Human/Mouse Cyclin B1 Antibody
R&D Systems, part of Bio-Techne | Catalog # AF6000

Key Product Details
Validated by
Species Reactivity
Validated:
Cited:
Applications
Validated:
Cited:
Label
Antibody Source
Product Specifications
Immunogen
Met1-Pro91
Accession # P14635
Specificity
Clonality
Host
Isotype
Scientific Data Images for Human/Mouse Cyclin B1 Antibody
Detection of Human Cyclin B1 by Western Blot.
Western blot shows lysates of U2OS human osteosarcoma cell line, K562 human chronic myelogenous leukemia cell line, HeLa human cervical epithelial carcinoma cell line, and Jurkat human acute T cell leukemia cell line. PVDF Membrane was probed with 0.2 µg/mL of Goat Anti-Human/Mouse Cyclin B1 Antigen Affinity-purified Polyclonal Antibody (Catalog # AF6000) followed by HRP-conjugated Anti-Goat IgG Secondary Antibody (Catalog # HAF017). A specific band was detected for Cyclin B1 at approximately 62 kDa (as indicated). This experiment was conducted under reducing conditions and using Immunoblot Buffer Group 1.Cyclin B1 in Human Lymphoma.
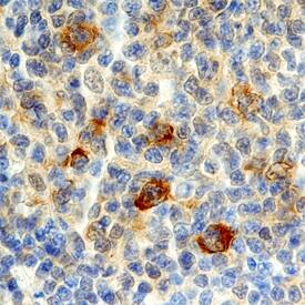
Cyclin B1 was detected in immersion fixed paraffin-embedded sections of human lymphoma using Goat Anti-Human/Mouse Cyclin B1 Antigen Affinity-purified Polyclonal Antibody (Catalog # AF6000) at 10 µg/mL overnight at 4 °C. Before incubation with the primary antibody, tissue was subjected to heat-induced epitope retrieval using Antigen Retrieval Reagent-Basic (Catalog # CTS013). Tissue was stained using the Anti-Goat HRP-DAB Cell & Tissue Staining Kit (brown; Catalog # CTS008) and counter-stained with hematoxylin (blue). Specific staining was localized to cytoplasm in lymphocytes. View our protocol for Chromogenic IHC Staining of Paraffin-embedded Tissue Sections.Detection of Human Cyclin B1 by Simple WesternTM.
Simple Western lane view shows lysates of HeLa human cervical epithelial carcinoma cell line and Jurkat human acute T cell leukemia cell line, loaded at 0.2 mg/mL. A specific band was detected for Cyclin B1 at approximately 67 kDa (as indicated) using 2 µg/mL of Goat Anti-Human/Mouse Cyclin B1 Antigen Affinity-purified Polyclonal Antibody (Catalog # AF6000) followed by 1:50 dilution of HRP-conjugated Anti-Goat IgG Secondary Antibody (Catalog # HAF109). This experiment was conducted under reducing conditions and using the 12-230 kDa separation system.Applications for Human/Mouse Cyclin B1 Antibody
Immunohistochemistry
Sample: Immersion fixed paraffin-embedded sections of human lymphoma
Simple Western
Sample: HeLa human cervical epithelial carcinoma cell line and Jurkat human acute T cell leukemia cell line
Western Blot
Sample: U2OS human osteosarcoma cell line, K562 human chronic myelogenous leukemia cell line, HeLa human cervical epithelial carcinoma cell line, and Jurkat human acute T cell leukemia cell line
Formulation, Preparation, and Storage
Purification
Reconstitution
Formulation
Shipping
Stability & Storage
- 12 months from date of receipt, -20 to -70 °C as supplied.
- 1 month, 2 to 8 °C under sterile conditions after reconstitution.
- 6 months, -20 to -70 °C under sterile conditions after reconstitution.
Background: Cyclin B1
Cyclin B1 (also CCNB1 and G2/mitotic-specific cyclin-B1) is a member of the cyclin AB subfamily, cyclin family of proteins. Although its predicted MW is 50 kDa, it runs anomalously at 62 kDa in SDS-PAGE. Cyclin B1 associates with both CDK1 and 2 providing substrate specificity to a phosphorylating complex. A phosphor‑CDK1:Cyclin B1 complex is inactive and cytosolic during interphase. At the beginning of mitosis, CDK1 is dephosphorylated and activated, and the CDK1:Cyclin B1 complex initiates formation of the mitotic scaffold. Human Cyclin B1 is 433 amino acids (aa) in length. It contains two cyclin box folds (aa 201‑290 and 298‑383) and two substrate binding sites (aa 298‑342 and 343‑380). Phosphorylation occurs at Ser9, Ser35, Ser69, and Thr321. There is one potential alternative start site at Met252 and deletions of aa 363‑399 and 365‑433. Over aa 1‑91, human Cyclin B1 shares 63% aa identity with mouse Cyclin B1.
Alternate Names
Gene Symbol
UniProt
Additional Cyclin B1 Products
Product Documents for Human/Mouse Cyclin B1 Antibody
Product Specific Notices for Human/Mouse Cyclin B1 Antibody
For research use only