Skip to main content

Human TIM-1/KIM-1/HAVCR Antibody

R&D Systems, part of Bio-Techne | Catalog # MAB17504

Recombinant Monoclonal Antibody.
R&D Systems, part of Bio-Techne
Catalog #
Availability
Size / Price
Qty
Loading...
MAB17504-100
MAB17504-SP

Key Product Details

Species Reactivity

Human

Applications

Immunohistochemistry, Flow Cytometry, CyTOF-ready

Label

Unconjugated

Antibody Source

Recombinant Monoclonal Rabbit IgG Clone # 2389F

Product Specifications

Immunogen

Mouse myeloma cell line NS0-derived human TIM-1/KIM-1/HAVCR
Pro21-Thr288
Accession # AAC39862

Specificity

Detects human TIM-1/KIM-1/HAVCR in direct ELISAs.

Clonality

Monoclonal

Host

Rabbit

Isotype

IgG

Scientific Data Images for Human TIM-1/KIM-1/HAVCR Antibody

Detection of TIM-1/KIM-1/HAVCR in HEK293 Human Cell Line Transfected with Human TIM-1/KIM-1/HAVCR and eGFP by Flow Cytometry

HEK293 human embryonic kidney cell line transfected with (A) human TIM-1/KIM-1/HAVCR or (B) irrelevant protein, and eGFP was stained with Rabbit Anti-Human TIM-1/KIM-1/HAVCR Monoclonal Antibody (Catalog # MAB17504) followed by Allophycocyanin-conjugated Anti-Rabbit IgG Secondary Antibody (F0111). Quadrant markers were set based on control antibody staining (MAB1050). Staining was performed using our Staining Membrane-associated Proteins protocol.

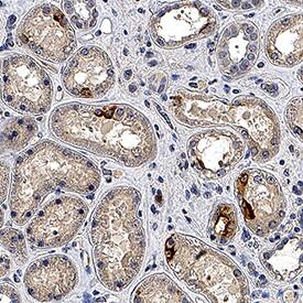
TIM-1/KIM-1/HAVCR in Human Kidney Tissue.

TIM-1/KIM-1/HAVCR was detected in immersion fixed paraffin-embedded sections of human kidney tissue using Rabbit Anti-Human TIM-1/KIM-1/HAVCR Monoclonal Antibody (Catalog # MAB17504) at 3 µg/mL for 1 hour at room temperature followed by incubation with the Anti-Rabbit IgG VisUCyte™ HRP Polymer Antibody (VC003). Before incubation with the primary antibody, tissue was subjected to heat-induced epitope retrieval using Antigen Retrieval Reagent-Basic (CTS013). Tissue was stained using DAB (brown) and counterstained with hematoxylin (blue). Specific staining was localized to cell membrane in convoluted tubules. Staining was performed using our protocol for IHC Staining with VisUCyte HRP Polymer Detection Reagents.

Applications for Human TIM-1/KIM-1/HAVCR Antibody

Application
Recommended Usage

CyTOF-ready

Ready to be labeled using established conjugation methods. No BSA or other carrier proteins that could interfere with conjugation.

Flow Cytometry

0.25 µg/106 cells
Sample: HEK293 Human Cell Line Transfected with Human TIM-1/KIM-1/HAVCR and eGFP

Immunohistochemistry

3-25 µg/mL
Sample: Immersion fixed paraffin-embedded sections of human kidney tissue

Formulation, Preparation, and Storage

Purification

Protein A or G purified from hybridoma culture supernatant

Reconstitution

Reconstitute at 0.5 mg/mL in sterile PBS. For liquid material, refer to CoA for concentration.

Reconstitution Buffer Available:
Size / Price
Qty
Loading...

Formulation

Lyophilized from a 0.2 μm filtered solution in PBS with Trehalose. *Small pack size (SP) is supplied either lyophilized or as a 0.2 µm filtered solution in PBS.

