Skip to main content

Key Product Details

Species Reactivity

Validated:

Human

Cited:

Human, Rat

Applications

Validated:

Immunohistochemistry, Western Blot, ELISA, Flow Cytometry, Immunocytochemistry, CyTOF-ready

Cited:

Immunohistochemistry-Paraffin, Immunohistochemistry-Frozen, Western Blot, Flow Cytometry, ELISA Capture, ELISA Development

Label

Unconjugated

Antibody Source

Polyclonal Sheep IgG

Product Specifications

Immunogen

Mouse myeloma cell line NS0-derived recombinant human Glypican 3
Gln25-Val558
Accession # P51654

Specificity

Detects human Glypican 3 in direct ELISAs and Western blots. In direct ELISAs, less than 10% cross-reactivity with recombinant mouse Glypican 3 is observed and less than 5% cross-reactivity with recombinant human (rh) Glypican 2, rhGlypican 5, and rhGlypican 6 is observed.

Clonality

Polyclonal

Host

Sheep

Isotype

IgG

Scientific Data Images for Human Glypican 3 Antibody

Detection of Human Glypican 3 antibody by Western Blot.

Detection of Human Glypican 3 by Western Blot.

Western blot shows lysates of HepG2 human hepatocellular carcinoma cell line. PVDF membrane was probed with 2 µg/mL of Sheep Anti-Human Glypican 3 Antigen Affinity-purified Polyclonal Antibody (Catalog # AF2119) followed by HRP-conjugated Anti-Sheep IgG Secondary Antibody (Catalog # HAF016). A specific band was detected for Glypican 3 at approximately 75 kDa (as indicated). This experiment was conducted under reducing conditions and using Immunoblot Buffer Group 1.
Glypican 3 antibody in HepG2 Human Cell Line by Immunocytochemistry (ICC).

Glypican 3 in HepG2 Human Cell Line.

Glypican 3 was detected in immersion fixed HepG2 human hepatocellular carcinoma cell line using Sheep Anti-Human Glypican 3 Antigen Affinity-purified Polyclonal Antibody (Catalog # AF2119) at 1.7 µg/mL for 3 hours at room temperature. Cells were stained using the NorthernLights™ 557-conjugated Anti-Sheep IgG Secondary Antibody (red; Catalog # NL010) and counterstained with DAPI (blue). Specific staining was localized to cytoplasm and cell membranes. View our protocol for Fluorescent ICC Staining of Cells on Coverslips.
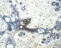
Glypican 3 antibody in Human Breast by Immunohistochemistry (IHC-P).

Glypican 3 in Human Breast.

Glypican 3 was detected in immersion fixed paraffin-embedded sections of human breast using 5 µg/mL Sheep Anti-Human Glypican 3 Antigen Affinity-purified Polyclonal Antibody (Catalog # AF2119) overnight at 4 °C. Tissue was stained with the Anti-Sheep HRP-DAB Cell & Tissue Staining Kit (brown; Catalog # CTS019) and counterstained with hematoxylin (blue). View our protocol for Chromogenic IHC Staining of Paraffin-embedded Tissue Sections.

Applications for Human Glypican 3 Antibody

Application
Recommended Usage

CyTOF-ready

Ready to be labeled using established conjugation methods. No BSA or other carrier proteins that could interfere with conjugation.

ELISA

This antibody functions as an ELISA detection antibody when paired with Mouse Anti-Human Glypican 3 Monoclonal Antibody (Catalog # MAB21191).

This product is intended for assay development on various assay platforms requiring antibody pairs. We recommend the Human Glypican 3 DuoSet ELISA Kit (Catalog # DY2119) for convenient development of a sandwich ELISA or the Human Glypican 3 Quantikine ELISA Kit (Catalog # DGLY30) for  a complete optimized ELISA.

