alpha‑Smooth Muscle Actin in BG01V Human Embryonic Stem Cells.
a-Smooth Muscle Actin was detected in immersion fixed BG01V human embryonic stem cells differentiated to cardiomyocytes using Mouse Anti-Human/Mouse/ Rat a-Smooth Muscle Actin Monoclonal Antibody (Catalog # MAB1420) at 10 µg/mL for 3 hours at room temperature. Cells were stained using the NorthernLights™ 557-conjugated Anti-Mouse IgG Secondary Antibody (red;
NL007) and counterstained with DAPI (blue). Specific staining was localized to cytoplasm and cytoskeleton. View our protocol for Fluorescent ICC Staining of Cells on Coverslips.
alpha-Smooth Muscle Actin in Human Breast Cancer Tissue.
a-Smooth Muscle Actin was detected in immersion fixed paraffin-embedded sections of human breast cancer tissue using Mouse Anti-Human/ Mouse/Rat a-Smooth Muscle Actin Monoclonal Antibody (Catalog # MAB1420) at 8 µg/mL overnight at 4 °C. Tissue was stained using the Anti-Mouse HRP-DAB Cell & Tissue Staining Kit (brown;
CTS002) and counterstained with hematoxylin (blue). View our protocol for Chromogenic IHC Staining of Paraffin-embedded Tissue Sections.
Detection of Human alpha‑Smooth Muscle Actin by Simple WesternTM.
Simple Western lane view shows lysates of iBJ6 human induced pluripotent stem cell line untreated (-) or differentiated to cardiomyocytes (+), loaded at 0.2 mg/mL. A specific band was detected for alpha‑Smooth Muscle Actin at approximately 49 kDa (as indicated) using 10 µg/mL of Mouse Anti-Human/Mouse/Rat alpha‑Smooth Muscle Actin Monoclonal Antibody (Catalog # MAB1420) . This experiment was conducted under reducing conditions and using the 12-230 kDa separation system.
alpha-Smooth Muscle Actin in Human Breast Cancer Tissue Using Dual RNAscope®ISH and IHC.
alpha-Smooth Muscle Actin mRNA was detected (top image) in formalin-fixed paraffin-embedded tissue sections of human breast cancer tissue probed with ACD RNAScope® Probe (Catalog # 444771-C2) and stained using ACD RNAscope® 2.5 HD Duplex Detection Reagents (red, Catalog # 322500). Adjacent tissue section (bottom image) was processed for immunohistochemistry using R&D Systems Mouse Anti-Human/Mouse/Rat alpha-Smooth Muscle Actin Monoclonal Antibody (Catalog # MAB1420) at 0.5 μg/mL for 1 hour at room temperature followed by incubation with the Anti-Mouse IgG VisUCyte HRP Polymer Antibody (
VC001) and DAB chromogen (brown). Tissues were counterstained with hematoxylin (blue).
Detection of alpha‑Smooth Muscle Actin in Human Blood Monocytes by Flow Cytometry.
Human peripheral blood monocytes were stained with Mouse Anti-Human/Mouse/Rat a-Smooth Muscle Actin Monoclonal Antibody (Catalog # MAB1420, filled histogram) or isotype control antibody (
MAB003, open histogram), followed by Allophycocyanin-conjugated Anti-Mouse IgG Secondary Antibody (
F0101B). To facilitate intracellular staining, cells were fixed with Flow Cytometry Fixation Buffer (
FC004) and permeabilized with Flow Cytometry Permeabilization/Wash Buffer I (Catalog #
FC005). View our protocol for Staining Intracellular Molecules.
Detection of Human alpha-Smooth Muscle Actin by Immunocytochemistry/Immunofluorescence
Overview of Multi-dimensional Microscopic Molecular Profiling (MMMP).The overall MMMP approach is depicted using an example tissue section from normal human duodenum (sample #1.9.7). (a) Slides were subjected to repeated cycles of staining and imaging with fluorescent primary antibodies and DAPI. At the end of each cycle, fluorescent signal was removed by a chemical bleaching process, and slides were again imaged, before proceeding to the next round of this iterative procedure. After the final antibody stain (#15 Sma), slides were analyzed with a series of histochemical stains. (b) A set of tiling images spanning each tissue section was initially generated by the microscope system. The tiling images were then computationally ‘stitched’ together to produce a single image per staining cycle for each sample. (c) Image registration was performed to align images from the same tissue section across cycles. Mean intensities of the DAPI signal from all immuno-fluorescence images are shown from before (Unregistered) and after (Registered) the image registration procedure was completed. (d) Following registration, signal intensities from the relevant channels for each image (columns) in the MMMP series were extracted for each pixel (rows) within the tissue section and compiled into a large data matrix of in situ molecular profiles. Image collected and cropped by CiteAb from the following publication (https://dx.plos.org/10.1371/journal.pone.0128975), licensed under a CC-BY license. Not internally tested by R&D Systems.
