopoulos, B. Jr. et al. (2009) Nat. Genet. 41:482.

Long Name

Bone Morphogenetic Protein 6

Alternate Names

BMP6, Vgr-1

Entrez Gene IDs

654 (Human); 12161 (Mouse); 25644 (Rat)

Gene Symbol

BMP6

UniProt

Additional BMP-6 Products

Product Documents for Mouse BMP-6 Antibody

Certificate of Analysis

To download a Certificate of Analysis, please enter a lot number in the search box below.

Note: Certificate of Analysis not available for kit components.

Product Specific Notices for Mouse BMP-6 Antibody

For research use only

Loading...
Loading...
Loading...
Loading...