Skip to main content

Human SOX11 Antibody

R&D Systems, part of Bio-Techne | Catalog # MAB11734

R&D Systems, part of Bio-Techne
Catalog #
Availability
Size / Price
Qty
Loading...
MAB11734-100
MAB11734-SP

Key Product Details

Species Reactivity

Human

Applications

Immunohistochemistry, Western Blot

Label

Unconjugated

Antibody Source

Monoclonal Mouse IgG2B Clone # 1106960

Product Specifications

Immunogen

E. coli - derived recombinant human SOX-11
Met1-Pro173
Accession # P35716

Specificity

Detects recombinant human SOX11 protein in Direct ELISA.

Clonality

Monoclonal

Host

Mouse

Isotype

IgG2B

Scientific Data Images for Human SOX11 Antibody

SOX11 in Human Mantle Cell Lymphoma via seqIF™ staining on COMET™

SOX11 was detected in immersion fixed paraffin-embedded sections of human Mantle Cell Lymphoma using Mouse Anti-Human SOX11, Monoclonal Antibody (Catalog # MAB11734) at 25ug/mL at 37° Celsius for 8 minutes. Before incubation with the primary antibody, tissue underwent an all-in-one dewaxing and antigen retrieval preprocessing using PreTreatment Module (PT Module) and Dewax and HIER Buffer H (pH 9; Epredia Catalog # TA-999-DHBH). Tissue was stained using the Alexa Fluor™ 647 Goat anti-Mouse IgG Secondary Antibody at 1:200 at 37 ° Celsius for 8 minutes. (Yellow; Lunaphore Catalog # DR647MS) and counterstained with DAPI (blue; Lunaphore Catalog # DR100).​ Specific staining was localized to the nucleus. Protocol available in COMET™ Panel Builder.

Detection of SOX11 in Human Glioblastoma.

SOX11 was detected in immersion fixed paraffin-embedded sections of human glioblastoma using Mouse Anti-Human SOX11 Monoclonal Antibody (Catalog # MAB11734) at 5 µg/ml for 1 hour at room temperature followed by incubation with the HRP-conjugated Anti-Mouse IgG Secondary Antibody (Catalog # HAF007). Before incubation with the primary antibody, tissue was subjected to heat-induced epitope retrieval using VisUCyte Antigen Retrieval Reagent-Basic (Catalog # VCTS021). Tissue was stained using DAB (brown) and counterstained with hematoxylin (blue). Specific staining was localized to the nucleus. View our protocol for IHC Staining with VisUCyte HRP Polymer Detection Reagents.

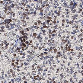
Detection of SOX11 in human Mantle Cell Lymphoma

SOX11 was detected in immersion fixed paraffin-embedded sections of human mantle cell lymphoma using Mouse Anti-Human SOX11 Monoclonal Antibody (Catalog # MAB11734) at 15 µg/ml overnight at 4 °C. Before incubation with the primary antibody, tissue was subjected to heat-induced epitope retrieval using VisUCyte Antigen Retrieval Reagent-Basic (Catalog # VCTS021). Tissue was stained using the HRP-conjugated Anti-Mouse IgG Secondary Antibody (Catalog # HAF007) and counterstained with hematoxylin (blue). Specific staining was localized to the nucleus. View our protocol for Chromogenic IHC Staining of Paraffin-embedded Tissue Sections.

Applications for Human SOX11 Antibody

Application
Recommended Usage

Immunohistochemistry

3-25 µg/mL
Sample: Immersion fixed paraffin-embedded sections of human glioblastoma and mantle cell lymphoma

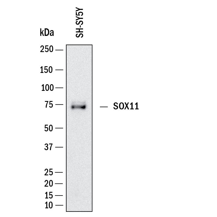
Western Blot

2 µg/mL
Sample: SH-SY5Y human neuroblastoma cell line

Formulation, Preparation, and Storage

Purification

Protein A or G purified from hybridoma culture supernatant

Reconstitution

Reconstitute lyophilized material at 0.2 mg/ml in sterile PBS. For liquid material, refer to CoA for concentration.

Reconstitution Buffer Available:
Size / Price
Qty
Loading...

Formulation

Lyophilized from a 0.2 μm filtered solution in PBS with Trehalose.

Shipping

Lyophilized product is shipped at ambient temperature. Liquid small pack size (-SP) is shipped with polar packs. Upon receipt, store immediately at the temperature recommended below.

Stability & Storage

Use a manual defrost freezer and avoid repeated freeze-thaw cycles.
  • 12 months from date of receipt, -20 to -70 °C as supplied.
  • 1 month, 2 to 8 °C under sterile conditions after reconstitution.
  • 6 months, -20 to -70 °C under sterile conditions after reconstitution.

Background: SOX11

Human SOX11 (SRY box-related gene 11) is a 60-72 kDa (46.6 kDa predicted), group C member of the SOX family of transcription factors. It is 441 amino acids (aa) in length, and contains one HMG box (aa 49-117), two poly-Gly regions (aa 144-214), one poly-Asp domain (aa 223-233) and one poly-Ser region. The HMG box determines DNA and transcriptional coactivator binding, the poly-Ser region lies in a potent transactivating region, and the poly-Asp domain autoinhibits/regulates activities of the other two regions. SOX11 appears early in development in multiple tissues, and impacts neuron, oligodendrocyte and cartilage formation. Human SOX11 is 94% aa identical to mouse SOX11 over aa 1-173. Mouse SOX11, however, is absent a 12 aa poly-Gly sequence that is present in human SOX11 between aa 145-156. Additional band correspondent to the lower molecular weight may represent SOX11 without posttranslational modifications or human SOX4, over  aa 38-123 human SOX11 shares 100% aa identity with human SOX4. (1)

References

  1. Dictor, M. et al. (2009) Haematologica 94:1563.

Long Name

Transcription Factor SRY (Sex Determining Region Y)-box 11

Alternate Names

SRY (sex determining region Y)-box 11, SRY (sex-determining region Y)-box 11, SRY-related HMG-box gene 11, transcription factor SOX-11

Entrez Gene IDs

6664 (Human); 20666 (Mouse); 84046 (Rat)

Gene Symbol

SOX11

UniProt

Additional SOX11 Products

Product Documents for Human SOX11 Antibody

Certificate of Analysis

To download a Certificate of Analysis, please enter a lot number in the search box below.

Note: Certificate of Analysis not available for kit components.

Product Specific Notices for Human SOX11 Antibody

For research use only

Loading...
Loading...
Loading...
Loading...