Skip to main content

Key Product Details

Species Reactivity

Human

Applications

Immunohistochemistry, Western Blot

Label

Unconjugated

Antibody Source

Polyclonal Goat IgG

Product Specifications

Immunogen

E. coli-derived recombinant human YY1
His75-Gln275
Accession # P25490

Specificity

Detects human YY1 in Western blots.

Clonality

Polyclonal

Host

Goat

Isotype

IgG

Scientific Data Images for Human YY1 Antibody

Detection of Human YY1 antibody by Western Blot.

Detection of Human YY1 by Western Blot.

Western blot shows nuclear extracts of Daudi human Burkitt's lymphoma cell line, U937 human histiocytic lymphoma cell line, and HeLa human cervical epithelial carcinoma cell line. PVDF membrane was probed with 0.5 µg/mL of Goat Anti-Human YY1 Antigen Affinity-purified Polyclonal Antibody (Catalog # AF3784) followed by HRP-conjugated Anti-Goat IgG Secondary Antibody (Catalog # HAF109). A specific band was detected for YY1 at approximately 56 kDa (as indicated). This experiment was conducted under reducing conditions and using Immunoblot Buffer Group 1.
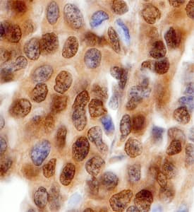
YY1 antibody in Human Breast by Immunohistochemistry (IHC-P).

YY1 in Human Breast.

YY1 was detected in immersion fixed paraffin-embedded sections of human breast using Goat Anti-Human YY1 Antigen Affinity-purified Polyclonal Antibody (Catalog # AF3784) at 1 µg/mL overnight at 4 °C. Before incubation with the primary antibody, tissue was subjected to heat-induced epitope retrieval using Antigen Retrieval Reagent-Basic (Catalog # CTS013). Tissue was stained using the Anti-Goat HRP-DAB Cell & Tissue Staining Kit (brown; Catalog # CTS008) and counter-stained with hematoxylin (blue). Specific staining was localized to nuclei. View our protocol for Chromogenic IHC Staining of Paraffin-embedded Tissue Sections.

Applications for Human YY1 Antibody

Application
Recommended Usage

Immunohistochemistry

5-15 µg/mL
Sample: Immersion fixed paraffin-embedded sections of human breast

Western Blot

0.5 µg/mL
Sample: Daudi human Burkitt's lymphoma cell line, U937 human histiocytic lymphoma cell line, and HeLa human cervical epithelial carcinoma cell line

Formulation, Preparation, and Storage

Purification

Antigen Affinity-purified

Reconstitution

Reconstitute at 0.2 mg/mL in sterile PBS. For liquid material, refer to CoA for concentration.

Reconstitution Buffer Available:
Size / Price
Qty
Loading...

Formulation

Lyophilized from a 0.2 μm filtered solution in PBS with Trehalose. *Small pack size (SP) is supplied either lyophilized or as a 0.2 µm filtered solution in PBS.

Shipping

Lyophilized product is shipped at ambient temperature. Liquid small pack size (-SP) is shipped with polar packs. Upon receipt, store immediately at the temperature recommended below.

Stability & Storage

Use a manual defrost freezer and avoid repeated freeze-thaw cycles.
  • 12 months from date of receipt, -20 to -70 °C as supplied.
  • 1 month, 2 to 8 °C under sterile conditions after reconstitution.
  • 6 months, -20 to -70 °C under sterile conditions after reconstitution.

Background: YY1

YY1 (Yin Yang 1) is a multifunctional transcription factor belonging to the GLI-Kruppel class of zing finger proteins. YY1 is essential for embryogenesis, apoptosis, differentiation, cell growth and proliferation. YY1 binds to the DNA consensus site CGCCATNTT. YY1 can function as an initiator of transcription as well as activating or repressing transcription through protein complexes (e.g. histone deacetylases and histone acetyltransferases).

Long Name

Yin-Yang-1

Alternate Names

DELTA, NF-E1, UCRBP

Entrez Gene IDs

7528 (Human); 22632 (Mouse); 24919 (Rat)

Gene Symbol

YY1

UniProt

Additional YY1 Products

Product Documents for Human YY1 Antibody

Certificate of Analysis

To download a Certificate of Analysis, please enter a lot number in the search box below.

Note: Certificate of Analysis not available for kit components.

Product Specific Notices for Human YY1 Antibody

For research use only

Loading...
Loading...
Loading...
Loading...