Detection of Human alpha-Smooth Muscle Actin by Immunocytochemistry/Immunofluorescence
Functional glycosylation of alpha‐dystroglycan and characterization of dystroglycanopathy patient‐specific iPSCsCurrent model of the core M3 functional glycan structure on alpha‐dystroglycan and enzymes involved in its synthesis. ECM ligands, such as laminins, bind to the Xyl‐GlucA disaccharide repeats (IIH6 epitope). Man, mannose; GlcNAc, N‐acetylglucosamine; GalNAc, N‐acetylgalactosamine; Rbo5P, ribitol‐5‐phosphate; Xyl, xylose; GlcA, glucuronic acid.Representative images of immunostaining demonstrate that FKRP‐iPSCs express specific pluripotency‐associated markers, including NANOG, OCT4, Tra‐1‐60, and SSEA4.FKRP‐iPSCs have a normal karyotype.In vitro differentiation of FKRP‐iPSCs to cells representing ectoderm ( beta‐III Tubulin, Tuj1), mesoderm (SMA, smooth muscle actin), and endoderm (AFP, alpha‐fetoprotein).Data information: Scale bars, 50 μm. Image collected and cropped by CiteAb from the following publication (https://pubmed.ncbi.nlm.nih.gov/31566294), licensed under a CC-BY license. Not internally tested by R&D Systems.
Detection of Human Human/Mouse/Rat alpha-Smooth Muscle Actin Antibody by Immunohistochemistry
Overview of Multi-dimensional Microscopic Molecular Profiling (MMMP).The overall MMMP approach is depicted using an example tissue section from normal human duodenum (sample #1.9.7). (a) Slides were subjected to repeated cycles of staining and imaging with fluorescent primary antibodies and DAPI. At the end of each cycle, fluorescent signal was removed by a chemical bleaching process, and slides were again imaged, before proceeding to the next round of this iterative procedure. After the final antibody stain (#15 Sma), slides were analyzed with a series of histochemical stains. (b) A set of tiling images spanning each tissue section was initially generated by the microscope system. The tiling images were then computationally ‘stitched’ together to produce a single image per staining cycle for each sample. (c) Image registration was performed to align images from the same tissue section across cycles. Mean intensities of the DAPI signal from all immuno-fluorescence images are shown from before (Unregistered) and after (Registered) the image registration procedure was completed. (d) Following registration, signal intensities from the relevant channels for each image (columns) in the MMMP series were extracted for each pixel (rows) within the tissue section and compiled into a large data matrix of in situ molecular profiles. Image collected and cropped by CiteAb from the following publication (https://pubmed.ncbi.nlm.nih.gov/26176839), licensed under a CC-BY license. Not internally tested by R&D Systems.
Detection of Human Human/Mouse/Rat alpha-Smooth Muscle Actin Antibody by Immunocytochemistry/ Immunofluorescence
Functional glycosylation of alpha‐dystroglycan and characterization of dystroglycanopathy patient‐specific iPSCsCurrent model of the core M3 functional glycan structure on alpha‐dystroglycan and enzymes involved in its synthesis. ECM ligands, such as laminins, bind to the Xyl‐GlucA disaccharide repeats (IIH6 epitope). Man, mannose; GlcNAc, N‐acetylglucosamine; GalNAc, N‐acetylgalactosamine; Rbo5P, ribitol‐5‐phosphate; Xyl, xylose; GlcA, glucuronic acid.Representative images of immunostaining demonstrate that FKRP‐iPSCs express specific pluripotency‐associated markers, including NANOG, OCT4, Tra‐1‐60, and SSEA4.FKRP‐iPSCs have a normal karyotype.In vitro differentiation of FKRP‐iPSCs to cells representing ectoderm ( beta‐III Tubulin, Tuj1), mesoderm (SMA, smooth muscle actin), and endoderm (AFP, alpha‐fetoprotein).Data information: Scale bars, 50 μm. Image collected and cropped by CiteAb from the following publication (https://pubmed.ncbi.nlm.nih.gov/31566294), licensed under a CC-BY license. Not internally tested by R&D Systems.
