Skip to main content

Human p62/SQSTM1 Antibody

R&D Systems, part of Bio-Techne | Catalog # MAB80281

Recombinant Monoclonal Antibody.
R&D Systems, part of Bio-Techne

Key Product Details

Validated by

Knockout/Knockdown

Species Reactivity

Validated:

Human

Cited:

Human

Applications

Validated:

Knockout Validated, Immunohistochemistry, Western Blot, Immunocytochemistry, Simple Western, Immunoprecipitation

Cited:

Western Blot, Immunocytochemistry, Immunoprecipitation

Label

Unconjugated

Antibody Source

Recombinant Monoclonal Rabbit IgG Clone # 2533B

Product Specifications

Immunogen

E. coli-derived recombinant human p62/SQSTM1
Asp368-Leu440
Accession # Q13501

Specificity

Detects human p62/SQSTM1 in direct ELISAs.

Clonality

Monoclonal

Host

Rabbit

Isotype

IgG

Scientific Data Images for Human p62/SQSTM1 Antibody

Detection of Human p62/SQSTM1 antibody by Western Blot.

Detection of Human p62/SQSTM1 by Western Blot.

Western blot shows lysates of A172 human glioblastoma cell line and RT-4 human bladder carcinoma cell line. PVDF membrane was probed with 1 µg/mL of Rabbit Anti-Human p62/SQSTM1 Monoclonal Antibody (Catalog # MAB80281) followed by HRP-conjugated Anti-Rabbit IgG Secondary Antibody (HAF008). A specific band was detected for p62/SQSTM1 at approximately 60 kDa (as indicated). This experiment was conducted under reducing conditions and using Immunoblot Buffer Group 1.
p62/SQSTM1 antibody in HeLa Human Cell Line by Immunocytochemistry (ICC).

p62/SQSTM1 in HeLa Human Cell Line.

p62/SQSTM1 was detected in immersion fixed HeLa human cervical epithelial carcinoma cell line treated with chloroquine (left) or untreated (right) using Rabbit Anti-Human p62/SQSTM1 Monoclonal Antibody (Catalog # MAB80281) at 8 µg/mL for 3 hours at room temperature. Cells were stained using the NorthernLights™ 557-conjugated Anti-Rabbit IgG Secondary Antibody (red; NL004) and counterstained with DAPI (blue). Specific staining was localized to cytoplasm. View our protocol for Fluorescent ICC Staining of Cells on Coverslips.
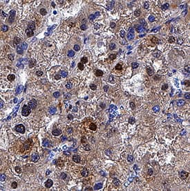
p62/SQSTM1 antibody in Human Liver by Immunohistochemistry (IHC-P).

p62/SQSTM1 in Human Liver.

p62/SQSTM1 was detected in immersion fixed paraffin-embedded sections of human liver using Rabbit Anti-Human p62/SQSTM1 Monoclonal Antibody (Catalog # MAB80281) at 10 µg/mL for 1 hour at room temperature followed by incubation with the Anti-Rabbit IgG VisUCyte™ HRP Polymer Antibody (VC003). Before incubation with the primary antibody, tissue was subjected to heat-induced epitope retrieval using Antigen Retrieval Reagent-Basic (CTS013). Tissue was stained using DAB (brown) and counterstained with hematoxylin (blue). Specific staining was localized to cell nuclei. View our protocol for IHC Staining with VisUCyte HRP Polymer Detection Reagents.

Applications for Human p62/SQSTM1 Antibody

Application
Recommended Usage

Immunocytochemistry

8-25 µg/mL
Sample: Immersion fixed HeLa human cervical epithelial carcinoma cell line treated with chloroquine

Immunohistochemistry

8-25 µg/mL
Sample: Immersion fixed paraffin-embedded sections of human liver

Immunoprecipitation

1 µg/1 mg cell lysate
Sample: Cell lysate of U2OS human osteosarcoma cell line 

Knockout Validated

p62/SQSTM1 is specifically detected in HeLa human cervical epithelial carcinoma parental cell line but is not detectable in p62/SQSTM1 knockout HeLa cell line. p62/SQSTM1 a is specifically detected in the parental U2OS cell line, but is not detectable in knockout U2OS cell line. 

Simple Western

20 µg/mL
Sample: RT-4 human bladder carcinoma cell line

Western Blot

1 µg/mL
Sample: A172 human glioblastoma cell line and RT-4 human bladder carcinoma cell line

Formulation, Preparation, and Storage

Purification

Protein A or G purified from cell culture supernatant

Reconstitution

Reconstitute at 0.5 mg/mL in sterile PBS. For liquid material, refer to CoA for concentration.

Reconstitution Buffer Available:
Size / Price
Qty
Loading...

Formulation

Lyophilized from a 0.2 μm filtered solution in PBS with Trehalose. *Small pack size (SP) is supplied either lyophilized or as a 0.2 µm filtered solution in PBS.

Shipping

Lyophilized product is shipped at ambient temperature. Liquid small pack size (-SP) is shipped with polar packs. Upon receipt, store immediately at the temperature recommended below.

Stability & Storage

Use a manual defrost freezer and avoid repeated freeze-thaw cycles.
  • 12 months from date of receipt, -20 to -70 °C as supplied.
  • 1 month, 2 to 8 °C under sterile conditions after reconstitution.
  • 6 months, -20 to -70 °C under sterile conditions after reconstitution.

Background: p62/SQSTM1

SQSTM1 (Sequestrome-1), also called p62, is a widely expressed, stress-inducible, multifunctional 62 kDa intracellular protein. The 440 amino acid (aa) human SQSTM1 contains multiple adaptor domains that allow interaction with proteins in NGF/NFkB and other signaling pathways (notably TRAF6, atypical protein kinase C family and Src family), polyubiquitin, proteasome subunits and many others. It contains numerous regulatory phosphorylation sites and a dimerization site. SQSTM1 shuttles ubiquitinylated proteins to the proteasome and is important in autophagy and apoptosis. Its dysregulation is associated with Paget’s disease of bone, Parkinson’s and Alzheimer’s diseases, and cancers. Within aa 344-440, which includes the ubiquitin-binding domain, human SQSTM1 shares 100% aa sequence identity with mouse and rat SQSTM1.

Long Name

Sequestosome 1

Alternate Names

A170, EBIAP, ORCA, OSIL, PDB3, Sequestosome 1, SQSTM1, ZIP3

Entrez Gene IDs

8878 (Human); 18412 (Mouse); 113894 (Rat)

Gene Symbol

SQSTM1

UniProt

Additional p62/SQSTM1 Products

Product Documents for Human p62/SQSTM1 Antibody

Certificate of Analysis

To download a Certificate of Analysis, please enter a lot number in the search box below.

Note: Certificate of Analysis not available for kit components.

Product Specific Notices for Human p62/SQSTM1 Antibody

For research use only

Loading...
Loading...
Loading...
Loading...