Skip to main content

Human Siglec-2/CD22 LlaMABodyTM Bivalent VHH HuIgG2 Fusion Antibody

R&D Systems, part of Bio-Techne | Catalog # LMAB107321

Recombinant Monoclonal Antibody. Bivalent Llama VHH domain, Human IgG2 Fusion Antibody.
R&D Systems, part of Bio-Techne
Catalog #
Availability
Size / Price
Qty
Loading...
LMAB107321-100
LMAB107321-SP

Key Product Details

Species Reactivity

Human

Applications

Immunocytochemistry, Immunohistochemistry

Label

Unconjugated

Antibody Source

Recombinant Monoclonal Llama VHH domain Clone # L007.2.5H

Product Specifications

Immunogen

Chinese Hamster Ovary cell line CHO-derived human Siglec-2/CD22 as immunogen for bivalent Llama VHH-Human IgG2 Fusion Antibody
Asp20-Arg687
Accession # CAA42006.1

Specificity

Clone L007.2.5H is a bivalent Llama VHH-Human IgG2 Fusion Antibody that detects Siglec-2/CD22 in direct ELISAs. Antibody construct is depicted below.Human Siglec-2/CD22 SpecificLlama VHH domainLlama Hinge Human IgG2N-terminusC-terminus

Clonality

Monoclonal

Host

Llama

Isotype

VHH domain

Scientific Data Images

Siglec-2/CD22 in Human PBMCs.

Siglec-2/CD22 was detected in immersion fixed human peripheral blood mononuclear cells (PBMCs) using Llama Anti-Human Siglec-2/CD22 LlaMABodyTM Bivalent VHH HuIgG2 Fusion Monoclonal Antibody (Catalog # LMAB107321) at 8 µg/mL for 3 hours at room temperature. Cells were stained using Anti-alpaca Alexa Fluor 594 (red) and counterstained with DAPI (blue). Specific staining was localized to cytoplasm. Staining was performed using our protocol for Fluorescent ICC Staining of Non-adherent Cells.

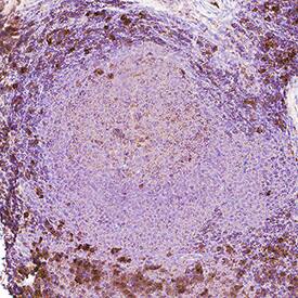
Siglec-2/CD22 in Human Tonsil.

Siglec-2/CD22 was detected in immersion fixed paraffin-embedded sections of Human Tonsil using Llama Anti-Human Siglec-2/CD22 LlaMABodyTM Bivalent VHH HuIgG2 Fusion Monoclonal Antibody (Catalog # LMAB107321) at 15 µg/mL overnight at 4 °C. Tissue was stained using anti-Llama secondaries with HRP and counterstained with hematoxylin (blue). Specific staining was localized to cytoplasm in lymphocytes. View our protocol for IHC Staining with VisUCyte HRP Polymer Detection Reagents.

Applications

Application
Recommended Usage

Immunocytochemistry

8-25 µg/mL
Sample: Immersion fixed human peripheral blood mononuclear cells (PBMCs)

Immunohistochemistry

8-25 µg/mL
Sample: Immersion fixed paraffin-embedded sections of Human Tonsil

Formulation, Preparation, and Storage

Purification

Protein A or G purified from cell culture supernatant

Reconstitution

Reconstitute at 0.5 mg/mL in sterile PBS. For liquid material, refer to CoA for concentration.

Reconstitution Buffer Available:
Size / Price
Qty
Loading...

Formulation

Lyophilized from a 0.2 μm filtered solution in PBS with Trehalose. *Small pack size (SP) is supplied either lyophilized or as a 0.2 µm filtered solution in PBS.

Shipping

Lyophilized product is shipped at ambient temperature. Liquid small pack size (-SP) is shipped with polar packs. Upon receipt, store immediately at the temperature recommended below.

Stability & Storage

Use a manual defrost freezer and avoid repeated freeze-thaw cycles.
  • 12 months from date of receipt, -20 to -70 °C as supplied.
  • 1 month, 2 to 8 °C under sterile conditions after reconstitution.
  • 6 months, -20 to -70 °C under sterile conditions after reconstitution.