Detection of Human alpha-Smooth Muscle Actin by Immunocytochemistry/ Immunofluorescence
Functional glycosylation of alpha‐dystroglycan and characterization of dystroglycanopathy patient‐specific iPSCsCurrent model of the core M3 functional glycan structure on alpha‐dystroglycan and enzymes involved in its synthesis. ECM ligands, such as laminins, bind to the Xyl‐GlucA disaccharide repeats (IIH6 epitope). Man, mannose; GlcNAc, N‐acetylglucosamine; GalNAc, N‐acetylgalactosamine; Rbo5P, ribitol‐5‐phosphate; Xyl, xylose; GlcA, glucuronic acid.Representative images of immunostaining demonstrate that FKRP‐iPSCs express specific pluripotency‐associated markers, including NANOG, OCT4, Tra‐1‐60, and SSEA4.FKRP‐iPSCs have a normal karyotype.In vitro differentiation of FKRP‐iPSCs to cells representing ectoderm ( beta‐III Tubulin, Tuj1), mesoderm (SMA, smooth muscle actin), and endoderm (AFP, alpha‐fetoprotein).Data information: Scale bars, 50 μm. Image collected and cropped by CiteAb from the following open publication (https://pubmed.ncbi.nlm.nih.gov/31566294), licensed under a CC-BY license. Not internally tested by R&D Systems.
Detection of Rat alpha-Smooth Muscle Actin by Western Blot
Effect of media composition on RBEC barrier formation&characteristics. (a) Comparison of the effects of the DMEM/MVGS&EBM-2/EGM-2 media formulations on the TEER of RBECs grown for 14 days on cell culture inserts. Data is presented as mean ± SEM&was analysed using an unpaired, two-tailed students t-test, ***P < 0.0001; n = 5 independent cell culture experiments in 24-well plates, with 3 inserts per experiment, equivalent to 15 inserts total . (b) Calculated permeability coefficients for the paracellular passage of 100 μM (50 μg/mL) Lucifer yellow over a 90 minute period at 37°C across RBEC monolayers on cell culture inserts cultured in DMEM/MVGS&EBM-2/EGM-2 media formulations. Data is presented as mean ± SEM&was analysed using an unpaired, two-tailed students t-test, ***P < 0.0001; n = 5 independent cell culture experiments, with 3 inserts per experiment, equivalent to 15 inserts total. Fluorescence microscope images of RBECs stained with an antibody raised against the tight junction protein claudin-5 following culture in (c) DMEM/MVGS supplement, or (d) EBM-2/EGM-2. White arrows indicate regions of discontinuous claudin-5 staining. Images are representative of 3 independent cultures, with five fields of view taken from each individual preparation of cells using the 20× objective on an Olympus IX81 microscope. (e) WB analysis of claudin-5 protein expression levels in RBECs cultured in DMEM/MVGS&EBM-2/EGM-2. Blots reprobed with anti-actin antibodies as a control for equal loading of cell lysates. (f) Densitometry analysis of claudin-5 band intensity, normalised to actin levels, for RBECs grown in DMEM/MVGS vs. EBM-2/EGM-2. Data is presented as mean ± SEM&was analysed using an unpaired, two-tailed students t-test, *P < 0.01; n = 3 independent experiments. Image collected&cropped by CiteAb from the following open publication (https://pubmed.ncbi.nlm.nih.gov/23773766), licensed under a CC-BY license. Not internally tested by R&D Systems.
