Skip to main content

LANCL2 Antibody (OTI2A11) - Azide and BSA Free

Novus Biologicals, part of Bio-Techne | Catalog # NBP2-72053

Novus Biologicals, part of Bio-Techne
Catalog #
Availability
Size / Price
Qty
Loading...
NBP2-72053

Key Product Details

Species Reactivity

Human, Mouse, Rat

Applications

Immunohistochemistry, Immunohistochemistry-Paraffin, Western Blot, Flow Cytometry, CyTOF-ready

Label

Unconjugated

Antibody Source

Monoclonal Mouse IgG1 Clone # OTI2A11

Format

Azide and BSA Free

Concentration

LYOPH mg/ml

Product Specifications

Immunogen

Human recombinant protein fragment corresponding to amino acids 212-450 of human LANCL2 (NP_061167) produced in E.coli.

Reactivity Notes

Please note that this antibody is reactive to Mouse and derived from the same host, Mouse. Mouse-On-Mouse blocking reagent may be needed for IHC and ICC experiments to reduce high background signal. You can find these reagents under catalog numbers PK-2200-NB and MP-2400-NB. Please contact Technical Support if you have any questions.

Clonality

Monoclonal

Host

Mouse

Isotype

IgG1

Theoretical MW

50.7 kDa.
Disclaimer note: The observed molecular weight of the protein may vary from the listed predicted molecular weight due to post translational modifications, post translation cleavages, relative charges, and other experimental factors.

Description

Novus Biologicals Mouse LANCL2 Antibody (OTI2A11) - Azide and BSA Free (NBP2-03893) is a monoclonal antibody validated for use in IHC, WB and Flow. All Novus Biologicals antibodies are covered by our 100% guarantee.

Scientific Data Images for LANCL2 Antibody (OTI2A11) - Azide and BSA Free

Western Blot: LANCL2 Antibody (OTI2A11)Azide and BSA Free [NBP2-72053]

Western Blot: LANCL2 Antibody (OTI2A11)Azide and BSA Free [NBP2-72053]

Western Blot: LANCL2 Antibody (OTI2A11) - Azide and BSA Free [NBP2-72053] - HEK293T cells were transfected with the pCMV6-ENTRY control (Left lane) or pCMV6-ENTRY LANCL2 (Right lane) cDNA for 48 hrs and lysed. Equivalent amounts of cell lysates (5 ug per lane) were separated by SDS-PAGE and immunoblotted with anti-LANCL2.
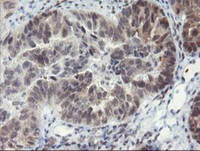
Immunohistochemistry: LANCL2 Antibody (OTI2A11) - Azide and BSA Free [NBP2-72053]

Immunohistochemistry: LANCL2 Antibody (OTI2A11) - Azide and BSA Free [NBP2-72053]

Immunohistochemistry: LANCL2 Antibody (OTI2A11) - Azide and BSA Free [NBP2-72053] - Staining of paraffin-embedded Adenocarcinoma of Human ovary tissue using anti-LANCL2 mouse monoclonal antibody.
Flow Cytometry: LANCL2 Antibody (OTI2A11) - Azide and BSA Free [NBP2-72053]

Flow Cytometry: LANCL2 Antibody (OTI2A11) - Azide and BSA Free [NBP2-72053]

Flow Cytometry: LANCL2 Antibody (OTI2A11) - Azide and BSA Free [NBP2-72053] - HEK293T cells transfected with either overexpression plasmid (Red) or empty vector control plasmid (Blue) were immunostaining by anti-LANCL2 antibody, and then analyzed by flow cytometry.

Applications for LANCL2 Antibody (OTI2A11) - Azide and BSA Free

Application
Recommended Usage

Flow Cytometry

1:100

Immunohistochemistry

1:150

Western Blot

1:1000

Formulation, Preparation, and Storage

Purification

Immunogen affinity purified

Reconstitution

we recommend adding 100uL distilled water to a final antibody concentration of about 1 mg/mL. To use this carrier-free antibody for conjugation experiment, we strongly recommend performing another round of desalting process.

Formulation

Lyophilized from PBS (pH 7.3) with 8% Trehalose

Format

Azide and BSA Free

Preservative

No Preservative

Concentration

LYOPH mg/ml

Shipping

The product is shipped with polar packs. Upon receipt, store it immediately at the temperature recommended below.

Stability & Storage

Store at -20C. Avoid freeze-thaw cycles.

Background: LANCL2

Necessary for abscisic acid (ABA) binding on the cell membrane and activation of the ABA signaling pathway in granulocytes

Long Name

LanC-like protein 2

Alternate Names

GPR69B, TASP

Gene Symbol

LANCL2

Additional LANCL2 Products

Product Documents for LANCL2 Antibody (OTI2A11) - Azide and BSA Free

Certificate of Analysis

To download a Certificate of Analysis, please enter a lot number in the search box below.

Product Specific Notices for LANCL2 Antibody (OTI2A11) - Azide and BSA Free

This product is for research use only and is not approved for use in humans or in clinical diagnosis. Primary Antibodies are guaranteed for 1 year from date of receipt.

Loading...
Loading...
Loading...
Loading...
Loading...
Loading...