Skip to main content

Key Product Details

Species Reactivity

Validated:

Human

Cited:

Bovine

Applications

Validated:

Immunohistochemistry, Western Blot

Cited:

Immunohistochemistry

Label

Unconjugated

Antibody Source

Monoclonal Mouse IgG2A Clone # 327554

Product Specifications

Immunogen

E. coli-derived recombinant human Src
Met1-Ala79
Accession # P12931

Specificity

Detects human Src in direct ELISAs.

Clonality

Monoclonal

Host

Mouse

Isotype

IgG2A

Scientific Data Images for Human Src Antibody

Detection of Human Src by Western Blot.

Western blot shows lysates of A549 human lung carcinoma cell line, HepG2 human hepatocellular carcinoma cell line, U937 human histiocytic lymphoma cell line (negative control), and HL-60 human acute promyelocytic leukemia cell line (negative control). PVDF membrane was probed with 2 µg/mL of Mouse Anti-Human Src Monoclonal Antibody (Catalog # MAB3807) followed by HRP-conjugated Anti-Mouse IgG Secondary Antibody (HAF018). A specific band was detected for Src at approximately 60 kDa (as indicated). GAPDH (MAB5718) is shown as a loading control. This experiment was conducted under reducing conditions and using Western Blot Buffer Group 1.

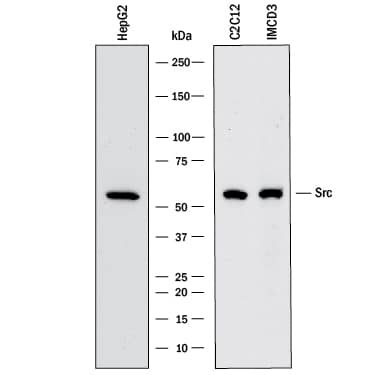
Detection of Human and Mouse Src by Western Blot.

Western blot shows lysates of HepG2 human hepatocellular carcinoma cell line, C2C12 mouse myoblast cell line, and mIMCD-3 mouse epithelial cell line. PVDF membrane was probed with 2 µg/mL of Mouse Anti-Human Src Monoclonal Antibody (Catalog # MAB3807) followed by HRP-conjugated Anti-Mouse IgG Secondary Antibody (HAF018). A specific band was detected for Src at approximately 60 kDa (as indicated). This experiment was conducted under reducing conditions and using Western Blot Buffer Group 1.
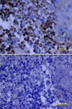
Src antibody in Human Lung Cancer Tissue by Immunohistochemistry (IHC-P).

Src in Human Lung Cancer Tissue.

Src was detected in immersion fixed paraffin-embedded sections of human lung cancer tissue using Mouse Anti-Human Src Monoclonal Antibody (Catalog # MAB3807) at 25 µg/mL overnight at 4 °C. Tissue was stained using the Anti-Mouse HRP-DAB Cell & Tissue Staining Kit (brown; Catalog # CTS002) and counterstained with hematoxylin (blue). Lower panel shows a lack of labeling if primary antibodies are omitted and tissue is stained only with secondary antibody followed by incubation with detection reagents. View our protocol for Chromogenic IHC Staining of Paraffin-embedded Tissue Sections.

Applications for Human Src Antibody

Application
Recommended Usage

Immunohistochemistry

8-25 µg/mL
Sample: Immersion fixed paraffin-embedded sections of human liver cancer tissue and human lung cancer tissue

Western Blot

2 µg/mL
Sample: A549 human lung carcinoma cell line, HepG2 human hepatocellular carcinoma cell line, C2C12 mouse myoblast cell line, and mIMCD‑3 mouse epithelial cell line

Formulation, Preparation, and Storage

Purification

Protein A or G purified from hybridoma culture supernatant

Reconstitution

Reconstitute at 0.5 mg/mL in sterile PBS. For liquid material, refer to CoA for concentration.

Reconstitution Buffer Available:
Size / Price
Qty
Loading...

Formulation

Lyophilized from a 0.2 μm filtered solution in PBS with Trehalose. *Small pack size (SP) is supplied either lyophilized or as a 0.2 µm filtered solution in PBS.

Shipping

Lyophilized product is shipped at ambient temperature. Liquid small pack size (-SP) is shipped with polar packs. Upon receipt, store immediately at the temperature recommended below.

Stability & Storage

Use a manual defrost freezer and avoid repeated freeze-thaw cycles.
  • 12 months from date of receipt, -20 to -70 °C as supplied.
  • 1 month, 2 to 8 °C under sterile conditions after reconstitution.
  • 6 months, -20 to -70 °C under sterile conditions after reconstitution.

Background: Src

The Src family of proteins are intracellular tyrosine kinases involved in cell proliferation, differentiation, motility, and survival. Src family activity is regulated by tyrosine phosphorylation at two sites with opposing effects. Autophosphorylation in the activation loop of the kinase domain (Y419 of human Src) up‑regulates the enzyme, while phosphorylation in the C-terminal tail (Y530 of human Src) down‑regulates activity.

Long Name

v-src Sarcoma [Schmidt-Ruppin A-2] Viral Oncogene Homolog

Alternate Names

ASV, c-Src, RSVgp4

Entrez Gene IDs

6714 (Human); 20779 (Mouse); 83805 (Rat); 1491925 (Viral)

Gene Symbol

SRC

UniProt

Additional Src Products

Product Documents for Human Src Antibody

Certificate of Analysis

To download a Certificate of Analysis, please enter a lot number in the search box below.

Note: Certificate of Analysis not available for kit components.

Product Specific Notices for Human Src Antibody

For research use only

Loading...
Loading...
Loading...
Loading...