Skip to main content

Key Product Details

Species Reactivity

Human, Mouse, Rat

Applications

Immunohistochemistry, Western Blot, Immunocytochemistry, Simple Western

Label

Unconjugated

Antibody Source

Recombinant Monoclonal Rabbit IgG Clone # 2072A

Product Specifications

Immunogen

E. coli-derived recombinant human STK3
Ala339-Asp456
Accession # Q13188

Specificity

Detects human STK3 in direct ELISAs and Western blots.

Clonality

Monoclonal

Host

Rabbit

Isotype

IgG

Scientific Data Images for Human/Mouse/Rat MST2/STK3 Antibody

Detection of Human, Mouse, and Rat MST2/STK3 antibody by Western Blot.

Detection of Human, Mouse, and Rat MST2/STK3 by Western Blot.

Western blot shows lysates of A431 human epithelial carcinoma cell line, HeLa human cervical epithelial carcinoma cell line, A20 mouse B cell lymphoma cell line, C6 rat glioma cell line, and Ramos human Burkitt's lymphoma cell line. PVDF membrane was probed with 0.1 µg/mL of Rabbit Anti-Human/Mouse/Rat MST2/STK3 Monoclonal Antibody (Catalog # MAB4549) followed by HRP-conjugated Anti-Rabbit IgG Secondary Antibody (Catalog # HAF008). A specific band was detected for MST2/STK3 at approximately 65 kDa (as indicated). This experiment was conducted under reducing conditions and using Immunoblot Buffer Group 1.
MST2/STK3 antibody in A431 Human Cell Line by Immunocytochemistry (ICC).

MST2/STK3 in A431 Human Cell Line.

MST2/STK3 was detected in immersion fixed A431 human epithelial carcinoma cell line using Rabbit Anti-Human MST2/STK3 Monoclonal Antibody (Catalog # MAB4549) at 3 µg/mL for 3 hours at room temperature. Cells were stained using the NorthernLights™ 557-conjugated Anti-Rabbit IgG Secondary Antibody (red; Catalog # NL004) and counterstained with DAPI (blue). Specific staining was localized to cytoplasm and nuclei. View our protocol for Fluorescent ICC Staining of Cells on Coverslips.
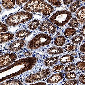
MST2/STK3 antibody in Human Kidney by Immunohistochemistry (IHC-P).

MST2/STK3 in Human Kidney.

MST2/STK3 was detected in immersion fixed paraffin-embedded sections of human kidney using Rabbit Anti-Human/Mouse/Rat MST2/STK3 Monoclonal Antibody (Catalog # MAB4549) at 0.3 µg/mL for 1 hour at room temperature followed by incubation with the Anti-Rabbit IgG VisUCyte™ HRP Polymer Antibody (Catalog # VC003). Tissue was stained using DAB (brown) and counterstained with hematoxylin (blue). Specific staining was localized to cytoplasm and nuclei in epithelial cells in convoluted tubules. View our protocol for IHC Staining with VisUCyte HRP Polymer Detection Reagents.

Applications for Human/Mouse/Rat MST2/STK3 Antibody

Application
Recommended Usage

Immunocytochemistry

3-25 µg/mL
Sample: Immersion fixed A431 human epithelial carcinoma cell line

Immunohistochemistry

0.3-25 µg/mL
Sample: Immersion fixed paraffin-embedded sections of human kidney

Simple Western

1 µg/mL
Sample: HeLa human cervical epithelial carcinoma cell line, MCF‑7 human breast cancer cell line, NIH‑3T3 mouse embryonic fibroblast cell line, and L6 rat myoblast cell line

Western Blot

0.1 µg/mL
Sample: A431 human epithelial carcinoma cell line, HeLa human cervical epithelial carcinoma cell line, A20 mouse B cell lymphoma cell line, C6 rat glioma cell line, and Ramos human Burkitt's lymphoma cell line

Formulation, Preparation, and Storage

Purification

Protein A or G purified from hybridoma culture supernatant

Reconstitution

Reconstitute at 0.5 mg/mL in sterile PBS. For liquid material, refer to CoA for concentration.

Reconstitution Buffer Available:
Size / Price
Qty
Loading...

Formulation

Lyophilized from a 0.2 μm filtered solution in PBS with Trehalose. *Small pack size (SP) is supplied either lyophilized or as a 0.2 µm filtered solution in PBS.

Shipping

Lyophilized product is shipped at ambient temperature. Liquid small pack size (-SP) is shipped with polar packs. Upon receipt, store immediately at the temperature recommended below.

Stability & Storage

Use a manual defrost freezer and avoid repeated freeze-thaw cycles.
  • 12 months from date of receipt, -20 to -70 °C as supplied.
  • 1 month, 2 to 8 °C under sterile conditions after reconstitution.
  • 6 months, -20 to -70 °C under sterile conditions after reconstitution.

Background: MST2/STK3

MST2 (mammalian sterile twenty-like 2; also known as STK3 and Krs-1) is a 58 kDa member of the GCKII group of the STE20 subfamily of the STE Ser/Thr kinase protein family. In human, MST2 is 491 amino acids (aa) in length. It contains one kinase domain (aa 27‑278), two NESs (aa 361‑371 and 438‑447) and coiled-coil domains (aa 287‑328 and 442‑475), and one NLS (aa 473‑487). A caspase-cleavage site exists between Asp322‑Ser323. MST2 is normally inactive in the cytoplasm bound to Raf-1. Cell activation induces Raf-1:MST2 dissociation, MST2 cleavage, and N-terminal translocation to the nucleus. Human MST2 is 99% and 96% aa identical to canine and mouse MST2, respectively.

Alternate Names

KRS1, Mess1, MST3, STK3

Entrez Gene IDs

6788 (Human); 56274 (Mouse)

Gene Symbol

STK3

UniProt

Additional MST2/STK3 Products

Product Documents for Human/Mouse/Rat MST2/STK3 Antibody

Certificate of Analysis

To download a Certificate of Analysis, please enter a lot number in the search box below.

Note: Certificate of Analysis not available for kit components.

Product Specific Notices for Human/Mouse/Rat MST2/STK3 Antibody

* Contains <0.1% Sodium Azide, which is not hazardous at this concentration according to GHS classifications. Refer to SDS for additional information and handling instructions.

For research use only

Loading...
Loading...
Loading...
Loading...