Background: Siglec-2/CD22

Siglecs are type I transmembrane proteins that belong to the immunoglobulin (Ig) superfamily and function as mammalian lectins (1). They are characterized by an extracellular domain consisting of various numbers of Ig domains with a conserved N-terminal V-set Ig ligand-binding domain. This binds species-specific sialic acid motifs on protein and lipid scaffolds to regulate intracellular signaling pathways (2). The cytoplasmic tail has signaling motifs, in most cases immunoreceptor tyrosine-based inhibitory motif (ITIM) (3). Human Siglec-2, also known as B cell antigen CD22 or B lymphocyte cell adhesion molecule (BL-CAM), is a B cell restricted glycoprotein that is expressed in the cytoplasm of progenitor B and pre B cells and on the surface of mature B cells. Two distinct human Siglec-2/CD22 cDNAs that arise from differential RNA processing of the same gene have been isolated. The predominant Siglec-2/CD22 beta encodes an 847 amino acid (aa) polypeptide with a hydrophobic signal peptide, an N-terminal Ig-like V type domain, six Ig-like C2 type domains, a transmembrane region and a cytoplasmic tail with 4 immunoreceptor tyrosine-based inhibition motifs (ITIMs) (4). The variant Siglec-2/CD22 alpha encodes a 647 aa polypeptide missing two Ig-like C2 type domains and has a truncated (23 aa) cytoplasmic tail (5). Mature human Siglec-2 beta consists of a 668 amino acid (aa) extracellular domain (ECD), a 19 aa transmembrane segment, and a 141 aa cytoplasmic domain. Within the ECD, human Siglec-2 shares 59% and 58% aa sequence identity with the mouse and rat Siglec-2, respectively. Siglec-2/CD22 is an adhesion molecule that preferentially binds alpha 2,6- linked sialic acid on the same (cis) or adjacent (trans) cells. Interaction of CD22 with trans ligands on opposing cells was found to be favored over the binding of ligands in cis (6). Besides its role as an adhesion molecule, Siglec-2/CD22 is a coreceptor that physically interacts with B-cell receptor (BCR) and is rapidly phosphorylated upon BCR ligation. It negatively regulates BCR signals by recruiting tyrosine phosphatase SHP-1 to its ITIMs. Phosphorylated Siglec-2/CD22 can also interact with other intracellular effector proteins such as Syk, PLC gamma, PI3 kinase and Grb-2, suggesting it may play a role in positive signaling (7-9). Another function of CD22 is that it mediates the anti-phagocytic effect of alpha2,6-linked sialic acid, and inhibition of CD22 promotes the clearance of myelin debris, amyloid-beta oligomers and alpha-synuclein fibrils in vivo(10). CD22 also plays a role in autoimmunity and has great potential for CD22-based immunotherapeutics for the treatment of autoimmune diseases such as systemic lupus erythematosus (SLE) (11).

References

  1. Crocker, P.R. et al. (2007) Nat. Rev. Immunol. 7:255.
  2. Poe, J.C. and T.F. Tedder (2012) Trends Immunol. 33:413.
  3. Meyer, S.J. et al. (2018) Front. Immunol. 9:2820.
  4. Wilson, G.L et al. (1991) J. Exp. Med. 173:137.
  5. Stamenkovic, I. and B. Seed (1990) Nature 345:74.
  6. Collins, B.E. et al. (2004) Proc. Natl. Acad. Sci. 101:6104.
  7. Crocker, P.R. and A. Varki (2001) Immunology 103:137.
  8. Ravetch, J.V. and L.L. Lanier (2000) Science 290:84.
  9. Wienands, Y.J. et al. (1999) J. Biol. Chem. 274:18769.
  10. Pluvinage, J.V. et al. (2019) Nature. 5568:7751.
  11. Clark, E.A. et al. (2018) Front. Immunol. 9:2235.

Long Name

Sialic Acid Binding Ig-like Lectin 2

Alternate Names

BL-CAM, CD22, Siglec2

Entrez Gene IDs

933 (Human); 12483 (Mouse); 308501 (Rat); 102130968 (Cynomolgus Monkey)

Gene Symbol

CD22

UniProt

Additional Siglec-2/CD22 Products

Product Documents

Certificate of Analysis

To download a Certificate of Analysis, please enter a lot number in the search box below.

Note: Certificate of Analysis not available for kit components.

Product Specific Notices

For research use only

Loading...
Loading...
Loading...
Loading...
Loading...