Skip to main content

Key Product Details

Species Reactivity

Human

Applications

Immunohistochemistry, Western Blot, Immunocytochemistry

Label

Unconjugated

Antibody Source

Monoclonal Mouse IgG2B Clone # 996810

Product Specifications

Immunogen

Mouse myeloma cell line, NS0-derived human Siglec-3/CD33
Asp18-His259
Accession # P20138

Specificity

Detects human Siglec-3/CD33 in direct ELISAs.

Clonality

Monoclonal

Host

Mouse

Isotype

IgG2B

Scientific Data Images for Human Siglec-3/CD33 Antibody

Detection of Human Siglec-3/CD33 antibody by Western Blot.

Detection of Human Siglec‑3/CD33 by Western Blot.

Western blot shows lysates of U937 human histiocytic lymphoma cell line. PVDF membrane was probed with 2 µg/mL of Mouse Anti-Human Siglec-3/CD33 Monoclonal Antibody (Catalog # MAB11371) followed by HRP-conjugated Anti-Mouse IgG Secondary Antibody (Catalog # HAF018). A specific band was detected for Siglec-3/CD33 at approximately 55 kDa (as indicated). This experiment was conducted under reducing conditions and using Immunoblot Buffer Group 1.
Siglec-3/CD33 antibody in U937 and MOLT-4 Human Cell Lines by Immunocytochemistry (ICC).

Siglec‑3/CD33 in U937 and MOLT-4 Human Cell Lines.

Siglec-3/CD33 was detected in immersion fixed U937 human histiocytic lymphoma cell line (left panel; positive stain) and MOLT-4 human acute lymphoblastic leukemia cell line (right panel; negative stain) using Mouse Anti-Human Siglec-3/CD33 Monoclonal Antibody (Catalog # MAB11371) at 8 µg/mL for 3 hours at room temperature. Cells were stained using the NorthernLights™ 557-conjugated Anti-Mouse IgG Secondary Antibody (red; Catalog # NL007) and counterstained with DAPI (blue). Specific staining was localized to cell surfaces. View our protocol for Fluorescent ICC Staining of Cells on Coverslips.
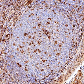
Siglec-3/CD33 antibody in Human Tonsil by Immunohistochemistry (IHC-P).

Siglec‑3/CD33 in Human Tonsil.

Siglec-3/CD33 was detected in immersion fixed paraffin-embedded sections of human tonsil using Mouse Anti-Human Siglec-3/CD33 Monoclonal Antibody (Catalog # MAB11371) at 5 µg/mL for 1 hour at room temperature followed by incubation with the Anti-Mouse IgG VisUCyte™ HRP Polymer Antibody (Catalog # VC001). Before incubation with the primary antibody, tissue was subjected to heat-induced epitope retrieval using Antigen Retrieval Reagent-Basic (Catalog # CTS013). Tissue was stained using DAB (brown) and counterstained with hematoxylin (blue). Specific staining was localized to lymphocytes. View our protocol for IHC Staining with VisUCyte HRP Polymer Detection Reagents.

Applications for Human Siglec-3/CD33 Antibody

Application
Recommended Usage

Immunocytochemistry

8-25 µg/mL
Sample: Immersion fixed U937 human histiocytic lymphoma cell line

Immunohistochemistry

5-25 µg/mL
Sample: Immersion fixed paraffin-embedded sections of human tonsil

Western Blot

2 µg/mL
Sample: U937 human histiocytic lymphoma cell line

Reviewed Applications

Read 3 reviews rated 4.7 using MAB11371 in the following applications:

Formulation, Preparation, and Storage

Purification

Protein A or G purified from hybridoma culture supernatant

Reconstitution

Reconstitute at 0.5 mg/mL in sterile PBS. For liquid material, refer to CoA for concentration.

Reconstitution Buffer Available:
Size / Price
Qty
Loading...

