Skip to main content

Key Product Details

Species Reactivity

Validated:

Mouse

Cited:

Mouse, Transgenic Mouse

Applications

Validated:

Immunohistochemistry

Cited:

Immunohistochemistry, Western Blot, Immunocytochemistry

Label

Unconjugated

Antibody Source

Monoclonal Rat IgG2A Clone # 111114

Product Specifications

Immunogen

Mouse myeloma cell line NS0-derived recombinant mouse B7-1/CD80
Val38-Asn246
Accession # Q00609

Specificity

Detects mouse B7-1/CD80 in direct ELISAs and Western blots. No cross-reactivity with recombinant mouse (rm) rmB7-2, rmB7-H2 and recombinant human (rh) B7-H1.

Clonality

Monoclonal

Host

Rat

Isotype

IgG2A

Scientific Data Images for Mouse B7-1/CD80 Antibody

B7-1/CD80 antibody in Mouse Colon Tissue by Immunohistochemistry (IHC-P).

B7-1/CD80 in Mouse Colon Tissue.

B7-1/CD80 was detected in immersion fixed paraffin-embedded sections of mouse colon tissue using Rat Anti-Mouse B7-1/CD80 Monoclonal Antibody (Catalog # MAB740) at 5 µg/mL for 1 hour at room temperature followed by incubation with the Anti-Rat IgG VisUCyte™ HRP Polymer Antibody (VC005). Before incubation with the primary antibody, tissue was subjected to heat-induced epitope retrieval using Antigen Retrieval Reagent-Basic (CTS013). Tissue was stained using DAB (brown) and counterstained with hematoxylin (blue). Specific staining was localized to epithelial cells. View our protocol for IHC Staining with VisUCyte HRP Polymer Detection Reagents.
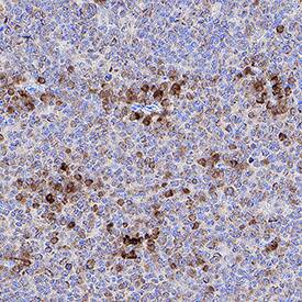
B7-1/CD80 antibody in Human Tonsil by Immunohistochemistry (IHC-P).

B7‑1/CD80 in Human Tonsil.

B7-1/CD80 was detected in immersion fixed paraffin-embedded sections of human tonsil using Rat Anti-Mouse B7-1/CD80 Monoclonal Antibody (Catalog # MAB740) at 5 µg/mL overnight at 4 °C. Tissue was stained using the Anti-Rat HRP-DAB Cell & Tissue Staining Kit (brown; CTS017) and counterstained with hematoxylin (blue). Specific staining was localized to lymphocyte cytoplasm. View our protocol for Chromogenic IHC Staining of Paraffin-embedded Tissue Sections.

Applications for Mouse B7-1/CD80 Antibody

Application
Recommended Usage

Immunohistochemistry

5-25 µg/mL
Sample: Immersion fixed paraffin-embedded sections of human tonsil and mouse colon tissue

Reviewed Applications

Read 1 review rated 5 using MAB740 in the following applications:

Formulation, Preparation, and Storage

Purification

Protein A or G purified from hybridoma culture supernatant

Reconstitution

Reconstitute at 0.5 mg/mL in sterile PBS. For liquid material, refer to CoA for concentration.

Reconstitution Buffer Available:
Size / Price
Qty
Loading...

Formulation

Lyophilized from a 0.2 μm filtered solution in PBS with Trehalose. *Small pack size (SP) is supplied either lyophilized or as a 0.2 µm filtered solution in PBS.

Shipping

Lyophilized product is shipped at ambient temperature. Liquid small pack size (-SP) is shipped with polar packs. Upon receipt, store immediately at the temperature recommended below.

Stability & Storage

Use a manual defrost freezer and avoid repeated freeze-thaw cycles.
  • 12 months from date of receipt, -20 to -70 °C as supplied.
  • 1 month, 2 to 8 °C under sterile conditions after reconstitution.
  • 6 months, -20 to -70 °C under sterile conditions after reconstitution.

Background: B7-1/CD80

B7-1 and B7-2, together with their receptors CD28 and CTLA-4, constitute one of the dominant costimulatory pathways that regulate T and B cell responses. Although both CTLA-4 and CD28 can bind to the same ligands, CTLA-4 binds to B7-1 and B7-2 with a 20-100 fold higher affinity than CD28 and is involved in the down-regulation of the immune response. B7-1 is expressed on activated B cells, activated T cells, and macrophages. B7-2 is constitutively expressed on interdigitating dendritic cells, Langerhans cells, peripheral blood dendritic cells, memory B cells, and germinal center B cells. Additionally, B7-2 is expressed at low levels on monocytes and can be up-regulated through interferon gamma. B7-1 and B7-2 are both members of the immunoglobulin superfamily. Mouse B7-1 is a 306 amino acid (aa) protein containing a putative 37 aa signal peptide, a 190 aa extracellular domain, a 22 aa transmembrane domain, and a 38 aa cytoplasmic domain. Mouse B7-1 and B7-2 share 28% amino acid identity. Mouse and human B7-1 share 44% amino acid identity. However, it has been observed that both human and mouse B7-1 and B7-2 can bind to either human or mouse CD28 and CTLA-4, suggesting that there are conserved amino acids which form the B7-1/B7-2/CD28/CTLA-4 critical binding sites.

References

  1. Azuma, M. et al. (1993) Nature 366:76.
  2. Freeman, G.J. et al. (1993) Science 262:909.
  3. Freeman, G. et al. (1991) J. Exp. Med. 174:625.
  4. Selvakumar, A. et al. (1993) Immunogenetics 38:292.
  5. Chen, C. et al. (1994) J. Immunol. 152:4929.
  6. Freeman, G.J. et al. (1993) J. Exp. Med. 178:2185.

Alternate Names

B71, CD80

Entrez Gene IDs

941 (Human); 12519 (Mouse); 25408 (Rat); 102140078 (Cynomolgus Monkey)

Gene Symbol

CD80

UniProt

Additional B7-1/CD80 Products

Product Documents for Mouse B7-1/CD80 Antibody

Certificate of Analysis

To download a Certificate of Analysis, please enter a lot number in the search box below.

Note: Certificate of Analysis not available for kit components.

Product Specific Notices for Mouse B7-1/CD80 Antibody

For research use only

Loading...
Loading...
Loading...
Loading...