Skip to main content

Key Product Details

Validated by

Biological Validation

Species Reactivity

Validated:

Human

Cited:

Human

Applications

Validated:

Immunohistochemistry, Western Blot, Immunocytochemistry, Chromatin Immunoprecipitation (ChIP)

Cited:

Immunohistochemistry, Western Blot, Flow Cytometry

Label

Unconjugated

Antibody Source

Polyclonal Goat IgG

Product Specifications

Immunogen

E. coli-derived recombinant human FoxP3
Gln105-Lys200
Accession # Q9BZS1

Specificity

Detects human FoxP3 in direct ELISAs and Western blots. In direct ELISAs, less than 1% cross-reactivity with recombinant human FoxD3 is observed.

Clonality

Polyclonal

Host

Goat

Isotype

IgG

Scientific Data Images for Human FoxP3 Antibody

Detection of Human FoxP3 antibody by Western Blot.

Detection of Human FoxP3 by Western Blot.

Western blot shows lysates of human CD4+CD25+T cells and human CD4+CD25-T cells. PVDF membrane was probed with 1 µg/mL of Goat Anti-Human FoxP3 Antigen Affinity-purified Polyclonal Antibody (Catalog # AF3240) followed by HRP-conjugated Anti-Goat IgG Secondary Antibody (Catalog # HAF019). A specific band was detected for FoxP3 at approximately 47 kDa (as indicated). This experiment was conducted under reducing conditions and using Immunoblot Buffer Group 8.
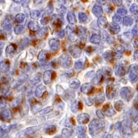
FoxP3 antibody in Human Tonsil by Immunohistochemistry (IHC-P).

FoxP3 in Human Tonsil.

FoxP3 was detected in immersion fixed paraffin-embedded sections of human tonsil using 10 µg/mL Goat Anti-Human FoxP3 Antigen Affinity-purified Polyclonal Antibody (Catalog # AF3240) overnight at 4 °C. Tissue was stained with the Anti-Goat HRP-DAB Cell & Tissue Staining Kit (brown; Catalog # CTS008) and counterstained with hematoxylin (blue). View our protocol for Chromogenic IHC Staining of Paraffin-embedded Tissue Sections.
Detection of FoxP3-regulated Genes antibody by Chromatin Immunoprecipitation.

Detection of FoxP3-regulated Genes by Chromatin Immunoprecipitation.

Jurkat human acute T cell leukemia cell line treated with 50 ng/mL PMA and 200 ng/mL calcium ionomycin overnight was fixed using formaldehyde, resuspended in lysis buffer, and sonicated to shear chromatin. FoxP3/DNA complexes were immunoprecipitated using 5 µg Goat Anti-Human FoxP3 Antigen Affinity-purified Polyclonal Antibody (Catalog # AF3240) or control antibody (Catalog # AB-108-C) for 15 minutes in an ultrasonic bath, followed by Biotinylated Anti-Goat IgG Secondary Antibody (Catalog # BAF109). Immunocomplexes were captured using 50 µL of MagCellect Streptavidin Ferrofluid (Catalog # MAG999) and DNA was purified using chelating resin solution. TheIL-2promoter was detected by standard PCR.

Applications for Human FoxP3 Antibody

Application
Recommended Usage

Chromatin Immunoprecipitation (ChIP)

5 µg/5 x 106 cells
Sample: PMA and calcium ionomycin treated Jurkat human acute T cell leukemia cell line chromatin, IL-2 promoter detected by standard PCR.

Immunocytochemistry

5-15 µg/mL
Sample: Immersion fixed human peripheral blood mononuclear cells

Immunohistochemistry

5-15 µg/mL
Sample: Immersion fixed paraffin-embedded sections of human tonsil

Western Blot

1 µg/mL
Sample: Human CD4+CD25+ T cells and human CD4+CD25- T cells

Formulation, Preparation, and Storage

Purification

Antigen Affinity-purified

Reconstitution

Reconstitute at 0.2 mg/mL in sterile PBS. For liquid material, refer to CoA for concentration.

Reconstitution Buffer Available:
Size / Price
Qty
Loading...

Formulation

Lyophilized from a 0.2 μm filtered solution in PBS with Trehalose. *Small pack size (SP) is supplied either lyophilized or as a 0.2 µm filtered solution in PBS.

Shipping

Lyophilized product is shipped at ambient temperature. Liquid small pack size (-SP) is shipped with polar packs. Upon receipt, store immediately at the temperature recommended below.

Stability & Storage

Use a manual defrost freezer and avoid repeated freeze-thaw cycles.
  • 12 months from date of receipt, -20 to -70 °C as supplied.
  • 1 month, 2 to 8 °C under sterile conditions after reconstitution.
  • 6 months, -20 to -70 °C under sterile conditions after reconstitution.

Background: FoxP3

Human FoxP3 is a 47 kDa member of the P subclass of the FOX (forkhead box) family of transcription factors. It contains a Leu-rich repeat, a C2H2 zinc finger region, and a C-terminal FKH (fork head), DNA-binding domain. Three isoforms for FoxP3 have been reported. All three isoforms share the sequence used as the immunogen. FoxP3 directly associates with NFAT and NFkB, suppressing their activity in CD4+ T cells. In human, FoxP3 is found in CD4+, CD8+ and CD4+CD25+ T cells. Over the region used for immunization of the amino acid sequence, mouse FoxP3 is 83% to 88% identical to rat, human, canine, and bovine FoxP3.

Long Name

Forkhead Box P3

Alternate Names

AIID, DIETER, IPEX, JM2, PIDX, SCURFIN, XPID

Entrez Gene IDs

50943 (Human); 20371 (Mouse)

Gene Symbol

FOXP3

UniProt

Additional FoxP3 Products

Product Documents for Human FoxP3 Antibody

Certificate of Analysis

To download a Certificate of Analysis, please enter a lot number in the search box below.

Note: Certificate of Analysis not available for kit components.

Product Specific Notices for Human FoxP3 Antibody

For research use only

Loading...
Loading...
Loading...
Loading...
Loading...