Human ZEB2/SIP1 Antibody
R&D Systems, part of Bio-Techne | Catalog # MAB73782

Conjugate
Catalog #
Key Product Details
Species Reactivity
Human
Applications
Immunohistochemistry, Intracellular Staining by Flow Cytometry, CyTOF-ready
Label
Unconjugated
Antibody Source
Monoclonal Mouse IgG2B Clone # 923328
Product Specifications
Immunogen
E. coli-derived recombinant human ZEB2/SIP1
Asn363-Lys537
Accession # O60315
Asn363-Lys537
Accession # O60315
Specificity
Detects human ZEB2/SIP1 in direct ELISAs.
Clonality
Monoclonal
Host
Mouse
Isotype
IgG2B
Scientific Data Images for Human ZEB2/SIP1 Antibody
Detection of ZEB2/SIP1 in A549 Human Cell Line by Flow Cytometry.
A549 human lung carcinoma cell line was stained with Mouse Anti-Human ZEB2/SIP1 Monoclonal Antibody (Catalog # MAB73782, filled histogram) or isotype control antibody (Catalog # MAB004, open histogram), followed by Phycoerythrin-conjugated Anti-Mouse IgG Secondary Antibody (Catalog # F0102B). To facilitate intracellular staining, cells were fixed and permeabilized with FlowX FoxP3 Fixation & Permeabilization Buffer Kit (Catalog # FC012). View our protocol for Staining Intracellular Molecules.ZEB2/SIP1 in Human Liver.
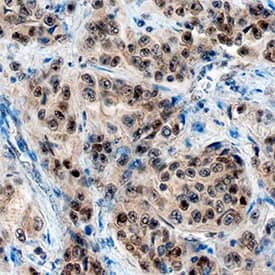
ZEB2/SIP1 was detected in immersion fixed paraffin-embedded sections of human liver using Mouse Anti-Human ZEB2/SIP1 Monoclonal Antibody (Catalog # MAB73782) at 15 µg/mL overnight at 4 °C. Tissue was stained using the Anti-Mouse HRP-DAB Cell & Tissue Staining Kit (brown; Catalog # CTS002) and counterstained with hematoxylin (blue). Specific staining was localized to nuclei in hepatocytes. View our protocol for Chromogenic IHC Staining of Paraffin-embedded Tissue Sections.Applications for Human ZEB2/SIP1 Antibody
Application
Recommended Usage
CyTOF-ready
Ready to be labeled using established conjugation methods. No BSA or other carrier proteins that could interfere with conjugation.
Immunohistochemistry
8-25 µg/mL
Sample: Immersion fixed paraffin-embedded sections of human liver
Sample: Immersion fixed paraffin-embedded sections of human liver
Intracellular Staining by Flow Cytometry
0.25 µg/106 cells
Sample: A549 human lung carcinoma cell line fixed and permeabilized with FlowX FoxP3 Fixation & Permeabilization Buffer Kit (Catalog # FC012)
Sample: A549 human lung carcinoma cell line fixed and permeabilized with FlowX FoxP3 Fixation & Permeabilization Buffer Kit (Catalog # FC012)
Formulation, Preparation, and Storage
Purification
Protein A or G purified from hybridoma culture supernatant
Reconstitution
Reconstitute at 0.5 mg/mL in sterile PBS. For liquid material, refer to CoA for concentration.
Formulation
Lyophilized from a 0.2 μm filtered solution in PBS with Trehalose. *Small pack size (SP) is supplied either lyophilized or as a 0.2 µm filtered solution in PBS.
Shipping
Lyophilized product is shipped at ambient temperature. Liquid small pack size (-SP) is shipped with polar packs. Upon receipt, store immediately at the temperature recommended below.
Stability & Storage
Use a manual defrost freezer and avoid repeated freeze-thaw cycles.
- 12 months from date of receipt, -20 to -70 °C as supplied.
- 1 month, 2 to 8 °C under sterile conditions after reconstitution.
- 6 months, -20 to -70 °C under sterile conditions after reconstitution.
Background: ZEB2/SIP1
Alternate Names
HSPC082, SIP1, SMADIP1, ZFHX1B
Gene Symbol
ZEB2
UniProt
Additional ZEB2/SIP1 Products
Product Documents for Human ZEB2/SIP1 Antibody
Product Specific Notices for Human ZEB2/SIP1 Antibody
For research use only
Loading...
Loading...
Loading...
Loading...
Loading...