Skip to main content

Key Product Details

Validated by

Knockout/Knockdown

Species Reactivity

Validated:

Human, Mouse

Cited:

Human, Mouse

Applications

Validated:

Knockout Validated, Immunohistochemistry, Western Blot, Neutralization, Dual RNAscope ISH-IHC Compatible

Cited:

Immunohistochemistry, Immunohistochemistry-Frozen, Western Blot, Neutralization, Immunocytochemistry, Immunoprecipitation, Functional Assay

Label

Unconjugated

Antibody Source

Polyclonal Goat IgG

Product Specifications

Immunogen

Chinese hamster ovary cell line CHO-derived recombinant human TIMP-2
Cys27-Pro220
Accession # P16035

Specificity

Detects human and mouse TIMP‑2 in direct ELISAs and Western blots. In direct ELISAs, less than 2% cross‑reactivity with recombinant human TIMP-4 is observed.

Clonality

Polyclonal

Host

Goat

Isotype

IgG

Endotoxin Level

<0.10 EU per 1 μg of the antibody by the LAL method.

Scientific Data Images for Human/Mouse TIMP-2 Antibody

Detection of Human TIMP-2 antibody by Western Blot.

Detection of Human TIMP‑2 by Western Blot.

Western blot shows Recombinant Human TIMP-2 Western Blot Standard Protein (Catalog # WBC023) and lysates of HeLa human cervical epithelial carcinoma cell line and human placenta tissue. PVDF membrane was probed with 1 µg/mL of Goat Anti-Human/Mouse TIMP-2 Antigen Affinity-purified Polyclonal Antibody (Catalog # AF971) followed by HRP-conjugated Anti-Goat IgG Secondary Antibody (Catalog # HAF017). A specific band was detected for TIMP-2 at approximately 22 kDa (as indicated). This experiment was conducted under reducing conditions and using Immunoblot Buffer Group 1.
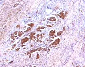
TIMP-2 antibody in Human Ovarian Cancer Tissue by Immunohistochemistry (IHC-P).

TIMP-2 in Human Ovarian Cancer Tissue.

TIMP-2 was detected in immersion fixed paraffin-embedded sections of human ovarian cancer tissue using 15 µg/mL Goat Anti-Human/Mouse TIMP-2 Antigen Affinity-purified Polyclonal Antibody (Catalog # AF971) overnight at 4 °C. Tissue was stained with the Anti-Goat HRP-DAB Cell & Tissue Staining Kit (brown; Catalog # CTS008) and counter-stained with hematoxylin (blue). View our protocol for Chromogenic IHC Staining of Paraffin-embedded Tissue Sections.

Western Blot Shows Human TIMP-2 Specificity by Using Knockout Cell Line.

Western blot shows lysates of HeLa human cervical epithelial carcinoma cell line and human TIMP-2 knockout HeLa human cervical epithelial carcinoma cell line (KO). PVDF membrane was probed with 1 µg/mL of Goat Anti-Human/Mouse TIMP-2 Antigen Affinity-purified Polyclonal Antibody (Catalog # AF971) followed by HRP-conjugated Anti-Goat IgG Secondary Antibody (HAF017). A specific band was detected for TIMP-2 at approximately 22 kDa (as indicated) in the parental HeLa human cervical epithelial carcinoma cell line, but is not detectable in knockout HeLa human cervical epithelial carcinoma cell line. GAPDH (AF5718) is shown as a loading control. This experiment was conducted under reducing conditions and using Western Blot Buffer Group 1.

Applications for Human/Mouse TIMP-2 Antibody

Application
Recommended Usage

Dual RNAscope ISH-IHC Compatible

5-15 µg/mL
Sample: Immersion fixed paraffin-embedded sections of human placenta

Immunohistochemistry

5-15 µg/mL
Sample: Immersion fixed paraffin-embedded sections of human ovarian cancer tissue and normal human ovarian array

Knockout Validated

TIMP‑2 is specifically detected in HeLa human cervical epithelial carcinoma parental cell line but is not detectable in TIMP‑2 knockout HeLa human cervical epithelial carcinoma cell line.

Western Blot

1 µg/mL
Sample: Recombinant Human TIMP-2 Western Blot Standard Protein (Catalog # WBC023), HeLa human cervical epithelial carcinoma cell line and human placenta tissue

Neutralization

Measured by its ability to neutralize Recombinant Human TIMP-2 (0.143 µg/mL, Catalog # 971-TM) inhibition of Recombinant Human MMP‑2 (0.2 µg/mL, Catalog # 902-MPN or 902-MP) cleavage of the fluorogenic peptide substrate Mca‑PLGL‑Dpa‑AR‑NH2 (10 µM, Catalog # ES001). The Neutralization Dose (ND50) is typically 2.6 µg/mL.

Reviewed Applications

Read 2 reviews rated 4 using AF971 in the following applications:

Formulation, Preparation, and Storage

Purification

Antigen Affinity-purified

Reconstitution

Reconstitute at 0.2 mg/mL in sterile PBS. For liquid material, refer to CoA for concentration.

Reconstitution Buffer Available:
Size / Price
Qty
Loading...

Formulation

Lyophilized from a 0.2 μm filtered solution in PBS with Trehalose. See Certificate of Analysis for details.
*Small pack size (-SP) is supplied either lyophilized or as a 0.2 µm filtered solution in PBS.

Shipping

Lyophilized product is shipped at ambient temperature. Liquid small pack size (-SP) is shipped with polar packs. Upon receipt, store immediately at the temperature recommended below.

Stability & Storage

Use a manual defrost freezer and avoid repeated freeze-thaw cycles.
  • 12 months from date of receipt, -20 to -70 °C as supplied.
  • 1 month, 2 to 8 °C under sterile conditions after reconstitution.
  • 6 months, -20 to -70 °C under sterile conditions after reconstitution.

Background: TIMP-2

Tissue inhibitors of metalloproteinases or TIMPs are a family of proteins that regulate the activation and proteolytic activity of the zinc enzymes known as matrix metalloproteinases (MMPs). There are four members of the family, TIMP-1, TIMP-2, TIMP-3, and TIMP-4. TIMP-2 is a non N-glycosylated protein with a molecular mass of 22 kDa produced by a wide range of cell types, which inhibits MMPs non-covalently by the formation of binary complexes. TIMP-2 also has erythroid-potentiating and cell growth promoting activities.

Long Name

Tissue Inhibitors of Metalloproteinases 2

Alternate Names

TIMP2

Entrez Gene IDs

7077 (Human); 21858 (Mouse); 29543 (Rat)

Gene Symbol

TIMP2

UniProt

Additional TIMP-2 Products

Product Documents for Human/Mouse TIMP-2 Antibody

Certificate of Analysis

To download a Certificate of Analysis, please enter a lot number in the search box below.

Note: Certificate of Analysis not available for kit components.

Product Specific Notices for Human/Mouse TIMP-2 Antibody

For research use only

Loading...
Loading...
Loading...
Loading...