Skip to main content

LANCL2 Antibody (OTI2A11)

Novus Biologicals, part of Bio-Techne | Catalog # NBP2-03893

Novus Biologicals, part of Bio-Techne
Catalog #
Availability
Size / Price
Qty
Loading...
NBP2-03893

Key Product Details

Species Reactivity

Human, Mouse, Rat

Applications

Immunohistochemistry, Immunohistochemistry-Paraffin, Western Blot, Flow Cytometry

Label

Unconjugated

Antibody Source

Monoclonal Mouse IgG1 Clone # OTI2A11

Concentration

1 mg/ml

Product Specifications

Immunogen

Human recombinant protein fragment corresponding to amino acids 212-450 of human LANCL2 (NP_061167) produced in E.coli.

Reactivity Notes

Please note that this antibody is reactive to Mouse and derived from the same host, Mouse. Mouse-On-Mouse blocking reagent may be needed for IHC and ICC experiments to reduce high background signal. You can find these reagents under catalog numbers PK-2200-NB and MP-2400-NB. Please contact Technical Support if you have any questions.

Clonality

Monoclonal

Host

Mouse

Isotype

IgG1

Theoretical MW

50.7 kDa.
Disclaimer note: The observed molecular weight of the protein may vary from the listed predicted molecular weight due to post translational modifications, post translation cleavages, relative charges, and other experimental factors.

Description

Novus Biologicals Mouse LANCL2 Antibody (OTI2A11) (NBP2-03893) is a monoclonal antibody validated for use in IHC, WB and Flow. All Novus Biologicals antibodies are covered by our 100% guarantee.

Scientific Data Images for LANCL2 Antibody (OTI2A11)

Western Blot: LANCL2 Antibody (OTI2A11) [NBP2-03893]

Western Blot: LANCL2 Antibody (OTI2A11) [NBP2-03893]

Western Blot: LANCL2 Antibody (2A11) [NBP2-03893] - HEK293T cells were transfected with the pCMV6-ENTRY control (Left lane) or pCMV6-ENTRY LANCL2 (Right lane) cDNA for 48 hrs and lysed. Equivalent amounts of cell lysates (5 ug per lane) were separated by SDS-PAGE and immunoblotted with anti-LANCL2.
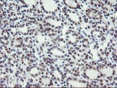
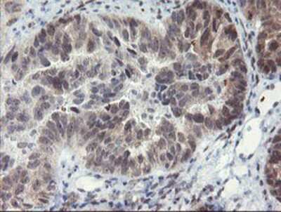
Immunohistochemistry-Paraffin: LANCL2 Antibody (2A11) [NBP2-03893] Staining of paraffin-embedded Carcinoma of Human thyroid tissue using anti-LANCL2 mouse monoclonal antibody.
Flow Cytometry: LANCL2 Antibody (OTI2A11) [NBP2-03893]

Flow Cytometry: LANCL2 Antibody (OTI2A11) [NBP2-03893]

Flow Cytometry: LANCL2 Antibody (2A11) [NBP2-03893] - HEK293T cells transfected with either overexpression plasmid (Red) or empty vector control plasmid (Blue) were immunostained by anti-LANCL2 antibody, and then analyzed by flow cytometry.

Applications for LANCL2 Antibody (OTI2A11)

Application
Recommended Usage

Flow Cytometry

1:100

Immunohistochemistry

1:150

Immunohistochemistry-Paraffin

1:150

Western Blot

1:1000

Formulation, Preparation, and Storage

Purification

Immunogen affinity purified

Formulation

PBS (pH 7.3), 1.0% BSA and 50% Glycerol

Preservative

0.02% Sodium Azide

Concentration

1 mg/ml

Shipping

The product is shipped with polar packs. Upon receipt, store it immediately at the temperature recommended below.

Stability & Storage

Store at -20C. Avoid freeze-thaw cycles.

Background: LANCL2

Necessary for abscisic acid (ABA) binding on the cell membrane and activation of the ABA signaling pathway in granulocytes

Long Name

LanC-like protein 2

Alternate Names

GPR69B, TASP

Entrez Gene IDs

55915 (Human)

Gene Symbol

LANCL2

Additional LANCL2 Products

Product Documents for LANCL2 Antibody (OTI2A11)

Certificate of Analysis

To download a Certificate of Analysis, please enter a lot number in the search box below.

Product Specific Notices for LANCL2 Antibody (OTI2A11)

This product is for research use only and is not approved for use in humans or in clinical diagnosis. Primary Antibodies are guaranteed for 1 year from date of receipt.

Loading...
Loading...
Loading...
Loading...
Loading...