Skip to main content

Human STEAP2 Antibody

R&D Systems, part of Bio-Techne | Catalog # MAB11742

R&D Systems, part of Bio-Techne
Catalog #
Availability
Size / Price
Qty
Loading...
MAB11742-SP
MAB11742-100

Key Product Details

Species Reactivity

Human

Applications

Immunohistochemistry, Immunocytochemistry

Label

Unconjugated

Antibody Source

Monoclonal Mouse IgG2A Clone # 1114318

Product Specifications

Immunogen

Synthetic Peptide
Accession # Q8NFT2

Specificity

Detects a synthetic peptide specific for human STEAP-2 around amino acid 460 in Direct ELISA.

Clonality

Monoclonal

Host

Mouse

Isotype

IgG2A

Scientific Data Images for Human STEAP2 Antibody

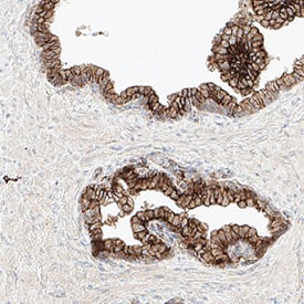
Detection of STEAP2 in Human Prostate.

STEAP2 was detected in immersion fixed paraffin-embedded sections of human prostate using Mouse Anti-Human STEAP2 Monoclonal Antibody (Catalog # MAB11742) at 5 µg/ml for 1 hour at room temperature followed by incubation with the Anti-Mouse IgG VisUCyte™ HRP Polymer Antibody (Catalog # VC001) or the HRP-conjugated Anti-Mouse IgG Secondary Antibody (Catalog # HAF007). Before incubation with the primary antibody, tissue was subjected to heat-induced epitope retrieval using VisUCyte Antigen Retrieval Reagent-Basic (Catalog # VCTS021). Tissue was stained using DAB (brown) and counterstained with hematoxylin (blue). Specific staining was localized to the membrane. View our protocol for IHC Staining with VisUCyte HRP Polymer Detection Reagents.

Detection of STEAP2 in Human Prostate Cander.

STEAP2 was detected in immersion fixed paraffin-embedded sections of human prostate cander using Mouse Anti-Human STEAP2 Monoclonal Antibody (Catalog # MAB11742) at 5 µg/ml for 1 hour at room temperature followed by incubation with the Anti-Mouse IgG VisUCyte™ HRP Polymer Antibody (Catalog # VC001) or the HRP-conjugated Anti-Mouse IgG Secondary Antibody (Catalog # HAF007). Before incubation with the primary antibody, tissue was subjected to heat-induced epitope retrieval using VisUCyte Antigen Retrieval Reagent-Basic (Catalog # VCTS021). Tissue was stained using DAB (brown) and counterstained with hematoxylin (blue). Specific staining was localized to the membrane. View our protocol for IHC Staining with VisUCyte HRP Polymer Detection Reagents.

Detection of STEAP2 in LNCaP cells.

STEAP2 was detected in immersion fixed LNCaP human prostate cancer cell line (Positive) and absent in MCF-7 human breast cancer cell line (Negative) using Mouse Anti-Human STEAP2 Monoclonal Antibody (Catalog # MAB11742) at 8 µg/ml for 3 hours at room temperature. Cells were stained using the NorthernLights™ 557-conjugated Anti-Mouse IgG Secondary Antibody (red; Catalog # NL007) and counterstained with DAPI (blue). Specific staining was localized to the cell surface. View our protocol for Fluorescent ICC Staining of Cells on Coverslips.

Applications for Human STEAP2 Antibody

Application
Recommended Usage

Immunocytochemistry

3-25 µg/mL
Sample: Immersion fixed LNCaP human prostate cancer cell line

Immunohistochemistry

3-25 µg/mL
Sample: Immersion fixed paraffin-embedded sections of human prostate and prostate cancer

Formulation, Preparation, and Storage

Purification

Protein A or G purified from cell culture supernatant

Reconstitution

Reconstitute lyophilized material at 0.2 mg/ml in sterile PBS. For liquid material, refer to CoA for concentration.

Reconstitution Buffer Available:
Size / Price
Qty
Loading...

Formulation

Lyophilized from a 0.2 μm filtered solution in PBS with Trehalose.

Shipping

Lyophilized product is shipped at ambient temperature. Liquid small pack size (-SP) is shipped with polar packs. Upon receipt, store immediately at the temperature recommended below.

Stability & Storage

Use a manual defrost freezer and avoid repeated freeze-thaw cycles.
  • 12 months from date of receipt, -20 to -70 °C as supplied.
  • 1 month, 2 to 8 °C under sterile conditions after reconstitution.
  • 6 months, -20 to -70 °C under sterile conditions after reconstitution.

Background: STEAP2

Six-transmembrane epithelial antigen of the prostate 2 (STEAP2) is a member of the STEAP family of metalloreductases, with a molecular weight of approximately 49 kDa. STEAP2 is an integral membrane protein that plays a role in cellular homeostasis by facilitating the reduction of metal ions such as iron and copper, which are critical cofactors for various enzymatic processes. STEAP2 is highly expressed in prostate tissue and is also detected at lower levels in other tissues, supporting its emerging role in tissue-specific metabolic regulation. Overexpression of STEAP2 has been implicated in prostate cancer progression, where it contributes to the proliferation, migration, and invasiveness of tumor cells. The dysregulation of STEAP2 expression has also been associated with other malignancies, suggesting its broader significance in cancer biology. Additionally, STEAP2 has garnered interest as a potential biomarker for cancer diagnosis and prognosis, as well as a therapeutic target, particularly in prostate and other hormone-regulated cancers.

References

  1. Hubert RS, Vivanco I, Chen E, Rastegar S, Leong K, Mitchell SC, Madraswala R, Zhou Y, Kuo J, Raitano AB, Jakobovits A, Saffran DC, Afar DE. STEAP: a prostate-specific cell-surface antigen highly expressed in human prostate tumors. Proc Natl Acad Sci U S A. 1999 Dec 7;96(25):14523-8. doi: 10.1073/pnas.96.25.14523. PMID: 10588738; PMCID: PMC24469.
  2. Ohgami RS, Campagna DR, McDonald A, Fleming MD. The Steap proteins are metalloreductases. Blood. 2006 Aug 15;108(4):1388-94. doi: 10.1182/blood-2006-02-003681. Epub 2006 Apr 11. PMID: 16609065; PMCID: PMC1785011.
  3. Gomes IM, Maia CJ, Santos CR. STEAP proteins: from structure to applications in cancer therapy. Mol Cancer Res. 2012 May;10(5):573-87. doi: 10.1158/1541-7786.MCR-11-0281. Epub 2012 Apr 20. PMID: 22522456.

Long Name

Six Transmembrane Epithelial Antigen of the Prostate 2

Alternate Names

IPCA1, PCANAP1, PUMPCn, STAMP1, STMP

Entrez Gene IDs

261729 (Human); 74051 (Mouse); 312052 (Rat)

Gene Symbol

STEAP2

UniProt

Additional STEAP2 Products

Product Documents for Human STEAP2 Antibody

Certificate of Analysis

To download a Certificate of Analysis, please enter a lot number in the search box below.

Note: Certificate of Analysis not available for kit components.

Product Specific Notices for Human STEAP2 Antibody

For research use only

Loading...
Loading...
Loading...
Loading...