Detection of Human alpha-Smooth Muscle Actin by Immunohistochemistry
Overview of Multi-dimensional Microscopic Molecular Profiling (MMMP).The overall MMMP approach is depicted using an example tissue section from normal human duodenum (sample #1.9.7). (a) Slides were subjected to repeated cycles of staining and imaging with fluorescent primary antibodies and DAPI. At the end of each cycle, fluorescent signal was removed by a chemical bleaching process, and slides were again imaged, before proceeding to the next round of this iterative procedure. After the final antibody stain (#15 Sma), slides were analyzed with a series of histochemical stains. (b) A set of tiling images spanning each tissue section was initially generated by the microscope system. The tiling images were then computationally ‘stitched’ together to produce a single image per staining cycle for each sample. (c) Image registration was performed to align images from the same tissue section across cycles. Mean intensities of the DAPI signal from all immuno-fluorescence images are shown from before (Unregistered) and after (Registered) the image registration procedure was completed. (d) Following registration, signal intensities from the relevant channels for each image (columns) in the MMMP series were extracted for each pixel (rows) within the tissue section and compiled into a large data matrix of in situ molecular profiles. Image collected and cropped by CiteAb from the following open publication (https://pubmed.ncbi.nlm.nih.gov/26176839), licensed under a CC-BY license. Not internally tested by R&D Systems.
Detection of Human alpha-Smooth Muscle Actin by Immunocytochemistry/ Immunofluorescence
Overview of Multi-dimensional Microscopic Molecular Profiling (MMMP).The overall MMMP approach is depicted using an example tissue section from normal human duodenum (sample #1.9.7). (a) Slides were subjected to repeated cycles of staining and imaging with fluorescent primary antibodies and DAPI. At the end of each cycle, fluorescent signal was removed by a chemical bleaching process, and slides were again imaged, before proceeding to the next round of this iterative procedure. After the final antibody stain (#15 Sma), slides were analyzed with a series of histochemical stains. (b) A set of tiling images spanning each tissue section was initially generated by the microscope system. The tiling images were then computationally ‘stitched’ together to produce a single image per staining cycle for each sample. (c) Image registration was performed to align images from the same tissue section across cycles. Mean intensities of the DAPI signal from all immuno-fluorescence images are shown from before (Unregistered) and after (Registered) the image registration procedure was completed. (d) Following registration, signal intensities from the relevant channels for each image (columns) in the MMMP series were extracted for each pixel (rows) within the tissue section and compiled into a large data matrix of in situ molecular profiles. Image collected and cropped by CiteAb from the following open publication (https://pubmed.ncbi.nlm.nih.gov/26176839), licensed under a CC-BY license. Not internally tested by R&D Systems.
Detection of alpha-Smooth Muscle Actin in Mouse Lung.
