Skip to main content

Human T-bet/TBX21 Antibody

R&D Systems, part of Bio-Techne | Catalog # MAB11692

Recombinant Monoclonal Antibody.
R&D Systems, part of Bio-Techne
Catalog #
Availability
Size / Price
Qty
Loading...
MAB11692-100
MAB11692-SP

Key Product Details

Species Reactivity

Human

Applications

Multiplex Immunofluorescence, Immunohistochemistry

Label

Unconjugated

Antibody Source

Recombinant Monoclonal Rabbit IgG Clone # 3126B

Product Specifications

Immunogen

E. coli derived- recombinant human T-Bet
Glu326-Asp535
Accession # Q9UL17

Specificity

Detects recombinant human T-bet protein in Direct ELISA.

Clonality

Monoclonal

Host

Rabbit

Isotype

IgG

Scientific Data Images for Human T-bet/TBX21 Antibody

T-bet in Human Spleen via seqIF™ staining on COMET™

T-bet was detected in immersion fixed paraffin-embedded sections of human Spleen using Rabbit Anti-Human T-bet, Monoclonal Antibody (Catalog # MAB11692) at 25ug/mL at 37° Celsius for 4 minutes. Before incubation with the primary antibody, tissue underwent an all-in-one dewaxing and antigen retrieval preprocessing using PreTreatment Module (PT Module) and Dewax and HIER Buffer H (pH 9; Epredia Catalog # TA-999-DHBH).Tissue was stained using the Alexa Fluor™ Plus 647 Goat anti-Rabbit IgG Secondary Antibody at 1:200 at 37 ° Celsius for 2 minutes. (Yellow; Lunaphore Catalog # DR647RB) and counterstained with DAPI (blue; Lunaphore Catalog # DR100). Specific staining was localized to the nucleus. Protocol available in COMET™ Panel Builder.

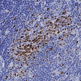
Detection of T-bet/TBX21 in Human Lymph Node.

T-bet/TBX21 was detected in immersion fixed paraffin-embedded sections of human lymph node using Rabbit Anti-Human T-bet/TBX21 Monoclonal Antibody (Catalog # MAB11692) at 3 µg/ml for 1 hour at room temperature followed by incubation with the Anti-Rabbit IgG VisUCyte™ HRP Polymer Antibody (Catalog # VC003) or the HRP-conjugated Anti-Rabbit IgG Secondary Antibody (Catalog # HAF008). Before incubation with the primary antibody, tissue was subjected to heat-induced epitope retrieval using VisUCyte Antigen Retrieval Reagent-Basic (Catalog # VCTS021). Tissue was stained using DAB (brown) and counterstained with hematoxylin (blue). Specific staining was localized to the nucleus. View our protocol for IHC Staining with VisUCyte HRP Polymer Detection Reagents.

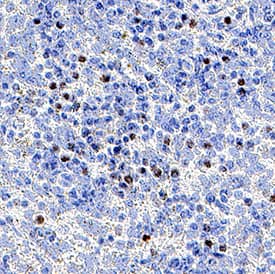
Detection of T-bet/TBX21 in Human Lymph Node Tumor.

T-bet/TBX21 was detected in immersion fixed paraffin-embedded sections of human lymph node tumor using Rabbit Anti-Human T-bet/TBX21 Monoclonal Antibody (Catalog # MAB11692) at 3 µg/ml for 1 hour at room temperature followed by incubation with the Anti-Rabbit IgG VisUCyte™ HRP Polymer Antibody (Catalog # VC003) or the HRP-conjugated Anti-Rabbit IgG Secondary Antibody (Catalog # HAF008). Before incubation with the primary antibody, tissue was subjected to heat-induced epitope retrieval using VisUCyte Antigen Retrieval Reagent-Basic (Catalog # VCTS021). Tissue was stained using DAB (brown) and counterstained with hematoxylin (blue). Specific staining was localized to the nucleus. View our protocol for IHC Staining with VisUCyte HRP Polymer Detection Reagents.

Applications for Human T-bet/TBX21 Antibody

Application
Recommended Usage

Immunohistochemistry

1-10 µg/mL
Sample: Immersion fixed paraffin-embedded sections of human lymph node, lymph node tumor, and spleen

Multiplex Immunofluorescence

25 µg/mL
Sample: Immersion fixed paraffin-embedded sections of human Spleen

Formulation, Preparation, and Storage

Purification

Protein A or G purified from cell culture supernatant

Reconstitution

Reconstitute lyophilized material at 0.2 mg/ml in sterile PBS. For liquid material, refer to CoA for concentration.

Reconstitution Buffer Available:
Size / Price
Qty
Loading...

Formulation

Lyophilized from a 0.2 μm filtered solution in PBS with Trehalose.

Shipping

Lyophilized product is shipped at ambient temperature. Liquid small pack size (-SP) is shipped with polar packs. Upon receipt, store immediately at the temperature recommended below.

Stability & Storage

Use a manual defrost freezer and avoid repeated freeze-thaw cycles.
  • 12 months from date of receipt, -20 to -70 °C as supplied.
  • 1 month, 2 to 8 °C under sterile conditions after reconstitution.
  • 6 months, -20 to -70 °C under sterile conditions after reconstitution.

Background: T-bet/TBX21

T-box expressed in T cells (T-bet), also known as T-box transcription factor TBX21, is a 62 kDa member of the T-box family of transcription factors and the Tbr1 subfamily. Human T-bet is 535 amino acids in length and contains a T-box DNA binding domain (aa 136-327). Human T-bet shares 88% aa sequence identity with mouse T-bet. T-bet is a nuclear protein highly apparent in Th1-cells. Northern blot analysis revealed that it is also expressed in lung, thymus and spleen. Functionally, T-bet controls the expression of the Th1 cytokine, IFN gamma, and initiates Th1 lineage development from naïve Th precursor cells by both activating Th1 genetic programs and by repressing the opposing Th2 programs.

Long Name

T-box transcription factor TBX21

Alternate Names

T-PET, Tbet, TBLYM, TBX21

Entrez Gene IDs

30009 (Human); 57765 (Mouse); 303496 (Rat)

Gene Symbol

TBX21

UniProt

Additional T-bet/TBX21 Products

Product Documents for Human T-bet/TBX21 Antibody

Certificate of Analysis

To download a Certificate of Analysis, please enter a lot number in the search box below.

Note: Certificate of Analysis not available for kit components.

Product Specific Notices for Human T-bet/TBX21 Antibody

For research use only

Loading...
Loading...
Loading...
Loading...