Skip to main content

Human HIF-1 alpha/HIF1A Antibody

R&D Systems, part of Bio-Techne | Catalog # MAB19352

Recombinant Monoclonal Antibody.
R&D Systems, part of Bio-Techne

Key Product Details

Validated by

Knockout/Knockdown

Species Reactivity

Human

Applications

Knockout Validated, Immunohistochemistry, Western Blot, Immunocytochemistry, Simple Western

Label

Unconjugated

Antibody Source

Recombinant Monoclonal Rabbit IgG Clone # 2443C

Product Specifications

Immunogen

E. coli-derived recombinant human HIF-1 alpha/HIF1A
Arg575-Asn826
Accession # Q16665.1

Specificity

Detects human HIF-1 alpha/HIF1A in direct ELISAs.

Clonality

Monoclonal

Host

Rabbit

Isotype

IgG

Scientific Data Images for Human HIF-1 alpha/HIF1A Antibody

Detection of Human HIF-1 alpha/HIF1A antibody by Western Blot.

Detection of Human HIF-1 alpha/HIF1A by Western Blot.

Western blot shows lysates of HepG2 human hepatocellular carcinoma cell line untreated (-) or treated (+) with 1 mM DFO for overnight. PVDF membrane was probed with 2 µg/mL of Rabbit Anti-Human HIF-1 alpha/HIF1A Monoclonal Antibody (Catalog # MAB19352) followed by HRP-conjugated Anti-Rabbit IgG Secondary Antibody (Catalog # HAF008). A specific band was detected for HIF-1 alpha/HIF1A at approximately 120 kDa (as indicated). This experiment was conducted under reducing conditions and using Immunoblot Buffer Group 1.
HIF-1 alpha/HIF1A antibody in MCF-7 Human Cell Line by Immunocytochemistry (ICC).

HIF-1 alpha/HIF1A in MCF-7 Human Cell Line.

HIF-1 alpha/HIF1A was detected in immersion fixed MCF-7 human breast cancer cell line using Rabbit Anti-Human HIF-1 alpha/HIF1A Monoclonal Antibody (Catalog # MAB19352) at 1.7 µg/mL for 3 hours at room temperature. Cells were stained using the NorthernLights™ 557-conjugated Anti-Rabbit IgG Secondary Antibody (red; Catalog # NL004) and counterstained with DAPI (blue). Specific staining was localized to nuclei. View our protocol for Fluorescent ICC Staining of Cells on Coverslips.
HIF-1 alpha/HIF1A antibody in HeLa Human Cell Line by Immunocytochemistry (ICC).

HIF-1 alpha/HIF1A in HeLa Human Cell Line.

HIF-1 alpha/HIF1A was detected in immersion fixed HeLa human cervical epithelial carcinoma cell line treated with DFO (left panel, positive stain) or HeLa knockouts treated with DFO (right panel, negative stain) using Rabbit Anti-Human HIF-1 alpha/HIF1A Monoclonal Antibody (Catalog # MAB19352) at 1 µg/mL for 3 hours at room temperature. Cells were stained using a Goat anti-Rabbit IgG Secondary Antibody, Alexa Fluor 488 (green) and counterstained with DAPI (blue). Specific staining was localized to nuclei. View our protocol for Fluorescent ICC Staining of Cells on Coverslips.

Applications for Human HIF-1 alpha/HIF1A Antibody

Application
Recommended Usage

Immunocytochemistry

1-25 µg/mL
Sample: Immersion fixed MCF-7 human breast cancer cell line and HeLa human cervical epithelial carcinoma cell line treated with DFO and HeLa knockouts treated with DFO

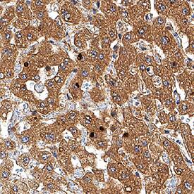
Immunohistochemistry

5-25 µg/mL
Sample: Immersion fixed paraffin-embedded sections of human liver

Knockout Validated

HIF-1 alpha/HIF1A is specifically detected in HeLa human cervical epithelial carcinoma parental cell line but is not detectable in HIF-1 alpha/HIF1A knockout HeLa cell line.

Simple Western

20 µg/mL
Sample: HepG2 human hepatocellular carcinoma cell line treated with DFO

Western Blot

2 µg/mL
Sample: HIF-1 alpha/HIF1A human hepatocellular carcinoma cell line treated with DFO

Formulation, Preparation, and Storage

Purification

Protein A or G purified from cell culture supernatant

Reconstitution

Reconstitute at 0.5 mg/mL in sterile PBS. For liquid material, refer to CoA for concentration.

Reconstitution Buffer Available:
Size / Price
Qty
Loading...

Formulation

Lyophilized from a 0.2 μm filtered solution in PBS with Trehalose. *Small pack size (SP) is supplied either lyophilized or as a 0.2 µm filtered solution in PBS.

Shipping

Lyophilized product is shipped at ambient temperature. Liquid small pack size (-SP) is shipped with polar packs. Upon receipt, store immediately at the temperature recommended below.

Stability & Storage

Use a manual defrost freezer and avoid repeated freeze-thaw cycles.
  • 12 months from date of receipt, -20 to -70 °C as supplied.
  • 1 month, 2 to 8 °C under sterile conditions after reconstitution.
  • 6 months, -20 to -70 °C under sterile conditions after reconstitution.

Background: HIF-1 alpha/HIF1A

The hypoxia-inducible transcription factor 1 alpha (HIF-1 alpha) is the regulated member of the transcription factor heterodimer HIF-1. HIF-1 binds to hypoxia-response elements (HREs) in the promoters of many genes involved in adapting to an environment of insufficient oxygen or hypoxia. Hypoxic tissue environments occur in vascular and pulmonary diseases as well as cancer, which illustrates the broad impact of gene regulation by HIF-1 alpha.

Long Name

Hypoxia Inducible Factor 1 Subunit Alpha

Alternate Names

BHLHE78, HIF 1A, HIF-1a, HIF1 alpha, HIF1A, MOP1, PASD8

Entrez Gene IDs

3091 (Human); 15251 (Mouse); 29560 (Rat)

Gene Symbol

HIF1A

UniProt

Additional HIF-1 alpha/HIF1A Products

Product Documents for Human HIF-1 alpha/HIF1A Antibody

Certificate of Analysis

To download a Certificate of Analysis, please enter a lot number in the search box below.

Note: Certificate of Analysis not available for kit components.

Product Specific Notices for Human HIF-1 alpha/HIF1A Antibody

For research use only

Loading...
Loading...
Loading...
Loading...