IF staining with a-sma in mouse lung tissue to visualize vessels, 10x. Image from a verified customer review.
Detection of alpha -Smooth Muscle Actin by Western Blot
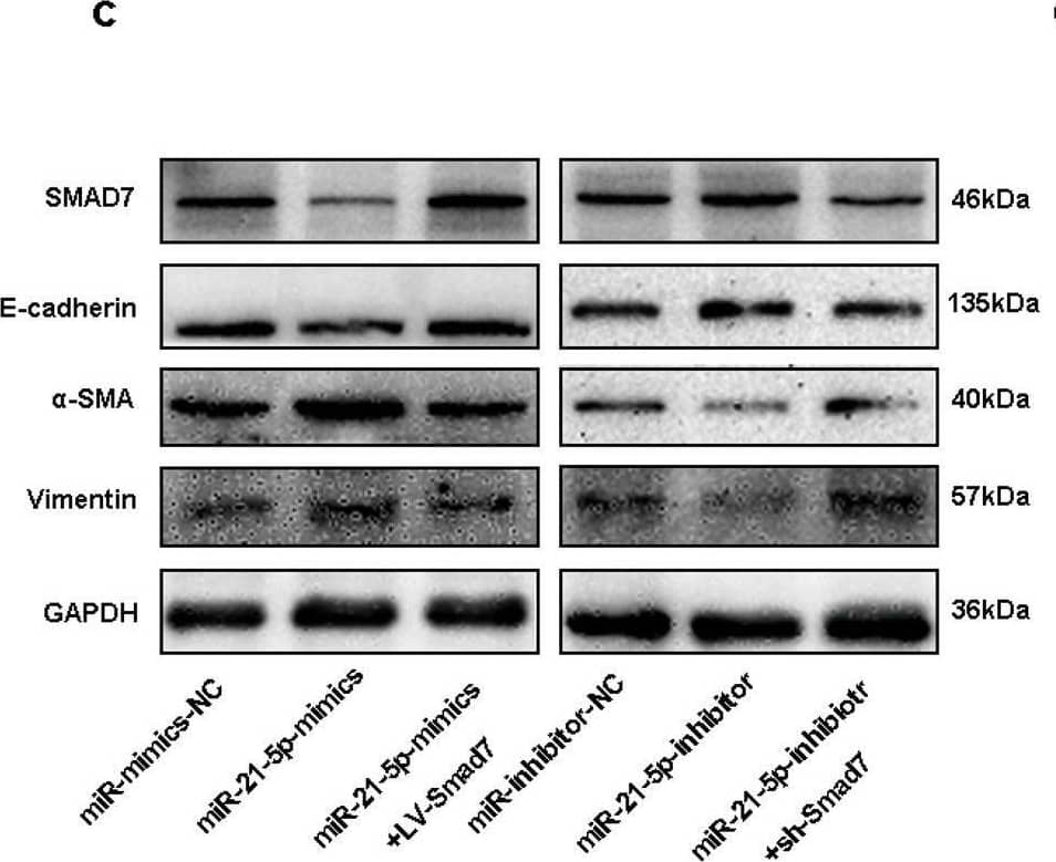
MiR-21-5p promotes MMT of HMrSV5 via targeting SMAD7.a, b To investigate the rescue function of SMAD7, adhesion (Scale bar = 100 µm) and invasion (Scale bar = 100 µm) assays were performed in HMrSV5-miR-21-5p-mimics or HMrSV5-miR-21-5p-inhibitor cells which were transfected with LV-SMAD7 or sh-SMAD7 without its 3’UTR. The negative controls for miR-21-5p-mimics + LV-SMAD7 and miR-21-5p-inhibitor + sh-SMAD7 were miR-21-5p-mimics and miR-21-5p-inhibitor, respectively. c, d The alteration of protein levels (including SMAD7, E-cadherin, alpha-SMA and Vimentin) were measured by western blot. GAPDH was used as a loading control. Each experiment was repeated at least three times. All the data were expressed as the mean ± SEM, and the results of multiple comparisons were corrected with Bonferroni method (Student’s t-test *P < 0.05, **P < 0.01, ***P < 0.001) Image collected and cropped by CiteAb from the following open publication (https://pubmed.ncbi.nlm.nih.gov/30154401), licensed under a CC-BY license. Not internally tested by R&D Systems.
Detection of Rat alpha -Smooth Muscle Actin by Western Blot
Effect of media composition on RBEC barrier formation & characteristics. (a) Comparison of the effects of the DMEM/MVGS & EBM-2/EGM-2 media formulations on the TEER of RBECs grown for 14 days on cell culture inserts. Data is presented as mean ± SEM & was analysed using an unpaired, two-tailed students t-test, ***P < 0.0001; n = 5 independent cell culture experiments in 24-well plates, with 3 inserts per experiment, equivalent to 15 inserts total. (b) Calculated permeability coefficients for the paracellular passage of 100 μM (50 μg/mL) Lucifer yellow over a 90 minute period at 37°C across RBEC monolayers on cell culture inserts cultured in DMEM/MVGS & EBM-2/EGM-2 media formulations. Data is presented as mean ± SEM & was analysed using an unpaired, two-tailed students t-test, ***P < 0.0001; n = 5 independent cell culture experiments, with 3 inserts per experiment, equivalent to 15 inserts total. Fluorescence microscope images of RBECs stained with an antibody raised against the tight junction protein claudin-5 following culture in (c) DMEM/MVGS supplement, or (d) EBM-2/EGM-2. White arrows indicate regions of discontinuous claudin-5 staining. Images are representative of 3 independent cultures, with five fields of view taken from each individual preparation of cells using the 20× objective on an Olympus IX81 microscope. (e) Western blot analysis of claudin-5 protein expression levels in RBECs cultured in DMEM/MVGS & EBM-2/EGM-2. Blots were reprobed with anti-actin antibodies as a control for equal loading of cell lysates. (f) Densitometry analysis of claudin-5 band intensity, normalised to actin levels, for RBECs grown in DMEM/MVGS vs. EBM-2/EGM-2. Data is presented as mean ± SEM & was analysed using an unpaired, two-tailed students t-test, *P < 0.01; n = 3 independent experiments. Image collected & cropped by CiteAb from the following open publication (https://pubmed.ncbi.nlm.nih.gov/23773766), licensed under a CC-BY license. Not internally tested by R&D Systems.
