Human p300 Antibody
R&D Systems, part of Bio-Techne | Catalog # AF3789
Conjugate
Catalog #
Key Product Details
Validated by
Biological Validation
Species Reactivity
Validated:
Human
Cited:
Mouse
Applications
Validated:
Immunohistochemistry, Western Blot, Immunocytochemistry, Simple Western, Chromatin Immunoprecipitation (ChIP)
Cited:
Immunocytochemistry
Label
Unconjugated
Antibody Source
Polyclonal Goat IgG
Product Specifications
Immunogen
E. coli-derived recombinant human p300
His2283-His2414
Accession # Q09472
His2283-His2414
Accession # Q09472
Specificity
Detects human p300 in Western blots.
Clonality
Polyclonal
Host
Goat
Isotype
IgG
Scientific Data Images for Human p300 Antibody
Detection of Human p300 by Western Blot.
Western blot shows nuclear extracts of A431 human epithelial carcinoma cell line epidermoid carcinoma and HeLa human cervical epithelial carcinoma cell line cervical carcinoma cell lines. PVDF membrane was probed with 1 µg/mL of Goat Anti-Human p300 Antigen Affinity-purified Polyclonal Antibody (Catalog # AF3789) followed by HRP-conjugated Anti-Goat IgG Secondary Antibody (Catalog # HAF017). A specific band was detected for p300 at approximately 300 kDa (as indicated). This experiment was conducted using Immunoblot Buffer Group 1.Detection of p300-regulated Genes by Chromatin Immunoprecipitation.
Jurkat human acute T cell leukemia cell line treated with 50 ng/mL PMA and 200 ng/mL calcium ionomycin for 30 minutes was fixed using formaldehyde, resuspended in lysis buffer, and sonicated to shear chromatin. p300/DNA complexes were immunoprecipitated using 5 µg Goat Anti-Human p300 Antigen Affinity-purified Polyclonal Antibody (Catalog # AF3789) or control antibody (Catalog # AB-108-C) for 15 minutes in an ultrasonic bath, followed by Biotinylated Anti-Goat IgG Secondary Antibody (Catalog # BAF109). Immunocomplexes were captured using 50 µL of MagCellect Streptavidin Ferrofluid (Catalog # MAG999) and DNA was purified using chelating resin solution. Thefospromoter was detected by standard PCR.p300 in HeLa Human Cell Line.
p300 was detected in immersion fixed HeLa human cervical epithelial carcinoma cell line using Goat Anti-Human p300 Antigen Affinity-purified Polyclonal Antibody (Catalog # AF3789) at 1.7 µg/mL for 3 hours at room temperature. Cells were stained using the NorthernLights™ 557-conjugated Anti-Goat IgG Secondary Antibody (red; Catalog # NL001) and counterstained with DAPI (blue). Specific staining was localized to nuclei. View our protocol for Fluorescent ICC Staining of Cells on Coverslips.Applications for Human p300 Antibody
Application
Recommended Usage
Chromatin Immunoprecipitation (ChIP)
5 µg/5 x 106 cells
Sample: PMA and calcium ionomycin treated Jurkat human acute T cell leukemia cell line chromatin, fos promoter detected by standard PCR.
Sample: PMA and calcium ionomycin treated Jurkat human acute T cell leukemia cell line chromatin, fos promoter detected by standard PCR.
Immunocytochemistry
1-15 µg/mL
Sample: Immersion fixed HeLa human cervical epithelial carcinoma cell line
Sample: Immersion fixed HeLa human cervical epithelial carcinoma cell line
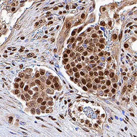
Immunohistochemistry
5-25 µg/mL
Sample: Immersion fixed paraffin-embedded sections of human colon cancer tissue
Sample: Immersion fixed paraffin-embedded sections of human colon cancer tissue
Simple Western
50 µg/mL
Sample: HeLa human cervical epithelial carcinoma cell line
Sample: HeLa human cervical epithelial carcinoma cell line
Western Blot
1 µg/mL
Sample: A431 human epithelial carcinoma cell line epidermoid carcinoma and HeLa human cervical epithelial carcinoma cell line cervical carcinoma cell lines
Sample: A431 human epithelial carcinoma cell line epidermoid carcinoma and HeLa human cervical epithelial carcinoma cell line cervical carcinoma cell lines
Formulation, Preparation, and Storage
Purification
Antigen Affinity-purified
Reconstitution
Reconstitute at 0.2 mg/mL in sterile PBS. For liquid material, refer to CoA for concentration.
Formulation
Lyophilized from a 0.2 μm filtered solution in PBS with Trehalose. *Small pack size (SP) is supplied either lyophilized or as a 0.2 µm filtered solution in PBS.
Shipping
Lyophilized product is shipped at ambient temperature. Liquid small pack size (-SP) is shipped with polar packs. Upon receipt, store immediately at the temperature recommended below.
Stability & Storage
Use a manual defrost freezer and avoid repeated freeze-thaw cycles.
- 12 months from date of receipt, -20 to -70 °C as supplied.
- 1 month, 2 to 8 °C under sterile conditions after reconstitution.
- 6 months, -20 to -70 °C under sterile conditions after reconstitution.
Background: p300
The E1A-binding protein p300 is a histone acetyltransferase that also acts to acetylate other proteins, such as p53. p300 acts as a transcriptional coactivator that can serve as an adaptor molecule to bridge to transcriptional regulators. In addition, p300 binds to PCNA and may participate in chromatin remodeling.
Long Name
E1A-binding Protein p300
Alternate Names
EP300
Gene Symbol
EP300
UniProt
Additional p300 Products
Product Documents for Human p300 Antibody
Product Specific Notices for Human p300 Antibody
For research use only
Loading...
Loading...
Loading...
Loading...