Skip to main content

Human/Mouse/Rat CaM Kinase II Pan Specific Antibody

R&D Systems, part of Bio-Techne | Catalog # MAB7280

R&D Systems, part of Bio-Techne

Key Product Details

Species Reactivity

Validated:

Human, Mouse, Rat

Cited:

Rat

Applications

Validated:

Immunohistochemistry, Western Blot, Immunocytochemistry

Cited:

Western Blot

Label

Unconjugated

Antibody Source

Monoclonal Mouse IgG2B Clone # 990714

Product Specifications

Immunogen

E. coli-derived recombinant human CaM Kinase II gamma
Ala448-Gln558
Accession # Q13555

Specificity

Detects human CaM Kinase II gamma in direct ELISAs. Detects human CaM Kinase II alpha, beta, gamma, and delta in Western blots. Detects human, mouse, and rat CaM Kinase II in Western blots.

Clonality

Monoclonal

Host

Mouse

Isotype

IgG2B

Scientific Data Images for Human/Mouse/Rat CaM Kinase II Pan Specific Antibody

Detection of Human, Mouse, and Rat CaM Kinase II antibody by Western Blot.

Detection of Human, Mouse, and Rat CaM Kinase II by Western Blot.

Western blot shows lysates of human brain (hippocampus) tissue, mouse brain tissue, and rat brain tissue. PVDF membrane was probed with 1 µg/mL of Mouse Anti-Human/Mouse/Rat CaM Kinase II Pan Specific Monoclonal Antibody (Catalog # MAB7280) followed by HRP-conjugated Anti-Mouse IgG Secondary Antibody (Catalog # HAF018). A specific band was detected for CaM Kinase II at approximately 50 and 60 kDa (as indicated). This experiment was conducted under reducing conditions and using Immunoblot Buffer Group 1.
Detection of Recombinant Human CaM Kinase II a,  beta ?, and d antibody by Western Blot.

Detection of Recombinant Human CaM Kinase II alpha, beta gamma, and delta by Western Blot.

Western blot shows lysates of recombinant human CaM Kinase II a, recombinant human CaM Kinase II beta, recombinant human CaM Kinase II gamma, and recombinant human CaM Kinase II d. PVDF membrane was probed with 1 µg/mL of Mouse Anti-Human/Mouse/Rat CaM Kinase II Pan Specific Monoclonal Antibody (Catalog # MAB7280) followed by HRP-conjugated Anti-Sheep IgG Secondary Antibody (Catalog # HAF016). This experiment was conducted under reducing conditions and using Immunoblot Buffer Group 1.
CaM Kinase II antibody in PC-3 Human Cell Line by Immunocytochemistry (ICC).

CaM Kinase II in PC‑3 Human Cell Line.

CaM Kinase II was detected in immersion fixed PC-3 human prostate cancer cell line using Mouse Anti-Human/Mouse/Rat CaM Kinase II Pan Specific Monoclonal Antibody (Catalog # MAB7280) at 8 µg/mL for 3 hours at room temperature. Cells were stained using the NorthernLights™ 557-conjugated Anti-Mouse IgG Secondary Antibody (red; Catalog # NL007) and counterstained with DAPI (blue). Specific staining was localized to cytoplasm. View our protocol for Fluorescent ICC Staining of Cells on Coverslips.

Applications for Human/Mouse/Rat CaM Kinase II Pan Specific Antibody

Application
Recommended Usage

Immunocytochemistry

5-25 µg/mL
Sample: Immersion fixed PC-3 human prostate cancer cell line and immersion fixed C2C12 mouse myoblast cell line

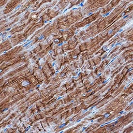
Immunohistochemistry

0.5-25 µg/mL
Sample: Immersion fixed paraffin-embedded sections of human heart, immersion fixed paraffin-embedded sections of human intestine, and perfusion fixed frozen sections of mouse brain (brainstem)

Western Blot

1 µg/mL
Sample: Human brain (hippocampus) tissue, Mouse brain tissue, Rat brain tissue, Recombinant human CaM Kinase II alpha, Recombinant human CaM Kinase II beta, Recombinant human CaM Kinase II gamma, and Recombinant human CaM Kinase II delta

Formulation, Preparation, and Storage

Purification

Protein A or G purified from hybridoma culture supernatant

Reconstitution

Reconstitute at 0.5 mg/mL in sterile PBS. For liquid material, refer to CoA for concentration.

Reconstitution Buffer Available:
Size / Price
Qty
Loading...

Formulation

Lyophilized from a 0.2 μm filtered solution in PBS with Trehalose. *Small pack size (SP) is supplied either lyophilized or as a 0.2 µm filtered solution in PBS.

Shipping

Lyophilized product is shipped at ambient temperature. Liquid small pack size (-SP) is shipped with polar packs. Upon receipt, store immediately at the temperature recommended below.

Stability & Storage

Use a manual defrost freezer and avoid repeated freeze-thaw cycles.
  • 12 months from date of receipt, -20 to -70 °C as supplied.
  • 1 month, 2 to 8 °C under sterile conditions after reconstitution.
  • 6 months, -20 to -70 °C under sterile conditions after reconstitution.

Background: CaM Kinase II

Calcium/calmodulin-dependent protein kinase type II gamma (CaMKII gamma) belongs to a family of multifunctional serine/threonine kinases activated in response to increases in intracellular calcium. There are 4 CaMKII isozymes, alpha, beta, gamma, and delta, and each can yield several isoforms through alternative splicing. CaMKII isoforms assemble into homo- or heteromultimeric holoenzymes composed of 8 to 12 subunits. The widely expressed CaMKII gamma from human, mouse, and rat share 100% aa sequence identity within aa 448-558 of isoform 1.

Long Name

Calcium/Calmodulin-dependent Protein Kinase II

Alternate Names

CAMK2, CAMK2B

UniProt

Additional CaM Kinase II Products

Product Documents

Certificate of Analysis

To download a Certificate of Analysis, please enter a lot number in the search box below.

Note: Certificate of Analysis not available for kit components.

Product Specific Notices for Human/Mouse/Rat CaM Kinase II Pan Specific Antibody

For research use only

Loading...
Loading...
Loading...
Loading...