Detection of alpha -Smooth Muscle Actin by Western Blot
MiR-21-5p promotes GC peritoneal metastasis by inducing MMT in vivo. A Western blot was performed to analyse the expression levels of SMAD7, E-cadherin, alpha-SMA, and Vimentin in peritoneal tissues from different groups. GAPDH was used as a loading control. b, d Bioluminescence images of tumor peritoneal dissemination in different groups, and the luciferase activity was analyzed. c, e Representative images were captured from different groups, and tumors were outlined in white. f HE stain for tumor tissues from each groups (Scale bar = 50 µm, 100X magnification; Scale bar = 100 µm, 400X magnification). Each experiment was repeated at least three times. All the data were expressed as mean ± SEM (Student’s t-test *P < 0.05, **P < 0.01, ***P < 0.001) Image collected and cropped by CiteAb from the following open publication (https://pubmed.ncbi.nlm.nih.gov/30154401), licensed under a CC-BY license. Not internally tested by R&D Systems.
Detection of Human alpha -Smooth Muscle Actin by Immunohistochemistry
Overview of Multi-dimensional Microscopic Molecular Profiling (MMMP).The overall MMMP approach is depicted using an example tissue section from normal human duodenum (sample #1.9.7). (a) Slides were subjected to repeated cycles of staining and imaging with fluorescent primary antibodies and DAPI. At the end of each cycle, fluorescent signal was removed by a chemical bleaching process, and slides were again imaged, before proceeding to the next round of this iterative procedure. After the final antibody stain (#15 Sma), slides were analyzed with a series of histochemical stains. (b) A set of tiling images spanning each tissue section was initially generated by the microscope system. The tiling images were then computationally ‘stitched’ together to produce a single image per staining cycle for each sample. (c) Image registration was performed to align images from the same tissue section across cycles. Mean intensities of the DAPI signal from all immuno-fluorescence images are shown from before (Unregistered) and after (Registered) the image registration procedure was completed. (d) Following registration, signal intensities from the relevant channels for each image (columns) in the MMMP series were extracted for each pixel (rows) within the tissue section and compiled into a large data matrix of in situ molecular profiles. Image collected and cropped by CiteAb from the following open publication (https://pubmed.ncbi.nlm.nih.gov/26176839), licensed under a CC-BY license. Not internally tested by R&D Systems.
Detection of alpha -Smooth Muscle Actin by Western Blot
GC-derived exosomes induce MMT of HMrSV5 cells in vivo and promote peritoneal metastasis. A Invasion assays of HMrSV5 cells which were pretreated with 200 µg exosomes isolated from culture supernatant of four GC cells and GES-1 cells. Scale bar = 100 µm. b Adhesion assays of HMrSV5 cells which were pretreated with 200 µg exosomes. Scale bar = 100 µm. Calcein AM labeled BGC823 cells were added to investigate the adhesion ability of HMrSV5. c Bioluminescence images of tumor peritoneal dissemination. d MMT protein markers (Vimentin and alpha-SMA) were identified by immunofluorescence assays in exosomes-treated group and control group. Scale bar = 50 µm. e Western blot was performed to further confirm the MMT protein markers (including E-cadherin, alpha-SMA, and Vimentin). GES-1 cells-derived exosomes were used as the negative control in vivo and in vitro. GAPDH was used as an internal reference for western blot. Each experiment was repeated at least three times. All the data were expressed as mean ± SEM, and the results of multiple comparisons were corrected with Bonferroni method (Student’s t-test *P < 0.05, **P < 0.01, ***P < 0.001) Image collected and cropped by CiteAb from the following open publication (https://pubmed.ncbi.nlm.nih.gov/30154401), licensed under a CC-BY license. Not internally tested by R&D Systems.
