Skip to main content

Key Product Details

Species Reactivity

Validated:

Human, Rat

Cited:

Human

Applications

Validated:

Western Blot, Adhesion Blockade, Simple Western

Cited:

Western Blot, Neutralization, Flow Cytometry, Immunocytochemistry, ELISA Development

Label

Unconjugated

Antibody Source

Polyclonal Sheep IgG

Product Specifications

Immunogen

Chinese hamster ovary cell line CHO-derived recombinant human P‑Selectin/CD62P

Specificity

Detects human and rat P-Selectin/CD62P in Western blots. In direct ELISAs, approximately 5% cross-reactivity with recombinant mouse P-Selectin, and less than 1% cross-reactivity with recombinant human (rh) E-Selectin and rhL-Selectin is observed.

Clonality

Polyclonal

Host

Sheep

Isotype

IgG

Endotoxin Level

<0.10 EU per 1 μg of the antibody by the LAL method.

Scientific Data Images for Human/Rat P-Selectin/CD62P Antibody

Detection of Human P-Selectin/CD62P antibody by Western Blot.

Detection of Human P‑Selectin/CD62P by Western Blot.

Western blot shows lysates of human platelets. PVDF membrane was probed with 1 µg/mL of Sheep Anti-Human P-Selectin/CD62P Antigen Affinity-purified Polyclonal Antibody (Catalog # AF137) followed by HRP-conjugated Anti-Sheep IgG Secondary Antibody (Catalog # HAF016). A specific band was detected for P-Selectin/ CD62P at approximately 140 kDa (as indicated). This experiment was conducted under reducing conditions and using Immunoblot Buffer Group 1.
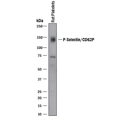
Detection of Rat P-Selectin/CD62P antibody by Western Blot.

Detection of Rat P‑Selectin/CD62P by Western Blot.

Western blot shows lysates of rat platelets. PVDF membrane was probed with 1 µg/mL of Sheep Anti-Human/Rat P-Selectin/CD62P Antigen Affinity-purified Polyclonal Antibody (Catalog # AF137) followed by HRP-conjugated Anti-Sheep IgG Secondary Antibody (Catalog # HAF016). A specific band was detected for P-Selectin/CD62P at approximately 140 kDa (as indicated). This experiment was conducted under reducing conditions and using Immunoblot Buffer Group 1.

Detection of Human P-Selectin/CD62P by Simple WesternTM.

Simple Western lane view shows lysates of human platelets, loaded at 0.2 mg/mL. A specific band was detected for P-Selectin/CD62P at approximately 219 kDa (as indicated) using 50 µg/mL of Sheep Anti-Human/Rat P-Selectin/CD62P Antigen Affinity-purified Polyclonal Antibody (Catalog # AF137) followed by 1:50 dilution of HRP-conjugated Anti-Sheep IgG Secondary Antibody (HAF016). This experiment was conducted under reducing conditions and using the 66-440 kDa separation system.

Applications for Human/Rat P-Selectin/CD62P Antibody

Application
Recommended Usage

Adhesion Blockade

The adhesion of U937 human histiocytic lymphoma cells (5 x 104 cells/well) to immobilized recombinant human P‑Selectin (10 μg/mL, 100 µL/well) was maximally inhibited (80-100%) by 25 μg/mL of the antibody.

Simple Western

50 µg/mL
Sample: Human platelets

Western Blot

1 µg/mL
Sample:   Human platelets and Rat platelets

Reviewed Applications

Read 1 review rated 5 using AF137 in the following applications:

Formulation, Preparation, and Storage

Purification

Antigen Affinity-purified

Reconstitution

Reconstitute at 0.2 mg/mL in sterile PBS. For liquid material, refer to CoA for concentration.

Reconstitution Buffer Available:
Size / Price
Qty
Loading...

Formulation

Lyophilized from a 0.2 μm filtered solution in PBS with Trehalose. *Small pack size (SP) is supplied either lyophilized or as a 0.2 µm filtered solution in PBS.

Shipping

Lyophilized product is shipped at ambient temperature. Liquid small pack size (-SP) is shipped with polar packs. Upon receipt, store immediately at the temperature recommended below.

Stability & Storage

Use a manual defrost freezer and avoid repeated freeze-thaw cycles.
  • 12 months from date of receipt, -20 to -70 °C as supplied.
  • 1 month, 2 to 8 °C under sterile conditions after reconstitution.
  • 6 months, -20 to -70 °C under sterile conditions after reconstitution.

Background: P-Selectin/CD62P

Human P-Selectin (GMP-140, LECAM-3, PADGEM, CD62P), a member of the Selectin family, is a cell surface glycoprotein expressed by activated platelets and endothelial cells. P-Selectin is translocated to the cell surface within minutes, from alpha granules of platelets or Weibel-Palade bodies of endothelial cells, following stimulation with thrombin, histamine, PMA or peroxides. P-Selectin binds to a 106 kDa protein present on myeloid cells, neutrophils, monocytes and lymphocytes, termed PSGL-1 (P-Selectin glycoprotein ligand-1).

P-Selectin plays a role in the adhesion of leukocytes and neutrophils to the endothelium. Acting in cooperation with L Selectin,P-Selectin mediates the initial interaction of circulating leukocytes with endothelial cells that produces a characteristic ‘rolling' of the leukocytes on the endothelium. This initial interaction is followed by a stronger interaction involving E-Selectin, and later ICAM-1 and VCAM-1, that leads eventually to extravasation of the white blood cell through the blood vessel wall into the extracellular matrix tissue. ELISA techniques have shown that detectable levels of soluble P-Selectin are present in the biological fluids of apparently normal individuals. Furthermore, a number of studies have reported that levels of P-Selectin may be elevated or lowered in subjects with a variety of pathological conditions.

Alternate Names

CD62P, GMP140, GRMP, PADGEM, PSEL, SELP

Entrez Gene IDs

6403 (Human); 20344 (Mouse)

Gene Symbol

SELP

Additional P-Selectin/CD62P Products

Product Documents for Human/Rat P-Selectin/CD62P Antibody

Certificate of Analysis

To download a Certificate of Analysis, please enter a lot number in the search box below.

Note: Certificate of Analysis not available for kit components.

Product Specific Notices for Human/Rat P-Selectin/CD62P Antibody

For research use only

Loading...
Loading...
Loading...
Loading...
Loading...