Flow Cytometry

2.5 µg/106 cells
Sample: HepG2 human hepatocellular carcinoma cell line

Immunocytochemistry

1-15 µg/mL
Sample: Immersion fixed HepG2 human hepatocellular carcinoma cell line

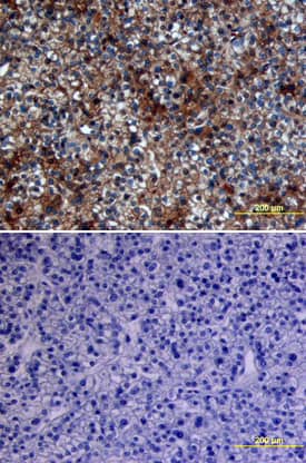
Immunohistochemistry

5-15 µg/mL
Sample: Immersion fixed paraffin-embedded sections of human breast and immersion fixed paraffin-embedded sections of human liver cancer tissue

Western Blot

2 µg/mL
Sample: HepG2 human hepatocellular carcinoma cell line

Formulation, Preparation, and Storage

Purification

Antigen Affinity-purified

Reconstitution

Reconstitute at 0.2 mg/mL in sterile PBS. For liquid material, refer to CoA for concentration.

Reconstitution Buffer Available:
Size / Price
Qty
Loading...

Formulation

Lyophilized from a 0.2 μm filtered solution in PBS with Trehalose. *Small pack size (SP) is supplied either lyophilized or as a 0.2 µm filtered solution in PBS.

Shipping

Lyophilized product is shipped at ambient temperature. Liquid small pack size (-SP) is shipped with polar packs. Upon receipt, store immediately at the temperature recommended below.

Stability & Storage

Use a manual defrost freezer and avoid repeated freeze-thaw cycles.
  • 12 months from date of receipt, -20 to -70 °C as supplied.
  • 1 month, 2 to 8 °C under sterile conditions after reconstitution.
  • 6 months, -20 to -70 °C under sterile conditions after reconstitution.

Background: Glypican 3

Glypicans (GPC) are a family of heparan sulfate proteoglycans that are attached to the cell surface by a glycosylphosphatidylinositol (GPI) anchor. Six members of this family have been identified in mammals (GPC1-GPC6). All glypican core proteins contain an N-terminal signal peptide, a large globular cysteine-rich domain (CRD) with 14 invariant cysteine residues, a stalk-like region containing the heparan sulfate attachment sites, and a C-terminal GPI attachment site. While glypican proteins do not share strong amino acid sequence identity (they range from 17-63%), the conserved cysteine residues in their CRDs suggests similarity in their three‑dimensional structure (1, 2).

Mutations in GPC3 cause a rare disorder in humans, Simpson-Golabi-Behmel Syndrome, which is characterized by pre and postnatal overgrowth of multiple tissues and organs and an increased risk for developing embryonic tumors (3). These features are also present in the mouse knock-out of GPC3 indicating that GPC3 regulates cell survival and inhibits cell proliferation during development (4). Glypican 3 has been implicated in regulating many different signaling pathways including: IGF, FGF, BMP, and Wnt. An endoproteolytic processing of GPC3 by proprotein convertases is required for the modulation of Wnt signaling (5). Direct interaction with FGF-basic has been observed and is mediated by the heparan sulfate chains (6).

References

  1. Filmus, J. and S.B. Selleck (2001) J. Clinical Invest. 108:497. 
  2. De Cat, B and G. David (2001) Seminars in Cell & Dev. Biol. 12:117. 
  3. Pilia, G. et al. (1996) Nat. Genet. 12: 241. 
  4. Cano-Gauci, D.F. et al. (1999) J. Cell Biol. 146: 255.
  5. De Cat, B. et al. (2003) J. Cell Biol. 163:625.
  6. Song, H.H. et al. (1997) J. Biol. Chem. 272:7574.

Alternate Names

GPC3

Entrez Gene IDs

2719 (Human); 14734 (Mouse); 25236 (Rat); 102137748 (Cynomolgus Monkey)

Gene Symbol

GPC3

UniProt

Additional Glypican 3 Products

Product Documents for Human Glypican 3 Antibody

Certificate of Analysis

To download a Certificate of Analysis, please enter a lot number in the search box below.

Note: Certificate of Analysis not available for kit components.

Product Specific Notices for Human Glypican 3 Antibody

For research use only

Loading...
Loading...
Loading...
Loading...
Loading...