Detection of alpha -Smooth Muscle Actin by Western Blot
9-ING-41 blocks TGF-beta mediated fibroblast to myofibroblast transition. Fibroblasts (normal, A,B and IPF, C,D) were treated with various doses of 9-ING-41 (10-0.5 µM) in serum free media. Cells were then treated with TGF-beta for 48 h. Conditioned medias and cell lysates were then resolved by SDS-PAGE and immunoblotted for collagen (Col-1), alpha-SMA, GSK-3 beta, and tyrosine-216 phosphorylated GSK-3 beta. Under control conditions, TGF-beta induced Col-1 and alpha-SMA protein in NF and IPF fibroblasts (A and C). 9-ING-41 (10 and 5 µM) significantly blocked TGF-beta mediated induction of alpha-SMA and Col-1 in NF and IPF cells. Tyr-216 phosphorylation of GSK-3 beta (pGSKt) was likewise reduced by pretreatment with 9-ING-41 in both NF and IPF fibroblasts. Graphed data are the means of n = 3 independent experiments. Images are representative of 3–4 independent experiments. Total RNA was isolated from TGF-beta treated cells in the presence or absence varying doses 9-ING-41 (10–0.5 µM). Changes in alpha-SMA and collagen 1 expression were then determined by qPCR analyses (B and D). GAPDH was used as the reference gene. Data are expressed as mean ± SEM. n = 3 independent experiments. *Denotes p < 0.05 compared to TGF-beta control. Normal (E) and IPF (F) fibroblasts were treated with varying doses of TDZD-8 (40-5 µM) prior to the addition of TGF-beta. Cell lysates and conditioned media were then resolved via SDS-PAGE and probed for changes alpha-SMA and collagen. beta-actin was the loading control. TDZD-8 modestly reduced alpha-SMA and collagen induction by TGF-beta at the highest dose (40 µM). Images are representative of two independent experiments. Image collected and cropped by CiteAb from the following open publication (https://pubmed.ncbi.nlm.nih.gov/31831767), licensed under a CC-BY license. Not internally tested by R&D Systems.
Detection of Human alpha -Smooth Muscle Actin by Western Blot
Restoration of RAR beta expression by RA. (A) mRNA expression levels of RAR beta are significantly increased in LAM cell lines (n=4) compared to controls BSMC and NHLF after 2 μM RA treatment for 24 h. Significant changes are marked as ★ (P<0.05). (B, C), Protein expression levels of RAR beta using immunofluorescence staining in LAM cell lines compared to controls (BSMC and NHLF) after 2 μM RA treatment for 24 h. Immunofluorescence staining RAR beta green, DAPI blue, magnification 40x, size-bar 40 μm. (D, E) Western blot analysis of RAR beta protein levels in LAM cell lines and control cells (NHLF and BSMC). (F, G) Western blot analysis of RAR beta, S6 and pS6 protein levels in S102 cell line compared to S103. WB protein expression levels were quantified by ImageJ and are presented as percentage compared to controls. Changes are marked as N.S. (Non Significant) or significant ★, ★★, ★★★ and ★★★★ (P<0.05, P<0.001, P<0.0002 and P<0.0001, respectively). Image collected and cropped by CiteAb from the following open publication (https://pubmed.ncbi.nlm.nih.gov/34178631), licensed under a CC-BY license. Not internally tested by R&D Systems.
Detection of Human alpha -Smooth Muscle Actin by Western Blot
Restoration of RAR beta expression by RA. (A) mRNA expression levels of RAR beta are significantly increased in LAM cell lines (n=4) compared to controls BSMC and NHLF after 2 μM RA treatment for 24 h. Significant changes are marked as ★ (P<0.05). (B, C), Protein expression levels of RAR beta using immunofluorescence staining in LAM cell lines compared to controls (BSMC and NHLF) after 2 μM RA treatment for 24 h. Immunofluorescence staining RAR beta green, DAPI blue, magnification 40x, size-bar 40 μm. (D, E) Western blot analysis of RAR beta protein levels in LAM cell lines and control cells (NHLF and BSMC). (F, G) Western blot analysis of RAR beta, S6 and pS6 protein levels in S102 cell line compared to S103. WB protein expression levels were quantified by ImageJ and are presented as percentage compared to controls. Changes are marked as N.S. (Non Significant) or significant ★, ★★, ★★★ and ★★★★ (P<0.05, P<0.001, P<0.0002 and P<0.0001, respectively). Image collected and cropped by CiteAb from the following open publication (https://pubmed.ncbi.nlm.nih.gov/34178631), licensed under a CC-BY license. Not internally tested by R&D Systems.