Formulation

Lyophilized from a 0.2 μm filtered solution in PBS with Trehalose. *Small pack size (SP) is supplied either lyophilized or as a 0.2 µm filtered solution in PBS.

Shipping

Lyophilized product is shipped at ambient temperature. Liquid small pack size (-SP) is shipped with polar packs. Upon receipt, store immediately at the temperature recommended below.

Stability & Storage

Use a manual defrost freezer and avoid repeated freeze-thaw cycles.
  • 12 months from date of receipt, -20 to -70 °C as supplied.
  • 1 month, 2 to 8 °C under sterile conditions after reconstitution.
  • 6 months, -20 to -70 °C under sterile conditions after reconstitution.

Background: Siglec-3/CD33

Siglecs (sialic acid binding Ig-like lectins) are I-type (Ig-type) lectins belonging to the Ig superfamily. They are characterized by an N‑terminal Ig-like V-type domain which mediates sialic acid binding, followed by varying numbers of Ig-like C2-type domains (1, 2). Eleven human Siglecs have been cloned and characterized. They are sialoadhesin/CD169/Siglec-1, CD22/Siglec-2, CD33/Siglec-3, Myelin-Associated Glycoprotein (MAG/Siglec-4a) and Siglecs 5 to 11 (1‑3). To date, no Siglec has been shown to recognized any cell surface ligand other than sialic acids, suggesting that interactions with glycans containing this carbohydrate are important in mediating the biological functions of Siglecs. Siglecs 5 to 11 share a high degree of sequence similarity with CD33/Siglec-3 both in their extracellular and intracellular regions. They are collectively referred to as CD33-related Siglecs. One remarkable feature of the CD33-related Siglecs is their differential expression pattern within the hematopoietic system (1, 2). This fact, together with the presence of two conserved immunoreceptor tyrosine-based inhibition motifs (ITIMs) in their cytoplasma tails, suggests that CD33-related Siglecs are involved in the regulation of cellular activation within the immune system.

Human Siglec-3 is alternatively known as myeloid cell surface antigen CD33 and GP67. Human Siglec-3 cDNA encodes a 364 amino acid (aa) polypeptide with a hydrophobic signal peptide, an N-terminal Ig-like V-type domain, one Ig-like C2-type domains, a transmembrane region and a cytoplasmic tail (1, 4). Siglec-3 expression is restricted to cells of myelomonocytic lineage (2). It binds sialic acid preferring alpha2,3- linkage over alpha2,6- linkage (5). Studies indicated that Siglec-3 recruits SHP-1 and SHP-2 to its ITIMs (6, 7). When co-crosslinking with Fc gammaR1, Siglec-3 inhibits tyrosine phosphorylation and calcium mobilization, suggesting Siglec-3 can mediate inhibitory signals (7).

References

  1. Crocker, P.R. and A. Varki (2001) Trends Immunol. 22:337.
  2. Crocker, P.R. and A. Varki (2001) Immunology 103:137.
  3. Angata, T. et al. (2002) J. Biol. Chem. 277:24466.
  4. Simmons, D. and B. Seed (1988) J. Immunol. 141:2797.
  5. Freeman, S.D. et al. (1995) Blood 85:2002.
  6. Taylor, V.C. et al. (1999) J. Biol. Chem. 274:11505.
  7. Ulyanova, T. et al. (1999) Eur. J. Immunol. 29:3440.

Long Name

Sialic Acid Binding Ig-like Lectin 3

Alternate Names

CD33, gp67, Siglec3

Entrez Gene IDs

945 (Human); 12489 (Mouse); 102117580 (Cynomolgus Monkey)

Gene Symbol

CD33

UniProt

Additional Siglec-3/CD33 Products

Product Documents for Human Siglec-3/CD33 Antibody

Certificate of Analysis

To download a Certificate of Analysis, please enter a lot number in the search box below.

Note: Certificate of Analysis not available for kit components.

Product Specific Notices for Human Siglec-3/CD33 Antibody

For research use only

Loading...
Loading...
Loading...
Loading...