IL-1 beta/IL-1F2 Antibody - BSA Free
Novus Biologicals, part of Bio-Techne | Catalog # NBP1-19775
Conjugate
Catalog #
Key Product Details
Species Reactivity
Validated:
Human, Mouse, Rat
Cited:
Human, Mouse, Rat
Applications
Validated:
Immunohistochemistry, Immunohistochemistry-Paraffin, Western Blot, Immunocytochemistry/ Immunofluorescence
Cited:
Immunohistochemistry-Paraffin, Western Blot, Immunocytochemistry/ Immunofluorescence, IF/IHC
Label
Unconjugated
Antibody Source
Polyclonal Rabbit IgG
Format
BSA Free
Concentration
1.0 mg/ml
Product Specifications
Immunogen
A synthetic peptide made to an internal sequence of human IL-1 beta [UniProt P01584].
Reactivity Notes
Rat reactivity reported in scientific literature (PMID: 26687274)
Clonality
Polyclonal
Host
Rabbit
Isotype
IgG
Scientific Data Images for IL-1 beta/IL-1F2 Antibody - BSA Free
Western Blot: IL-1 beta/IL-1F2 AntibodyBSA Free [NBP1-19775]
Western Blot: IL-1 beta/IL-1F2 Antibody [NBP1-19775] - Analysis of IL1 beta Antibody in extracts from HeLa cells.Immunohistochemistry: IL-1 beta/IL-1F2 Antibody - BSA Free [NBP1-19775]
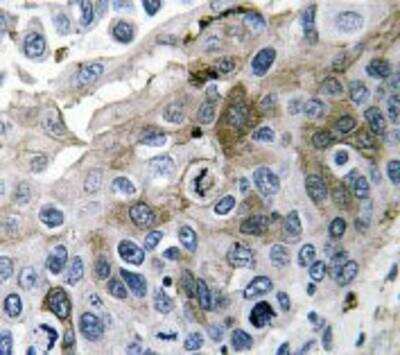
IL-1-beta-IL-1F2-Antibody---BSA-Free-Immunohistochemistry-NBP1-19775-img0006.jpgImmunohistochemistry: IL-1 beta/IL-1F2 Antibody - BSA Free [NBP1-19775]
Immunohistochemistry: IL-1 beta/IL-1F2 Antibody [NBP1-19775] - Staining in the cytoplasm of villi and in the crypt cells of human lung carcinoma tissue.Applications for IL-1 beta/IL-1F2 Antibody - BSA Free
Application
Recommended Usage
Immunocytochemistry/ Immunofluorescence
reported in scientific literature (PMID 30225853)
Immunohistochemistry
1:50 - 1:200
Immunohistochemistry-Paraffin
1:50 - 1:200
Western Blot
1:500 - 1:1000
Formulation, Preparation, and Storage
Purification
Immunogen affinity purified
Formulation
PBS
Format
BSA Free
Preservative
0.05% Sodium Azide
Concentration
1.0 mg/ml
Shipping
The product is shipped with polar packs. Upon receipt, store it immediately at the temperature recommended below.
Stability & Storage
Store at 4C short term. Aliquot and store at -20C long term. Avoid freeze-thaw cycles.
Background: IL-1 beta/IL-1F2
IL-1 beta binding to its receptor IL-1RI and the downstream signaling contributes to a dual pathophysiological role (3). On one hand, IL-1 beta signaling activates immune cells and drives CD4+ T cell polarization to T helper type 1 (Th1) and Th17 cells, resulting in anti-tumor responses and mediation of acute inflammation (2,3). However, IL-1 beta also supports tumor growth and metastasis driven by multiple mechanisms including chronic inflammation, an immunosuppressive tumor microenvironment (TME), and angiogenesis (3). Additionally, IL-1 beta signaling been implicated in the pathogenesis of neuroinflammatory diseases of the central nervous system (CNS) such as multiple sclerosis (MS), Alzheimer's disease, and diabetic retinopathy (DR) (2). Mouse studies have shown regression of tumors treated with IL-1 as well as protective effects of IL-1 beta in instances of induced colitis and colon carcinoma (3). Conversely, blocking IL-1 beta has also shown promising effect in cancer treatment, especially when combined with chemotherapeutics (2,3). Approved IL-1 beta monoclonal antibody canakinumab has shown significant therapeutic promise in the treatment of DR (2). Given its multifaceted role in disease, IL-1 beta is a promising therapeutic target.
References
1. Lopez-Castejon G, Brough D. Understanding the mechanism of IL-1beta secretion. Cytokine Growth Factor Rev. 2011;22(4):189-195. https://doi.org/10.1016/j.cytogfr.2011.10.001
2. Mendiola AS, Cardona AE. The IL-1beta phenomena in neuroinflammatory diseases. J Neural Transm (Vienna). 2018;125(5):781-795. https://doi.org/10.1007/s00702-017-1732-9
3. Bent R, Moll L, Grabbe S, Bros M. Interleukin-1 Beta-A Friend or Foe in Malignancies?. Int J Mol Sci. 2018;19(8):2155. https://doi.org/doi:10.3390/ijms19082155
4. Krumm B, Xiang Y, Deng J. Structural biology of the IL-1 superfamily: key cytokines in the regulation of immune and inflammatory responses. Protein Sci. 2014;23(5):526-538. https://doi.org/10.1002/pro.2441
5. He Y, Hara H, Nunez G. Mechanism and Regulation of NLRP3 Inflammasome Activation. Trends Biochem Sci. 2016;41(12):1012-1021. https://doi.org/10.1016/j.tibs.2016.09.002
6. Uniprot (P01584)
Long Name
Interleukin 1 beta
Alternate Names
IL-1b, IL-1F2, IL1 beta, IL1B
Gene Symbol
IL1B
UniProt
Additional IL-1 beta/IL-1F2 Products
Product Documents for IL-1 beta/IL-1F2 Antibody - BSA Free
Product Specific Notices for IL-1 beta/IL-1F2 Antibody - BSA Free
This product is for research use only and is not approved for use in humans or in clinical diagnosis. Primary Antibodies are guaranteed for 1 year from date of receipt.
Loading...
Loading...
Loading...
Loading...
Loading...