Shipping

Lyophilized product is shipped at ambient temperature. Liquid small pack size (-SP) is shipped with polar packs. Upon receipt, store immediately at the temperature recommended below.

Stability & Storage

Use a manual defrost freezer and avoid repeated freeze-thaw cycles.
  • 12 months from date of receipt, -20 to -70 °C as supplied.
  • 1 month, 2 to 8 °C under sterile conditions after reconstitution.
  • 6 months, -20 to -70 °C under sterile conditions after reconstitution.

Background: TIM-1/KIM-1/HAVCR

TIM-1 (T cell-Immunoglobulin-Mucin; also KIM-1 and HAVcr-1) is a 100 kDa, type I transmembrane glycoprotein member of the TIM family of immunoglobulin superfamily molecules (1-3). This gene family is involved in the regulation of Th1 and Th2-cell-mediated immunity. Human TIM-1 is synthesized as a 359 amino acid (aa) precursor that contains a 20 aa signal sequence, a 270 aa extracellular domain (ECD), a 21 aa transmembrane segment and a 48 aa cytoplasmic domain (4-6). The ECD contains one V-type Ig-like domain and a mucin region characterized by multiple PTTTTL motifs. The mucin region undergoes extensive O-linked glycosylation. The TIM-1 gene is highly polymorphic and undergoes alternate splicing (1). For instance, the presence of a six aa sequence (MTTTVP) at position # 137 of the mature molecule is associated with protection from atopy in people with a history of hepatitis A (7, 8). There are two cytoplasmic alternate splice forms of TIM-1. One is a long (359 aa) kidney form termed TIM-1b, and one is a short (334 aa) liver form termed TIM-1a. Both are identical through the first 323 aa of their precursors. TIM-1b contains a tyrosine phosphorylation motif that is not present in 1a (6). TIM-1 is also known to circulate as a soluble form. Constitutive cleavage by an undefined MMP (possibly ADAM33) releases an 85-90 kDa soluble molecule (6). The ECD of human TIM-1 is 50% and 43% aa identical to mouse and canine TIM-1 ECD, respectively. The only two reported ligands for TIM-1 are TIM-4 and the hepatitis A virus (4, 9). However, others are believed to exist, and based on the ligand for TIM-3, one may well be an S-type lectin (10). TIM-1 ligation induces T cell proliferation and promotes cytokine production (1, 10).

References

  1. Meyers, J.H. et al. (2005) Trends Mol. Med. 11:1471.
  2. Kuchroo, V.K. et al. (2003) Nat. Rev. Immunol. 3:454.
  3. Mariat, C. et al. (2005) Phil. Trans. R. Soc. B 360:1681.
  4. Feigelstock, D. et al. (1998) J. Virol. 72:6621.
  5. Ichimura, T. et al. (1998) J. Biol. Chem. 273:4135.
  6. Bailly, V. et al. (2002) J. Biol. Chem. 277:39739.
  7. Umetsu, D.T. et al. (2005) J. Pediatr. Gastroenterol. Nutr. 40:S43.
  8. Gao, P-S. et al. (2005) J. Allergy Clin. Immunol. 115:982.
  9. Zhu, C. et al. (2005) Nat. Immunol. 6:1245.
  10. Meyers, J.H. et al. (2005) Nat. Immunol. 6:455.

Long Name

T Cell Immunoglobulin Mucin-1

Alternate Names

CD365, HAVCR1, KIM-1, TIM1

Entrez Gene IDs

26762 (Human); 171283 (Mouse); 286934 (Rat); 102141332 (Cynomolgus Monkey)

Gene Symbol

HAVCR1

UniProt

Additional TIM-1/KIM-1/HAVCR Products

Product Documents for Human TIM-1/KIM-1/HAVCR Antibody

Certificate of Analysis

To download a Certificate of Analysis, please enter a lot number in the search box below.

Note: Certificate of Analysis not available for kit components.

Product Specific Notices for Human TIM-1/KIM-1/HAVCR Antibody

For research use only

Loading...
Loading...
Loading...
Loading...
Loading...