Skip to main content

Key Product Details

Validated by

Knockout/Knockdown

Species Reactivity

Validated:

Human, Mouse

Cited:

Human, Mouse

Applications

Validated:

Knockout Validated, Immunohistochemistry, Western Blot, Simple Western

Cited:

Immunohistochemistry, Western Blot, Plasma Culture

Label

Unconjugated

Antibody Source

Polyclonal Sheep IgG

Product Specifications

Immunogen

E. coli-derived recombinant mouse S100A6
Met1-Lys89
Accession # P14069

Specificity

Detects human and mouse S100A6 in direct ELISAs and Western blots. In direct ELISAs, less than 2% cross-reactivity with recombinant mouse S100A1 and recombinant mouse S100A4 is observed.

Clonality

Polyclonal

Host

Sheep

Isotype

IgG

Scientific Data Images for Human/Mouse S100A6 Antibody

Detection of Mouse S100A6 antibody by Western Blot.

Detection of Mouse S100A6 by Western Blot.

Western blot shows lysates of RAW 264.7 mouse monocyte/macrophage cell line and NIH-3T3 mouse embryonic fibroblast cell line. PVDF membrane was probed with 1 µg/mL of Sheep Anti-Human/ Mouse S100A6 Antigen Affinity-purified Polyclonal Antibody (Catalog # AF4584) followed by HRP-conjugated Anti-Sheep IgG Secondary Antibody (Catalog # HAF016). A specific band was detected for S100A6 at approximately 10 kDa (as indicated). This experiment was conducted under reducing conditions and using Immunoblot Buffer Group 8.
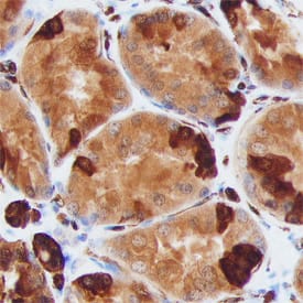
S100A6 antibody in Human Kidney by Immunohistochemistry (IHC-P).

S100A6 in Human Kidney.

S100A6 was detected in immersion fixed paraffin-embedded sections of human kidney using Sheep Anti-Human/Mouse S100A6 Antigen Affinity-purified Polyclonal Antibody (Catalog # AF4584) at 3 µg/mL overnight at 4 °C. Before incubation with the primary antibody, tissue was subjected to heat-induced epitope retrieval using Antigen Retrieval Reagent-Basic (Catalog # CTS013). Tissue was stained using the Anti-Sheep HRP-DAB Cell & Tissue Staining Kit (brown; Catalog # CTS019) and counterstained with hematoxylin (blue). Specific staining was localized to epithelial cells in convoluted tubules. View our protocol for Chromogenic IHC Staining of Paraffin-embedded Tissue Sections.
Detection of Mouse S100A6 antibody by Simple WesternTM.

Detection of Mouse S100A6 by Simple WesternTM.

Simple Western lane view shows lysates of NIH-3T3 mouse embryonic fibroblast cell line and RAW 264.7 mouse monocyte/macrophage cell line, loaded at 0.2 mg/mL. A specific band was detected for S100A6 at approximately 7 kDa (as indicated) using 10 µg/mL of Sheep Anti-Human/Mouse S100A6 Antigen Affinity-purified Polyclonal Antibody (Catalog # AF4584) followed by 1:50 dilution of HRP-conjugated Anti-Sheep IgG Secondary Antibody (Catalog # HAF016). This experiment was conducted under reducing conditions and using the 12-230 kDa separation system.

Applications for Human/Mouse S100A6 Antibody

Application
Recommended Usage

Immunohistochemistry

5-15 µg/mL
Sample: Immersion fixed paraffin-embedded sections of human kidney

Knockout Validated

S100A6 is specifically detected in HEK293T human embryonic kidney parental cell line but is not detectable in S100A6 knockout HEK293T cell line.

Simple Western

10 µg/mL
Sample: NIH‑3T3 mouse embryonic fibroblast cell line and RAW 264.7 mouse monocyte/macrophage cell line

Western Blot

1 µg/mL
Sample: RAW 264.7 mouse monocyte/macrophage cell line and NIH-3T3 mouse embryonic fibroblast cell line

Formulation, Preparation, and Storage

Purification

Antigen Affinity-purified

Reconstitution

Reconstitute at 0.2 mg/mL in sterile PBS. For liquid material, refer to CoA for concentration.

Reconstitution Buffer Available:
Size / Price
Qty
Loading...

Formulation

Lyophilized from a 0.2 μm filtered solution in PBS with Trehalose. *Small pack size (SP) is supplied either lyophilized or as a 0.2 µm filtered solution in PBS.

Shipping

Lyophilized product is shipped at ambient temperature. Liquid small pack size (-SP) is shipped with polar packs. Upon receipt, store immediately at the temperature recommended below.

Stability & Storage

Use a manual defrost freezer and avoid repeated freeze-thaw cycles.
  • 12 months from date of receipt, -20 to -70 °C as supplied.
  • 1 month, 2 to 8 °C under sterile conditions after reconstitution.
  • 6 months, -20 to -70 °C under sterile conditions after reconstitution.

Background: S100A6

Mouse S100A6 (also prolactin receptor-associated protein and calcyclin) is a 10 kDa member of the S100 family of calcium-binding proteins. S100A6 is 89 amino acids (aa) in length and contains two calcium-binding EF-hand domains (aa 12‑47 and 48‑83). Intracellularly, S100A6 will both noncovalently homodimerize and heterodimerize with S100B plus SGT1. Extracellularly, it is secreted via a noncanonical pathway and binds to RAGE, inducing apoptosis. It is expressed by neurons, endothelium, fibroblasts and glandular epithelia. Mouse S100A6 is 99% and 96% aa identical to rat and human S100A6, respectively.

Long Name

S100 Calcium Binding Protein A6

Alternate Names

CACY, MLN 4, PRA

Entrez Gene IDs

6277 (Human); 20200 (Mouse); 85247 (Rat)

Gene Symbol

S100A6

UniProt

Additional S100A6 Products

Product Documents for Human/Mouse S100A6 Antibody

Certificate of Analysis

To download a Certificate of Analysis, please enter a lot number in the search box below.

Note: Certificate of Analysis not available for kit components.

Product Specific Notices for Human/Mouse S100A6 Antibody

For research use only

Loading...
Loading...
Loading...
Loading...