Detection of Mouse alpha -Smooth Muscle Actin by Western Blot
PAI-1 regulates the activation of LX-2 cells involving EMT pathway. (A) Relative mRNA expression of PAI-1 in LX-2 cells when treated with eupatilin (mean ± SD, n = 3). (B) Western blot analysis of PAI-1 in LX-2 cells. (C) Relative protein signal intensity of Figure 4B was quantified as mean ± standard deviation (mean ± SD, n = 3). (D) Protein levels of PAI-1, N-cadherin, COL1 alpha1 and alpha-SMA detected by Western blotting. LX-2 cells were transfected with control (shRNA-Ctrl) or shRNA targeting PAI-1 (shRNA-PAI-1 1 and shRNA-PAI-1 2) for 48 h. (E) Relative protein signal intensity of Figure 4D was quantified as mean ± standard deviation (mean ± SD, n = 3). (F) Cell viability of LX-2 cells transfected with shRNA-Ctrl or shRNA-PAI-1 detected by CCK8 assay (mean ± SD, n = 4). p values are calculated by one-way ANOVA followed by the Tukey’s test. ** p < 0.01 and *** p < 0.001 vs. 0 μM EUP group. #p < 0.05, ##p < 0.01 and ###p < 0.001 vs. shRNA-Ctrl group. EUP: Eupatilin; alpha-SMA: alpha-smooth muscle actin; COL1 alpha1: Collagen type I alpha 1; PAI-1: Plasminogen activator inhibitor-1; GAPDH: Glyceraldehyde-3-phosphate dehydrogenase. Image collected and cropped by CiteAb from the following open publication (https://www.mdpi.com/1422-0067/24/6/5933), licensed under a CC-BY license. Not internally tested by R&D Systems.
Detection of Mouse alpha -Smooth Muscle Actin by Western Blot
Eupatilin represses the activation of LX-2 cells. (A) Chemical structure of eupatilin. (B) Protein expression of COL1 alpha1, alpha-SMA detected 48 h after eupatilin treatment by Western blotting. (C) Relative protein signal intensity was quantified as mean ± standard deviation (mean ± SD, n = 3). p values are calculated by one-way ANOVA followed by the Tukey’s test. * p < 0.05, ** p < 0.01 and *** p < 0.001 vs. 0 μM EUP group. (D) Heatmap showing expression level of collagens evaluated by transcriptome analysis (n = 3). (E) The top five reactome pathways of the DEGs in transcriptome analysis. EUP: Eupatilin; alpha-SMA: alpha-smooth muscle actin; COL1 alpha1: Collagen type I alpha 1; COL1 alpha2: Collagen type I alpha 2; COL8 alpha1: Collagen type VIII alpha 1; COL9 alpha2: Collagen type IX alpha 2; COL12 alpha1: Collagen type XII alpha 1; COL11 alpha1: Collagen type XI alpha 1; COL17 alpha1: Collagen type X VII alpha 1; GAPDH: Glyceraldehyde-3-phosphate dehydrogenase. Image collected and cropped by CiteAb from the following open publication (https://www.mdpi.com/1422-0067/24/6/5933), licensed under a CC-BY license. Not internally tested by R&D Systems.
Detection of Mouse alpha -Smooth Muscle Actin by Western Blot
Eupatilin inhibits expression of COL1 alpha1, alpha-SMA, PAI-1, N-cadherin, and beta-catenin in the liver tissues of model group treated with the high-dose eupatilin. (A) Western blot analysis of COL1 alpha1, alpha-SMA, PAI-1, N-cadherin and beta-catenin in CCl4-induced mice liver tissues treated with eupatilin (40 mg/kg). (B) Relative protein signal intensity was quantified as mean ± standard deviation (mean ± SD, n = 6). ##p < 0.01 and ###p < 0.001 vs. control group. ** p < 0.01 and *** p < 0.001 vs. model group. p values are calculated by one-way ANOVA followed by the Tukey’s test. H-EUP: High-dose eupatilin; COL1 alpha1: Collagen type I alpha 1; alpha-SMA: alpha-smooth muscle actin; PAI-1: Plasminogen activator inhibitor-1; GAPDH: Glyceraldehyde-3-phosphate dehydrogenase; EMT: Epithelial–mesenchymal transition; ECM: Extracellular matrix. Image collected and cropped by CiteAb from the following open publication (https://www.mdpi.com/1422-0067/24/6/5933), licensed under a CC-BY license. Not internally tested by R&D Systems.